Chapitre 121 – Asthme du nourrisson et de l’enfant
Plan de chapitre
ITEM 188 – Hypersensibilité et allergies respiratoires chez l’enfant et l’adulte.
Asthme. Rhinite
ITEM 154 – Infections bronchopulmonaires communautaires de l’adulte et de l’enfant
ITEM 203 – Dyspnée aiguë et chronique
ITEM 204 – Toux chez l’enfant et l’adulte
I. Généralités
II. Stratégie d’exploration en imagerie
III. Sémiologie
Situations de départ
- 21 Asthénie.
- 162 Dyspnée.
- 163 Expectoration.
- 167 Toux.
- 283 Consultation de suivi et éducation thérapeutique d’un patient asthmatique.
- 299 Consultation post-événement allergique.
Items, hiérarchisation des connaissances
ITEM 188 – Hypersensibilité et allergies respiratoires chez l’enfant et l’adulte. Asthme. Rhinite
| Rang | Rubrique | Intitulé | Descriptif |
| Définition | Connaître la définition de l’asthme et de la rhinite allergique (chez l’adulte et l’enfant, selon l’âge chez l’enfant)* | ||
| Prévalence, épidémiologie | Connaître la fréquence et les facteurs de risque de l’asthme et de la rhinite allergique dans la population adulte et pédiatrique* | Éléments de prévention primaire et secondaire | |
| Éléments physiopathologiques | Physiopathologie et immunopathologie de l’asthme et de la rhinite allergique* | ||
| Diagnostic positif | Savoir établir le diagnostic positif et le diagnostic différentiel d’une rhinite allergique chez l’enfant et l’adulte* | ||
| Diagnostic positif | Savoir établir le diagnostic positif et le diagnostic différentiel d’un asthme chez l’enfant et l’adulte* | ||
| Diagnostic positif | Identifier le caractère professionnel d’une allergie respiratoire : démarche diagnostique étiologique* | ||
| Étiologie | Connaître les principaux métiers à risque d’asthme professionnel* | ||
| Diagnostic positif | Savoir évaluer le contrôle de l’asthme* | ||
| Diagnostic positif | Savoir faire le diagnostic d’exacerbation d’asthme chez l’enfant et l’adulte* | ||
| Identifier une urgence | Connaître les signes de gravité d’une exacerbation d’asthme chez l’enfant et l’adulte* | Savoir rechercher les signes évocateurs de mise en jeu du pronostic vital à court terme (troubles de la conscience, pause respiratoire, collapsus, silence auscultatoire, FR > 30, signes lutte). Savoir quand appeler le réanimateur | |
| Contenu multimédia | Connaître la sémiologie RP d’une distension thoracique | Hyperclarté des champs pulmonaires avec aplatissement des coupoles diaphragmatiques et horizontalisation des côtes | |
| Examens complémentaires | Connaître les grandes caractéristiques du syndrome obstructif en EFR et savoir interpréter un débit expiratoire de pointe (DEP)* | ||
| Examens complémentaires | Connaître les indications des tests immuno-allergiques* | Utilisation des IgE spécifiques et des tests de provocation | |
| Étiologie | Connaître les grandes étiologies professionnelles* | Principaux agents et professions concernés | |
| Étiologie | Connaître les principaux facteurs de non-contrôle de l’asthme et savoir rechercher les facteurs précipitants d’un asthme aigu grave* | ||
| Prise en charge | Connaître les principes thérapeutiques de la rhinite allergique* | Connaître la place des antihistaminiques et des corticoïdes dans la rhinite allergique | |
| Prise en charge | Connaître les grands principes thérapeutiques de fond de la maladie asthmatique avec les principales classes thérapeutiques utilisables* | Connaître la place des bronchodilatateurs et des corticoïdes (des anti-leucotriènes) dans l’asthme | |
| Prise en charge | Connaître les modalités d’utilisation des β2-mimétiques (inhalation, aérosol) et des corticoïdes inhalés dans la maladie asthmatique* | ||
| Prise en charge | Connaître les objectifs et les modalités de surveillance du traitement de fond de l’asthme en première intention* | ||
| Prise en charge | Savoir initier le traitement d’urgence d’une crise d’asthme chez l’enfant et l’adulte* | Oxygénothérapie en urgence, corticothérapie par voie systémique et bronchodilatateurs (β-mimétiques inhalés, anticholinergiques) et évaluer l’efficacité | |
