Chapitre 62 – Radioanatomie normale


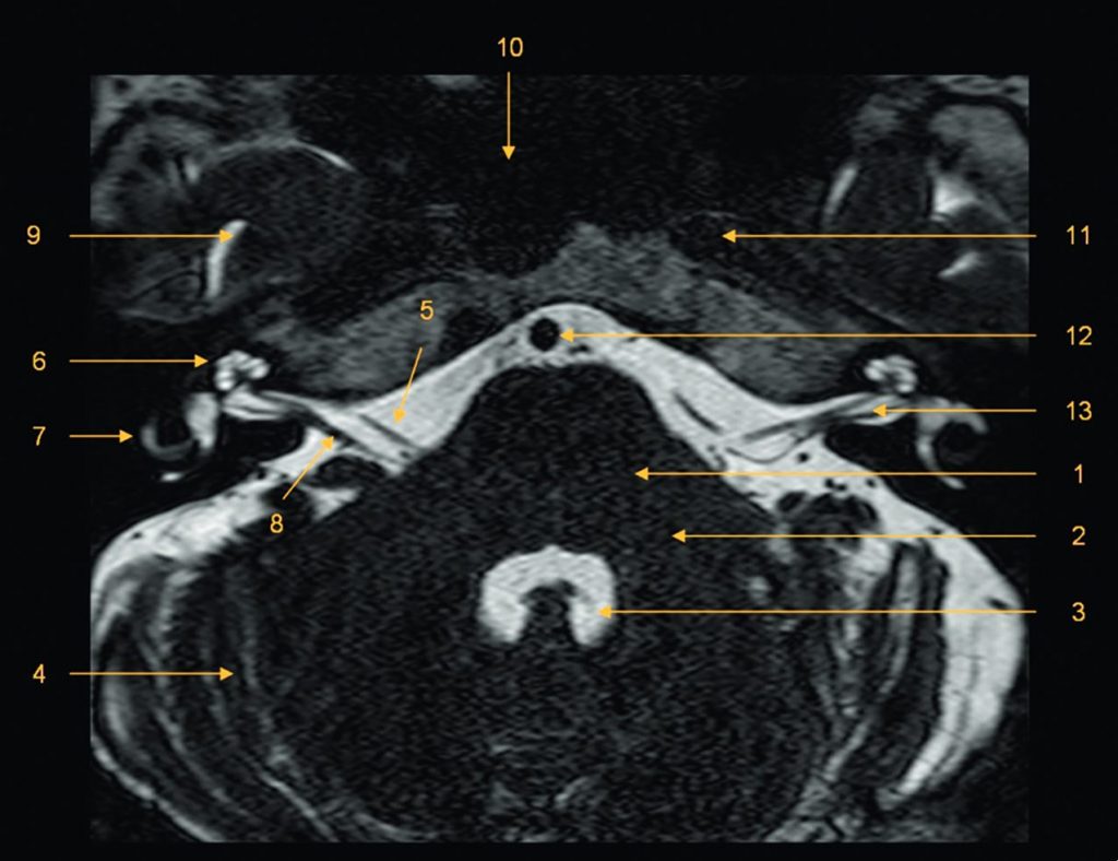
Fig. 62.1 Méat acoustique interne et angle pontocérébelleux : IRM, séquence en écho de gradient à l’état d’équilibre (liquide en hypersignal).
1. Pont. 2. Pédoncule cérébelleux moyen. 3. Quatrième ventricule. 4. Hémisphère cérébelleux. 5. Nerf facial (VII). 6. Cochlée. 7. Conduit semi-circulaire latéral. 8. Nerf cochléovestibulaire (VIII). 9. Lobe temporal. 10. Sinus sphénoïdal. 11. Carotide interne. 12. Artère basilaire. 13. Méat acoustique interne.
Source : CERF, CNEBMN, 2022.


Fig. 62.2 Temporal droit : scanner, coupe transversale.
1. Récessus épitympanique. 2. Tête du malléus. 3. Branche courte de l’incus. 4. Nerf facial, portion tympanique. 5. Cochlée. 6. Méat acoustique interne. 7. Vestibule. 8. Conduit endolymphatique. 9. Conduit semi-circulaire latéral. 10. Sinus sigmoïde. 11. Sinus sphénoïdal.
Source : CERF, CNEBMN, 2022.


