I.1 APPAREIL DIGESTIF
Chapitre 2 – Radioanatomie normale


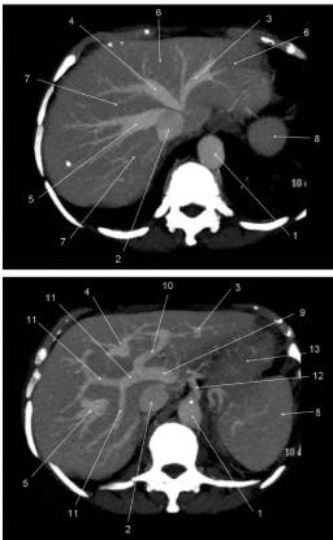
Fig. 2.1 Coupes tomodensitométriques axiales du foie après injection de produit de contraste iodé reconstruites en MIP (Maximum Intensity Projection) de 3 cm d’épaisseur, faisant ressortir préférentiellement les vaisseaux opacifiés situés dans toute l’épaisseur de coupe.
1. Aorte abdominale. 2. Veine cave inférieure. 3. Veine hépatique gauche. 4. Veine hépatique médiane. 5. Veine hépatique droite. 6. Lobe gauche du foie. 7. Lobe droit du foie. 8. Rate. 9. Veine porte. 10. Branche porte gauche. 11. Branche porte droite. 12. Tronc cœliaque. 13. Estomac.
Source : CERF, CNEBMN, 2022.


Fig. 2.2 Coupes axiales de 2 mm d’épaisseur sur l’étage sus-mésocolique.
1. Aorte abdominale. 2. Veine cave inférieure. 7. Lobe droit du foie. 8. Rate. 13. Estomac. 14. Artère mésentérique supérieure. 15. Veine mésentérique supérieure. 16. Vésicule biliaire. 17. Rein droit. 18. Rein gauche. 19. Pancréas. 20. Glande surrénale gauche. 21 et 23. Côlon transverse. 22. Côlon descendant. 24. Côlon ascendant. 25. Partie horizontale du duodénum. 26. Jéjunum.
Source : CERF, CNEBMN, 2022.


Fig. 2.3 Reconstruction en 3D volume rendering de l’aorte abdominale avec le tronc cœliaque, l’artère mésentérique supérieure et leurs branches de division (les autres branches de l’aorte abdominale ont été effacées).
1. Aorte (avec plaques d’athérome calcifiées). 2. Artère mésentérique supérieure. 3. Tronc cœliaque. 4. Artère hépatique commune. 5. Artère gastroduodénale. 6. Artère hépatique propre. 7. Branche droite de l’artère hépatique. 8. Branche gauche de l’artère hépatique. 9. Artère splénique. 10. Artère gastrique gauche.
Source : CERF, CNEBMN, 2022.


Fig. 2.4 Représentation 3D de la surface de la muqueuse du côlon après insufflation de sa lumière par du CO2 (obtenue à partir de l’ensemble des coupes axiales fines jointives passant par le côlon).
1. Rectum. 2. Côlon sigmoïde. 3. Côlon descendant. 4. Angle colique gauche. 5. Côlon transverse. 6. Angle colique droit. 7. Côlon ascendant. 8. Cæcum.
Source : CERF, CNEBMN, 2022.


Fig. 2.5 Vue frontale d’une séquence de cholangiopancréatographie IRM où seules les structures contenant du liquide immobile sont visibles.
1. Conduit pancréatique (de Wirsung). 2. Sphincter de l’ampoule hépatopancréatique (d’Oddi). 3. Conduit cholédoque. 4. Conduit cystique. 5. Conduit hépatique gauche. 6. Conduit hépatique droit. 7. Vésicule biliaire.
Source : CERF, CNEBMN, 2022.


Fig. 2.6 Reconstruction coronale d’une séquence d’entéroscanner après ingestion de 1,5 litre de liquide par la bouche et injection intraveineuse de produit de contraste iodé.
1. Estomac. 2. Foie. 3. Jéjunum. 4. Vaisseaux fémoraux gauches. 5. Mésentère. 6. Iléon. 7. Vessie.
Source : CERF, CNEBMN, 2022.


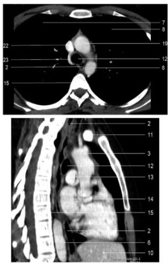
Fig. 2.7 Coupe tomodensitométrique axiale médiothoracique et reconstruction sagittale passant par l’œsophage.
2. Œsophage. 3. Aorte. 6. Aorte thoracique descendante. 7. Poumon droit. 8. Poumon gauche. 10. Foie. 11. Veine brachiocéphalique gauche. 12. Trachée. 13. Artère pulmonaire. 14. Atrium gauche. 15. Rachis dorsal. 19. Arc de l’aorte. 22. Veine cave supérieure. 23. Arc de la veine azygos.
Source : CERF, CNEBMN, 2022.


Fig. 2.8 Coupe sagittale T2 d’un pelvis masculin après distension modérée de l’ampoule rectale par du liquide.
2. Rectum périnéal (bas rectum). 3. Rectum pelvien (moyen rectum). 4. Rectum pelvien (haut rectum). 14. Récessus rectovésical. 15. Vessie. 16. Prostate. 17. Vésicules séminales. 23. Prostate. 29. Sacrum. 30. Symphyse pubienne.
Source : CERF, CNEBMN, 2022.
