Chapitre 19 – Radioanatomie normale


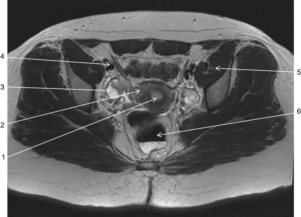
Fig. 19.1. Coupe IRM dans le plan axial en pondération T2 passant au niveau du toit des cotyles.
1. Endomètre. 2. Myomètre. 3. Ovaire droit. 4. Vaisseaux iliaques externes. 5. Muscle obturateur. 6. Rectum.
Source : CERF, CNEBMN, 2022.


Fig. 19.2. Coupe IRM dans le plan sagittal en pondération T2 passant par la ligne médiane.
1. Urètre. 2. Vessie. 3. Cul-de-sac vésico-utérin. 4. Zone jonctionnelle. 5. Endomètre. 6. Myomètre. 7. Cul-de-sac recto-utérin (de Douglas). 8. Rectum. 9. Col utérin. 10. Vagin.
Source : CERF, CNEBMN, 2022.


Fig. 19.3. Échographie rénale : coupe longitudinale du rein gauche.
1. Médullaire rénale (pyramides de Malpighi). 2, 3. Cortex rénal. 3. Colonne de Bertin. 4. Sinus du rein. 5. Hile du rein. 6. Espace périrénal.
Source : CERF, CNEBMN, 2022.


Fig. 19.4. Cliché d’abdomen sans préparation centré sur l’appareil urinaire réalisé vessie vide.
Ombres rénales (lignes pointillées). Bords des muscles psoas (flèches).
Source : CERF, CNEBMN, 2022.


Fig. 19.5. Uroscanner : reconstruction en mode MIP (Maximal Intensity Projection) 10 minutes après injection intraveineuse du produit de contraste iodé.
Reins et vessie pleine opacifiée (lignes pointillées). 1, 2. Appareils collecteurs. 1. Grands calices. 2. Pelvis rénal. 3. Jonctions pyélo-urétérales. 4. Uretères lombaires. 5. Uretères sacro-iliaques. 6. Uretères pelviens. 7. Segment préméatique intramural des uretères.
Source : CERF, CNEBMN, 2022.


Fig. 19.6. Uroscanner : reconstruction en mode MIP (Maximal Intensity Projection, avec ici suppression des structures osseuses) centrée sur les reins 8 minutes après injection intraveineuse du produit de contraste iodé.
1. Petits calices. 2. Fornix. 3. Tiges calicielles. 4. Grandes tiges calicielles. 5. Pelvis rénal. 6. Jonction pyélo-urétérale. 7. Uretère.
Source : CERF, CNEBMN, 2022.


Fig. 19.7. Uroscanner : reconstruction en mode MPR (Multiplanar Reconstruction) centrée sur le rein gauche, 7 minutes après une première injection intraveineuse de produit de contraste iodé et 70 secondes après injection d’un deuxième bolus de produit de contraste.
1. Cortex rénal. 2. Médullaire rénale (pyramide de Malpighi). 3. Petits calices. 2, 3. Complexe papillocaliciel. 4. Fornix. 5. Tissu adipeux du sinus du rein. 6. Branches de l’artère rénale au hile et dans le sinus.
Source : CERF, CNEBMN, 2022.