| Prise en charge | Connaître les principes de l’éducation thérapeutique de l’asthme et les plans d’action pour améliorer l’observance dans l’asthme* | ||
| Prise en charge | Connaître les principales mesures d’éviction allergénique dans l’asthme et la rhinite allergique, y compris professionnels* | ||
| Suivi et/ou pronostic | Connaître les complications de l’asthme* | ||
ITEM 154 – Infections bronchopulmonaires communautaires de l’adulte et de l’enfant
| Rang | Rubrique | Intitulé | Descriptif |
| Définition | Savoir définir et identifier les cadres nosologiques des infections respiratoires basses (IRB) chez l’adulte et chez l’enfant* | (Trachéo)-bronchites aiguës, pneumonie franche lobaire aiguë (PFLA), pneumonies atypiques, pneumonies compliquées, abcès pulmonaires, pneumonies aiguës communautaires (PAC), pneumonies nosocomiales. Bronchiolite chez le nourrisson | |
| Étiologie | Connaître les principaux agents infectieux responsables des infections respiratoires basses et leur fréquence relative, chez l’adulte et chez l’enfant : pneumonies, bronchiolites et bronchites* | Pneumocoque/légionelle/grippe, VRS dans les bronchiolites | |
| Physiopathologie | Comprendre la physiopathologie d’une infection respiratoire basse (pneumonie, bronchiolite, bronchite)* | ||
| Diagnostic positif | Savoir faire le diagnostic clinique des infections respiratoires basses (pneumonie, bronchiolite, bronchite)* | ||
| Diagnostic positif | Connaître les signes cliniques des infections respiratoires basses (pneumonie, bronchiolite, bronchite)* | ||
| Identifier une urgence | Savoir rechercher et reconnaître les signes de gravité cliniques et paracliniques* | Signes de détresse respiratoire aiguë et de choc + Savoir demander une radiographie de thorax (bilatéral, extensif, épanchement pleural) et un GDS artériel avec lactates (hypoxémie profonde, hypercapnie, hyperlactacidémie). Connaître la sémiologie clinique pédiatrique | |
| Examens complémentaires | Connaître les indications à la réalisation d’une radiographie de thorax chez l’adulte et chez l’enfant | (Indication rare pour la bronchiolite aiguë) | |
| Examens complémentaires | Savoir documenter microbiologiquement l’infection en fonction du tableau clinique et du terrain* | Examens de première intention à connaître et hiérarchiser en fonction de la gravité et d’épidémiologie (antigénuries, hémocultures, écouvillon NP pour PCR grippe) | |
| Examens complémentaires | Connaître la place de l’échographie pleuropulmonaire, en particulier en pédiatrie | ||
| Examens complémentaires | Connaître l’indication du scanner dans les infections respiratoires basses | ||
| Contenu multimédia | Radiographie de thorax avec pneumonie franche lobaire aiguë (PFLA) | ||
| Contenu multimédia | Radiographie thoracique de face : pleuropneumopathie de l’enfant | ||
| Prise en charge | Connaître les principes du traitement de première intention des infections respiratoires basses chez l’adulte et l’enfant* | Grandes lignes du traitement symptomatique (hiérarchisation des techniques d’oxygénation, kiné, etc.) et étiologique : savoir prescrire le traitement des infections respiratoires basses (critères de choix des molécules (antibiotiques…), voies d’administration, durée de traitement) selon le terrain et la présentation radioclinique ; sans la posologie. Savoir ne pas prescrire d’antibiotique (bronchite, bronchiolite) | |
| Prise en charge | Connaître les principes du traitement de la bronchite aiguë (pas d’antibiothérapie, pas d’AINS, pas d’antitussifs)* | ||
| Prise en charge | Savoir réévaluer l’évolution et adapter la prise en charge en cas d’évolution défavorable* | Réévaluation à 48 heures en ambulatoire, changement de classe d’antibiotique si besoin | |
| Suivi et/ou pronostic | Connaître les principales complications des pneumopathies aiguës communautaires et des bronchiolites* | ||