Fig. 62.3 Temporal droit : scanner, coupe frontale.
1. Paroi osseuse latérale du récessus épitympanique. 2. Méat acoustique externe. 3. Tegmen tympani. 4. Tête du malléus. 5. Incus. 6. Cochlée. 7. Canal carotidien. 8. Nerf facial, 2e portion. 9. Cellules mastoïdiennes.
Source : CERF, CNEBMN, 2022.


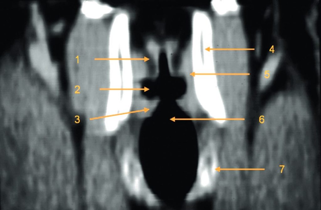
Fig. 62.4 Sinus : scanner, coupe frontale.
1. Fosse nasale. 2. Sinus maxillaire. 3. Processus unciforme. 4. Méat moyen. 5. Lame criblée. 6. Crista galli. 7. Lame orbitaire de l’ethmoïde. 8. Foramen infraorbitaire (V2). 9. Infundibulum du sinus maxillaire. 10. Cornet moyen. 11. Cornet inférieur. 12. Cellules ethmoïdales.
Source : CERF, CNEBMN, 2022.


Fig. 62.5 Sinus : scanner, coupe transversale.
1. Sinus maxillaire. 2. Processus ptérygoïde du sphénoïde. 3. Nasopharynx. 4. Conduit lacrymal. 5. Os zygomatique. 6. Cornet inférieur. 7. Fosse nasale. 8. Col gauche de la mandibule. 9. Processus styloïde temporal.
Source : CERF, CNEBMN, 2022.


Fig. 62.6 Étage supraglottique : scanner, coupe transversale.
1. Vallécule épiglottique droite. 2. Lumière laryngée. 3. Récessus piriforme droit. 4. Pli ary-épiglottique. 5. Pli pharyngo-épiglottique. 6. Pli glosso-épiglottique latéral. 7. Pli glosso-épiglottique médian. 8. Os hyoïde. 9. Muscle sternocléidomastoïdien. 10. Glande submandibulaire. 11. Corne supérieure du cartilage thyroïde. 12. Épiglotte. 13. Artère carotide. 14. Veine jugulaire interne.
Source : CERF, CNEBMN, 2022.


Fig. 62.7 Étage glottique : TDM, coupe transversale.
1. Commissure antérieure de la glotte. 2. Pli vocal. 3. Cartilage aryténoïde. 4. Espace graisseux paraglottique. 5. Processus vocal du cartilage arétynoïde. 6. Processus musculaire du cartilage aryténoïde. 7. Cartilage cricoïde. 8. Espace inter-thyro-aryténoïdien. 9. Commissure postérieure de la glotte. 10. Pharyngolarynx.
Source : CERF, CNEBMN, 2022.


Fig. 62.8 Cou : scanner, coupe sagittale.
1. Base de la langue. 2. Vallécule épiglottique. 3. Membrane hyo-épiglottique. 4. Os hyoïde. 5. Loge pré-épiglottique (loge hyo-thyro-épiglottique). 6. Pied de l’épiglotte et ligament thyro-épiglottique. 7. Commissure antérieure de la glotte. 8. Cartilage thyroïde. 9. Bord libre de l’épiglotte. 10. Face laryngée de l’épiglotte. 11. Cartilage cricoïde.
Source : CERF, CNEBMN, 2022.


Fig. 62.9 Cou : scanner, coupe frontale (manœuvre dynamique de phonation).
1. Pli vestibulaire. 2. Ventricule laryngé ouvert. 3. Pli vocal. 4. Cartilage thyroïde (lame). 5. Espace graisseux paralaryngé. 6. Sous-glotte. 7. Cartilage cricoïde.
Source : CERF, CNEBMN, 2022.


Fig. 62.10 Parotide : IRM, séquence en pondération T1, coupe axiale.
1. Muscle masséter. 2. Muscle temporal. 3. Branche mandibulaire. 4. Nasopharynx. 5. Parotide : lobe superficiel. 6. Parotide : lobe profond. 7. Muscle long de la tête. 8. Muscle ptérygoïdien latéral. 9. Muscle ptérygoïdien médial. 10. Espace graisseux parapharyngé. 11. Artère carotide interne. 12. Veine jugulaire interne.
Source : CERF, CNEBMN, 2022.