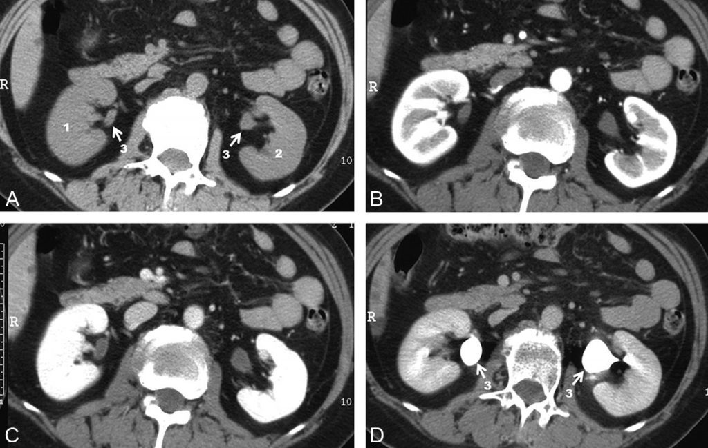
Fig. 19.8. Scanner rénal sans et avec injection intraveineuse de produit de contraste iodé (120 ml de produit non ionique dosé à 350 mg d’iode).
Coupes passant par le hile des reins avant injection (A), après injection à la phase artérielle (ou corticomédullaire), 40 secondes après injection (B), à la phase néphrographique 90 secondes après injection (C) et à la phase excrétoire 3 minutes après injection (D).
1. Rein droit. 2. Rein gauche. 3. Pelvis rénaux.
Rehaussement artériel (notamment de l’aorte) et du cortex rénal à la phase corticomédullaire (B). Rehaussement homogène du parenchyme rénal (cortex et médullaire) à la phase néphrographique (C). Opacification de l’appareil excréteur avec remplissage opaque des pelvis rénaux (3) et décroissance de la densité du néphrogramme parenchymateux à la phase tardive excrétoire (D).
Source : CERF, CNEBMN, 2022.


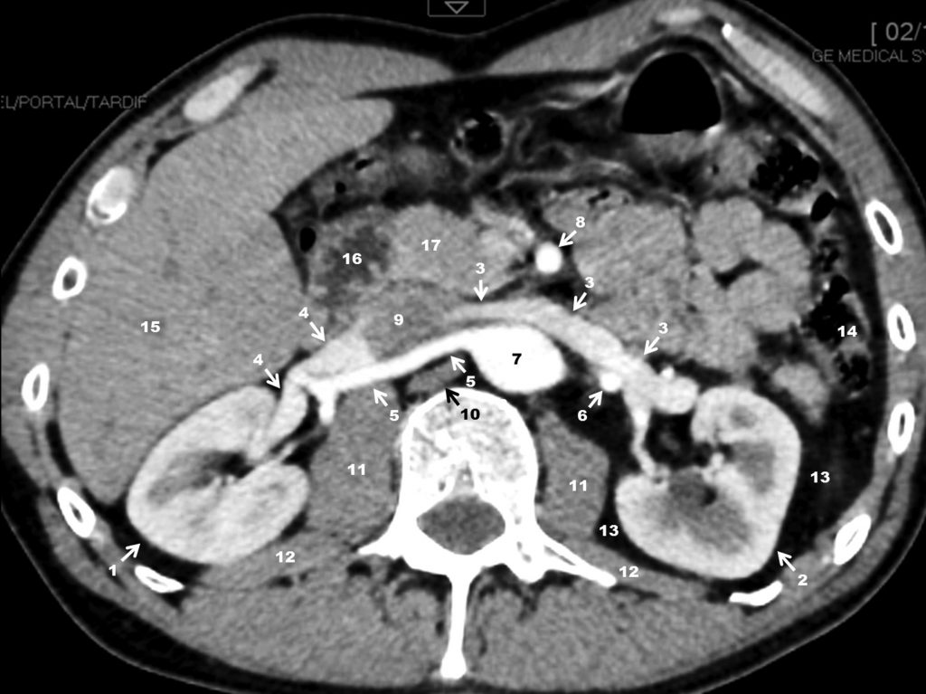
Fig. 19.9. Scanner rénal avec injection de produit de contraste à la phase artérielle (ou corticomédullaire) 40 secondes après injection. Coupe passant par le hile et le pédicule des reins.
1. Rein droit. 2. Rein gauche. 3. Veine rénale gauche. 4. Veine rénale droite. 5. Artère rénale droite. 6. Artère rénale gauche. 7. Aorte. 8. Artère mésentérique supérieure. 9. Veine cave inférieure. 10. Pilier du diaphragme. 11. Muscles psoas. 12. Muscle carré des lombes. 13. Graisse périrénale. 14. Côlon descendant. 15. Lobe droit du foie (segment VI). 16. Duodénum (portion descendante, D2). 17. Tête du pancréas.
Source : CERF, CNEBMN, 2022.