| Prévention | Connaître les principaux terrains à risque de pneumonie et les principes de la prévention vaccinale* | Indications des vaccins antipneumococcique et antigrippal | |
| Prévention | Connaître les mesures d’hygiène à adopter en collectivité* | Masque, lavage des mains, etc., particulièrement en pandémie grippale | |
ITEM 203 – Dyspnée aiguë et chronique
| Rang | Rubrique | Intitulé | Descriptif |
| Définition | Définition de la dyspnée en général et plus particulièrement dyspnée inspiratoire/expiratoire* | ||
| Diagnostic positif | Connaître l’examen clinique d’un patient présentant une dyspnée* | ||
| Étiologie | Connaître les principales étiologies d’une dyspnée aiguë et leurs signes cliniques* | OAP, embolie pulmonaire, crise d’asthme, exacerbation d’une BPCO, pneumopathie, pneumothorax, SDRA, inhalation d’un corps étranger, œdème de Quincke, anémie aiguë | |
| Diagnostic positif | Connaître les signes de gravité devant une dyspnée aiguë* | Et savoir grader NYHA, MRC | |
| Diagnostic positif | Connaître les éléments d’orientation diagnostique face à une dyspnée chronique* | ||
| Étiologie | Connaître les signes d’orientation étiologique* | ||
| Examens complémentaires | Connaître les examens complémentaires de première intention en fonction du caractère aiguë ou chronique | ||
| Examens complémentaires | Connaître les examens complémentaires de seconde intention en fonction du caractère aiguë ou chronique | ||
| Étiologie | Connaître les étiologies plus rares d’une dyspnée aiguë* | Pseudo-asthme cardiaque, tamponnade, états de choc, acidose métabolique, hyperthermies, sténoses trachéales, intoxication au CO, pneumocystose | |
| Étiologie | Connaître les principales étiologies cardiaque et pulmonaire d’une dyspnée chronique* | ||
| Suivi et/ou pronostic | Identifier les signes de gravité imposant des décisions thérapeutiques immédiates* | ||
| Prise en charge | Connaître les indications des examens radiologiques devant une dyspnée aiguë et chronique* | ||
| Définition | Définition de la dyspnée* | Bien différencier la dyspnée de la détresse et l’insuffisance respiratoire | |
| Diagnostic positif | Dyspnée aiguë : éléments d’orientation étiologiques* | ||
| Identifier une urgence | Signes de gravité accompagnant la dyspnée aiguë* | ||
| Examens complémentaires | Connaître la stratégie d’exploration en imagerie devant une dyspnée aiguë de l’enfant | ||
| Examens complémentaires | Connaître les signes indirects sur une radiographie d’un corps étranger bronchique | ||
| Contenu multimédia | Exemple de radiographie de face dans un contexte de corps étranger | ||
ITEM 204 – Toux chez l’enfant et l’adulte
| Rang | Rubrique | Intitulé | Descriptif |
| Définition | Définition de la toux aiguë et chronique chez l’enfant et l’adulte* | Chronique après 4 semaines | |
| Éléments physiopathologiques | Mécanisme du réflexe de toux* | Récepteurs, description du réflexe, origine du taux chronique | |
| Identifier une urgence | Rechercher les signes de gravité devant une toux aiguë ou chronique* | ||
| Diagnostic positif | Connaître la sémiologie d’une toux et les signes associés à la toux* | ||
| Diagnostic positif | Toux aiguë de l’enfant et l’adulte : principales hypothèses diagnostiques* | Pas à Pas Toux fébrile de l’enfant | |
| Diagnostic positif | Toux chronique de l’enfant et l’adulte : principales hypothèses diagnostiques* | Pas à Pas Toux chronique de l’enfant | |
| Contenu multimédia | Exemples caractéristiques de radiographie thoracique | Dilatations des bronches, pneumopathie interstitielle, corps étranger | |
| Examens complémentaires | Connaître l’indication des examens d’imagerie devant une toux de l’enfant et de l’adulte | Connaître l’indication des examens d’imagerie devant une toux de l’enfant et de l’adulte | |
| Prise en charge | Traitement symptomatique de la toux* | ||
| Prise en charge | Éléments de prise en charge étiologique* | ||
I. Généralités

