Chapitre 48 – Radioanatomie normale


Fig. 48.1 Coupe sagittale médiane (IRM) en pondération T1.
1. Mésencéphale. 2. Pont. 3. Moelle allongée. 4. Moelle spinale. 5. Corps calleux. 6. Fornix. 7. Lame tectale. 8. Tente du cervelet. 9. Quatrième ventricule. 10. Cervelet. 11. Sinus sphénoïdal. 12. Corps mamillaire. 13. Épiphyse. 14. Aqueduc du mésencéphale (de Sylvius). 15. Chiasma optique. 16. Infundibulum hypophysaire. 17. Antéhypophyse.
Source : CERF, CNEBMN, 2022.


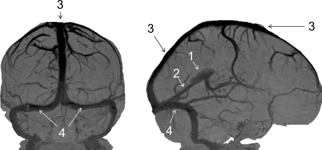
Fig. 48.2 Veines de l’encéphale (angioscanner).
1. Grande veine cérébrale (de Galien) (système veineux profond). 2. Sinus droit. 3. Sinus sagittal supérieur. 4. Sinus latéraux.
Source : CERF, CNEBMN, 2022.


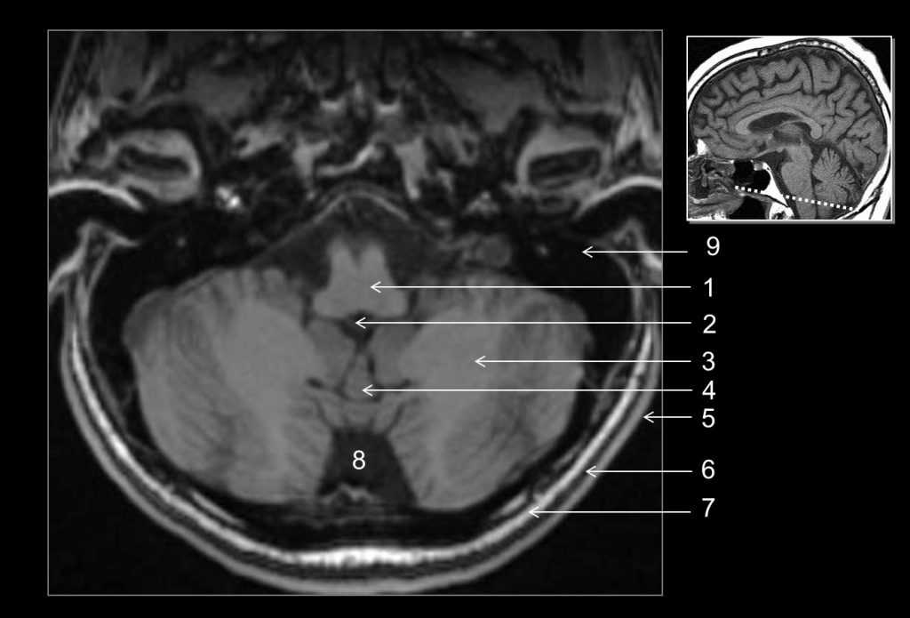
Fig. 48.3 Coupe axiale (IRM) en pondération T1.
1. Moelle allongée. 2. Quatrième ventricule. 3. Hémisphère cérébelleux. 4. Vermis. 5. Scalp. 6. Os occipital (table externe). 7. Os occipital (diploé). 8. Citerne cérébello-médullaire. 9. Rocher.
Source : CERF, CNEBMN, 2022.


Fig. 48.4 Coupe axiale (IRM) en pondération T1 : pont.
1. Artère basilaire. 2. Pont. 3. Quatrième ventricule. 4. Vermis. 5. Hémisphère cérébelleux. 6. Nerfs facial (VII) et vestibulocochléaire (VIII). 7. Lobe temporal. 8. Citerne cérébello-médullaire. 9. Rocher. 10. Sinus sphénoïdal. 11. Sinus maxillaire.
Source : CERF, CNEBMN, 2022.


Fig. 48.5 Coupe axiale (IRM) en pondération T1.
1. Tractus optique. 2. Corps mamillaire. 3. Pédoncule cérébral. 4. Aqueduc du mésencéphale. 5. Vermis. 6. Hémisphère cérébelleux. 7. Hippocampe du lobe temporal. 8. Cortex insulaire. 9. Lobe frontal.
Source : CERF, CNEBMN, 2022.


