Chapitre 35 – Radioanatomie normale


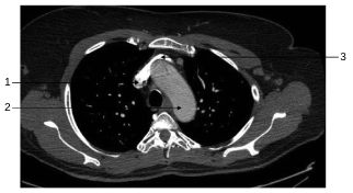
Fig. 35.1 Coupe axiale transverse thoracique passant par l’arc aortique.
1. Veine cave supérieure. 2. Arc aortique. 3. Veine brachiocéphalique gauche.
Source : CERF, CNEBMN, 2022.


Fig. 35.2 Coupe axiale transverse thoracique passant par l’artère pulmonaire gauche.
1. Veine cave supérieure. 2. Aorte ascendante. 3. Artère pulmonaire gauche. 4. Veine pulmonaire supérieure gauche. 5. Aorte descendante.
Source : CERF, CNEBMN, 2022.


Fig. 35.3 Coupe axiale transverse thoracique passant par l’artère pulmonaire droite.
1. Veine cave supérieure. 2. Aorte ascendante. 3. Artère pulmonaire droite. 4. Veine pulmonaire supérieure droite. 5. Aorte descendante. 6. Partie interlobaire de l’artère pulmonaire gauche. 7. Tronc pulmonaire. 8. Veine pulmonaire supérieure gauche.
Source : CERF, CNEBMN, 2022.


Fig. 35.4 Coupe axiale transverse thoracique passant par les « 5 » cavités cardiaques.
1. Atrium droit. 2. Atrium gauche. 3. Ventricule droit. 4. Ventricule gauche. 5. Sinus aortique.
Source : CERF, CNEBMN, 2022.


Fig. 35.5 Coupe axiale transverse thoracique passant par les « 4 » cavités cardiaques.
1. Atrium droit. 2. Atrium gauche. 3. Ventricule droit. 4. Ventricule gauche.
Source : CERF, CNEBMN, 2022.


Fig. 35.6 Angioscanner de l’aorte avec reconstructions 3D en vue de face.
1. Artère hépatique commune. 2. Artère splénique. 3. Artère rénale droite.
Source : CERF, CNEBMN, 2022.


Fig. 35.7 Angioscanner de l’aorte avec reconstructions 3D en vue de trois quarts.
1. Tronc cœliaque. 2. Artère mésentérique supérieure. 3. Artère mésentérique inférieure.
Source : CERF, CNEBMN, 2022.


Fig. 35.8 Angioscanner des artères du membre inférieur avec reconstruction 3D en vue de face.
1. Artère iliaque commune. 2. Artère iliaque interne. 3. Artère iliaque externe. 4. Artère fémorale (ancienne a. fémorale commune). 5. Artère fémorale (ancienne a. fémorale superficielle). 6. Artère profonde de la cuisse (ancienne a. fémorale profonde). 7. Artère poplitée. 8. Artère tibiale antérieure. 9. Artère tibiale postérieure. 10. Artère fibulaire.
Source : CERF, CNEBMN, 2022.


Fig. 35.9 Angioscanner des artères du membre inférieur avec reconstructions 3D en vue de trois quarts alaire droit.
1. Artère iliaque commune. 2. Artère iliaque interne. 3. Artère iliaque externe. 4. Artère fémorale (ancienne a. fémorale commune). 5. Artère fémorale (ancienne a. fémorale superficielle). 6. Artère profonde de la cuisse (ancienne a. fémorale profonde).
Source : CERF, CNEBMN, 2022.