L’asthme se définit comme la récidive d’au moins trois épisodes de dyspnée expiratoire sifflante avec sibilants, quel que soit le facteur déclenchant, et l’existence ou non d’un terrain atopique.

Il est très fréquent et fait suite, le plus souvent, à un épisode typique de bronchiolite aiguë virale.

L’asthme sévère se traduit par une insuffisance respiratoire aiguë.
II. Stratégie d’exploration en imagerie
Lors d’une crise d’asthme aiguë « banale », chez un enfant asthmatique connu, la radiographie thoracique est inutile.

En cas de crise aiguë sévère, la radiographie thoracique est justifiée pour éliminer une complication : foyer infectieux pulmonaire, pneumothorax, pneumomédiastin.
La radiographie thoracique est indiquée après une première crise d’asthme car toute dyspnée sifflante n’est pas une crise d’asthme. Elle sera réalisée en dehors de la crise, de face, en inspiration et expiration, afin d’éliminer une autre étiologie : corps étranger inhalé, compression trachéale ou bronchique par une anomalie des arcs aortiques, masse médiastinale.

Les autres explorations seront discutées en fonction du tableau clinique.
III. Sémiologie

La radiographie thoracique retrouve classiquement une distension thoracique et un épaississement péribronchique. Des atélectasies sont possibles.
La distension thoracique se traduit par une hyperclarté des champs pulmonaires avec un aplatissement des coupoles diaphragmatiques et une horizontalisation des côtes. L’épaississement péribronchique se traduit par des images linéaires en rail ou en anneau.
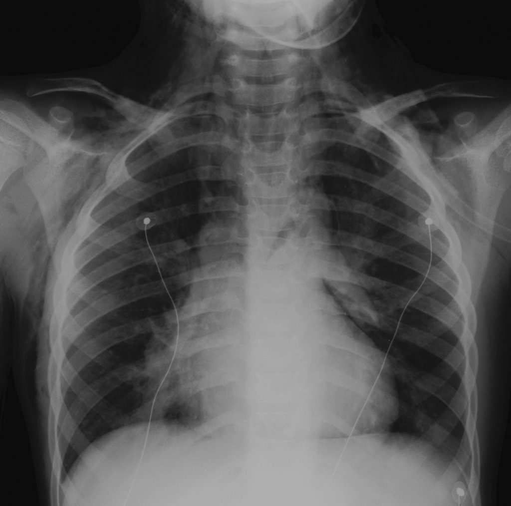
Le pneumomédiastin, dans sa forme typique, réalise une bande claire longeant les bords du médiastin ; il peut diffuser au niveau des tissus mous, réalisant un emphysème sous-cutané (figure 121.1).
Le pneumothorax se caractérise par une hyperclarté (image aérique) située entre la paroi thoracique et le poumon, responsable d’une rétraction du poumon homolatéral vers le hile.
Le cliché en expiration facilite la visualisation d’un pneumothorax.


Fig. 121.1 Asthme sévère : pneumomédiastin avec emphysème sous-cutané.
Source : CERF, CNEBMN, 2022.
Points clés
- La radiographie thoracique est inutile lors d’une crise d’asthme aiguë « banale » chez un enfant asthmatique connu.
- En cas de crise aiguë sévère, la radiographie thoracique est justifiée pour éliminer une complication (foyer infectieux pulmonaire, pneumothorax, pneumomédiastin).
- La radiographie thoracique est indiquée après une première crise d’asthme, à réaliser en dehors de la crise, de face, en inspiration et expiration, afin d’éliminer une autre étiologie : corps étranger inhalé, compression trachéale ou bronchique par une anomalie des arcs aortiques, masse médiastinale.