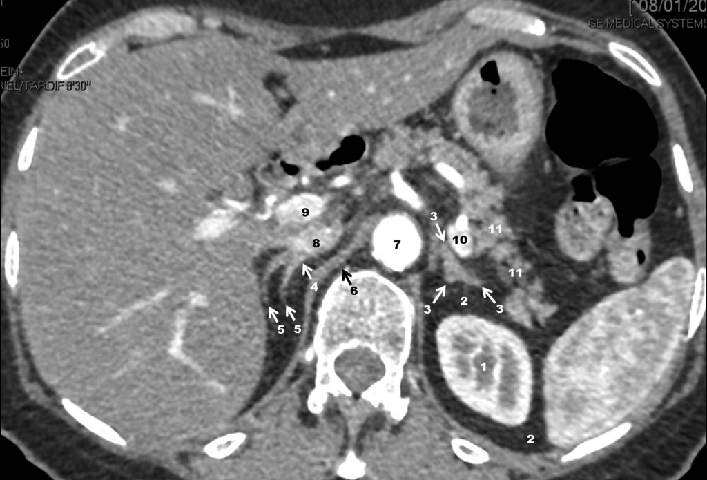
Fig. 19.10. Scanner rénal avec injection de produit de contraste à la phase artérielle (ou corticomédullaire) 40 secondes après injection. Coupe passant par le pôle supérieur du rein gauche et les glandes surrénales.
1. Rein gauche. 2. Graisse périrénale et inter-surrénalo-rénale. 3. Surrénale gauche. 4. Corps de la surrénale droite. 5. Bras interne et externe de la surrénale droite. 6. Pilier du diaphragme. 7. Aorte. 8. Veine cave inférieure. 9. Veine porte. 10. Veine splénique (au contact de l’artère splénique en avant). 11. Queue du pancréas.
Source : CERF, CNEBMN, 2022.


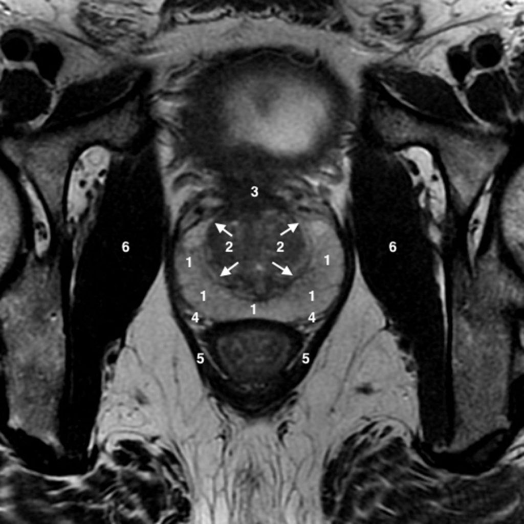
Fig. 19.11. IRM de la prostate : coupe transversale en pondération T2 passant par la partie moyenne de la glande.
1. Zone périphérique. 2. Zone de transition adénomateuse, capsule chirurgicale (flèches blanches). 3. Stroma fibromusculaire. 4. Capsule prostatique. 5. Muscle élévateur de l’anus. 6. Muscles obturateurs internes.
Source : CERF, CNEBMN, 2022.


Fig. 19.12. IRM de la prostate : coupe frontale en pondération T2 passant par le confluent vésiculo-déférentiel.
1. Vésicule séminale droite. 2. Vésicule séminale gauche. 3. Conduit excréteur de la vésicule séminale gauche. 4. Conduit excréteur de la vésicule séminale droite. 5. Conduits déférents. 6. Ampoules déférentielles. 7. Conduits éjaculateurs. 8. Zone centrale de la prostate. 9. Zone périphérique (postérieure et latérale).
Source : CERF, CNEBMN, 2022.