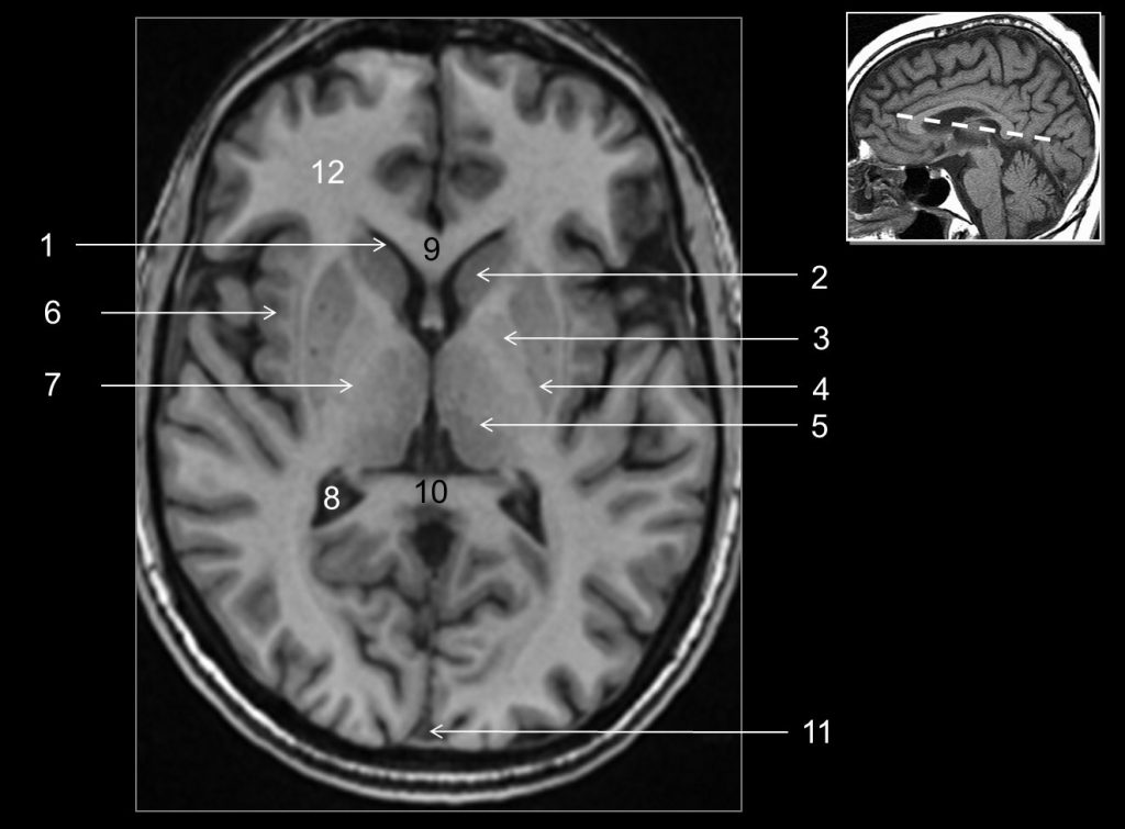
Fig. 48.6 Coupe axiale (IRM) en pondération T1 : noyaux gris centraux.1. Corne frontale du ventricule latéral. 2. Tête du noyau caudé. 3. Pallidum. 4. Putamen. 5. Thalamus. 6. Cortex insulaire. 7. Bras postérieur de la capsule interne. 8. Carrefour ventriculaire. 9. Genou du corps calleux. 10. Splénium du corps calleux. 11. Sinus sagittal supérieur. 12. Substance blanche du lobe frontal.
Source : CERF, CNEBMN, 2022.


Fig. 48.7 Coupe axiale (IRM) en pondération T1 : sillon central (pointillés).
1. Lobe frontal. 2. Cortex précentral, zone de la motricité de la main. 3. Lobe pariétal.
Source : CERF, CNEBMN, 2022.


Fig. 48.8 Vue axiale (angio-IRM) : cercle anastomotique du cerveau (polygone de Willis).
1. Artère communicante antérieure. 2. Artère cérébrale antérieure. 3. Artère carotide interne. 4. Artère cérébrale moyenne (sylvienne). 5. Artère communicante postérieure. 6. Artère basilaire. 7. Artère cérébrale postérieure. 8. Artères vertébrales.
Source : CERF, CNEBMN, 2022.


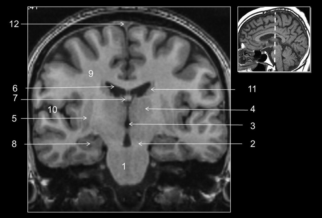
Fig. 48.9 Coupe frontale (coronale) (IRM en pondération T1).
1. Pont. 2. Pédoncule cérébral. 3. Troisième ventricule. 4. Thalamus. 5. Noyau lenticulaire. 6. Ventricule latéral. 7. Fornix. 8. Hippocampe. 9. Corona radiata. 10. Sillon latéral (de Sylvius). 11. Noyau caudé. 12. Sinus sagittal supérieur.
Source : CERF, CNEBMN, 2022.


Fig. 48.10 Coupe frontale (IRM, ici en pondération T2).
1. Substance blanche du lobe frontal. 2. Noyau caudé. 3. Putamen. 4. Sinus sagittal supérieur. 5. Faux du cerveau. 6. Substance blanche du lobe temporal. 7. Sinus sphénoïdal. 8. Chiasma optique. 9. Infundibulum hypophysaire. 10. Antéhypophyse. 11. Artère carotide interne (dans la loge caverneuse). 12. Ventricule latéral.
Source : CERF, CNEBMN, 2022


Fig. 48.11 Coupe sagittale (IRM) en pondération T2 du rachis cervico-thoraco-lombaire.
1. Deuxième vertèbre cervicale (C2). 2. Corps vertébral de T3. 3. Disque intervertébral T6-T7. 4. Liquide cérébrospinal. 5. Jonction cervico-médullaire. 6. Moelle spinale cervicale. 7. Processus épineux de C7. 8. Moelle spinale thoracique. 9. Cône terminal. 10. Racines de la queue de cheval.
Source : CERF, CNEBMN, 2022.
