Plan de chapitre
ITEM 211 – Sarcoïdose
I. Généralités
II. Stratégie d’exploration en imagerie
– A. Radiographie
– B. Scanner
– C. TEP-TDM au 18FDG
– D. IRM
III. Sémiologie
– A. Radiographie thoracique
– B. Scanner
– C. TEP-TDM au 18FDG
Situations de départ
- 16 Adénopathies unique ou multiples.
- 17 Amaigrissement.
- 21 Asthénie.
- 44 Hyperthermie/fièvre.
- 67 Douleurs articulaires.
- 85 Érythème.
- 162 Dyspnée.
- 166 Toux.
Item, hiérarchisation des connaissances
ITEM 211 – Sarcoïdose
| Rang | Rubrique | Intitulé | Descriptif |
| Définition | Connaître la définition de la sarcoïdose* | La sarcoïdose est une granulomatose multisystémique de cause inconnue | |
| Prévalence, épidémiologie | Connaître l’épidémiologie de la sarcoïdose (âge, sexe de survenue, et prévalence variable selon les ethnies)* | Connaître l’épidémiologie de base de la sarcoïdose | |
| Éléments physiopathologiques | Connaître les mécanismes de la réaction inflammatoire conduisant au granulome* | Connaître l’implication de l’environnement et du système immunitaire inné | |
| Diagnostic positif | Connaître les critères du diagnostic d’une sarcoïdose* | ||
| Diagnostic positif | Connaître les formes fréquentes de la sarcoïdose : atteintes respiratoires, le syndrome de Löfgren et l’érythème noueux* | ||
| Diagnostic positif | Connaître les principales manifestations extra-respiratoires* | En dehors du syndrome de Löfgren et de l’érythème noueux | |
| Diagnostic positif | Connaître les éléments cliniques nécessitant de chercher des diagnostics différentiels* | ||
| Contenu multimédia | Photographie d’un exemple typique d’érythème noueux* | ||
| Étiologies | Connaître les principales causes de granulomatoses secondaires* | Savoir citer les quatre causes principales : infections, lymphomes/cancers, DICV, médicaments | |
| Examens complémentaires | Connaître l’intérêt et les limites des principaux tests biologiques* | Lymphopénie, hypergammaglobulinémie, et dosage de l’enzyme de conversion de l’angiotensine Connaître les trois autres éléments biologiques (en plus de la calcémie) à pratiquer au diagnostic (créatinine, bilan hépatique, et sérologies hépatites B, C, VIH) | |
| Examens complémentaires | Connaître les indications des examens d’imagerie devant une sarcoïdose | RP, TDM thoracique | |
| Examens complémentaires | Connaître la place de l’anatomie pathologique pour le diagnostic et la stratégie des prélèvements* | ||
| Examens complémentaires | Connaître les anomalies des explorations fonctionnelles respiratoires typiques* | Connaître les anomalies EFR typiques | |
| Suivi et/ou pronostic | Connaître l’évolution souvent bénigne de la sarcoïdose, et la rémission dans 90 % des cas de syndrome de Löfgren* | ||
I. Généralités

La sarcoïdose est une granulomatose inflammatoire non caséeuse multisystémique d’étiologie inconnue.

Elle survient chez l’adulte jeune entre 20 et 40 ans ; elle prédomine chez les femmes et les sujets à peau noire. Elle atteint préférentiellement les poumons (90 %) mais peut concerner tous les organes (cœur, cerveau, etc.).

Le syndrome de Löfgren associe un érythème noueux, des adénopathies multiples et des douleurs articulaires diffuses.

L’évolution est bénigne avec une régression spontanée dans 80 % des cas en 2 à 3 ans. La chronicité survient dans 20 % des cas. Dans les cas sévères, une corticothérapie systémique d’une durée minimale de 12 mois est prescrite, mais il existe un risque de rechute fréquent à l’arrêt.
Habituellement, la sarcoïdose est révélée par une toux sèche, un essoufflement, des manifestations oculaires (uvéite antérieure) et cutanées (érythème noueux), des adénopathies périphériques, une fatigue, une perte de poids, de la fièvre ou des sueurs nocturnes. Une discordance radioclinique entre l’importance de l’atteinte pulmonaire en imagerie et la discrétion des symptômes est un signe évocateur.

Le diagnostic est évoqué devant une élévation de la concentration sérique en enzyme de conversion et confirmé par la biopsie d’un granulome.
II. Stratégie d’exploration en imagerie

Une imagerie thoracique (radiographie et/ou scanner thoracique) est systématique au diagnostic et répétée au cours du suivi.
A. Radiographie
La découverte peut être fortuite sur une radiographie thoracique (50 % des patients sont asymptomatiques).
La radiographie thoracique de face est anormale dans plus de 90 % des cas avec atteinte pulmonaire.
Elle permet la classification en stades 1 à 4.
B. Scanner
Le scanner thoracique (sans injection de produit de contraste) permet d’évaluer les adénopathies hilaires et médiastinales, mais surtout l’atteinte pulmonaire et une éventuelle fibrose.
C. TEP-TDM au 18FDG
La TEP-TDM au 18FDG peut être utile pour rechercher des arguments métaboliques en faveur d’une sarcoïdose de forme grave ou multiviscérale, rechercher des cibles biopsiables et rechercher une atteinte cardiaque.
D. IRM
Une IRM cérébrale, cardiaque ou médullaire peut être indiquée pour rechercher une atteinte extrapulmonaire en fonction des signes cliniques.
III. Sémiologie
A. Radiographie thoracique
La radiographie thoracique permet de classer la maladie en différents stades (figure 99.1).


Fig. 99.1. Stades radiographiques.
Stade 0 : radiographie normale. Stade 1 : adénopathies hilaires et/ou médiastinales. Stade 2 : adénopathies et syndrome interstitiel. Stade 3 : syndrome interstitiel. Stade 4 : fibrose avec distorsion architecturale (ici, perte de volume des régions supérieures avec ascension des hiles et attraction de la trachée).
Source : CERF, CNEBMN, 2022.
Les signes radiographiques de la maladie sont :
- stade 0 : radiographie normale ;
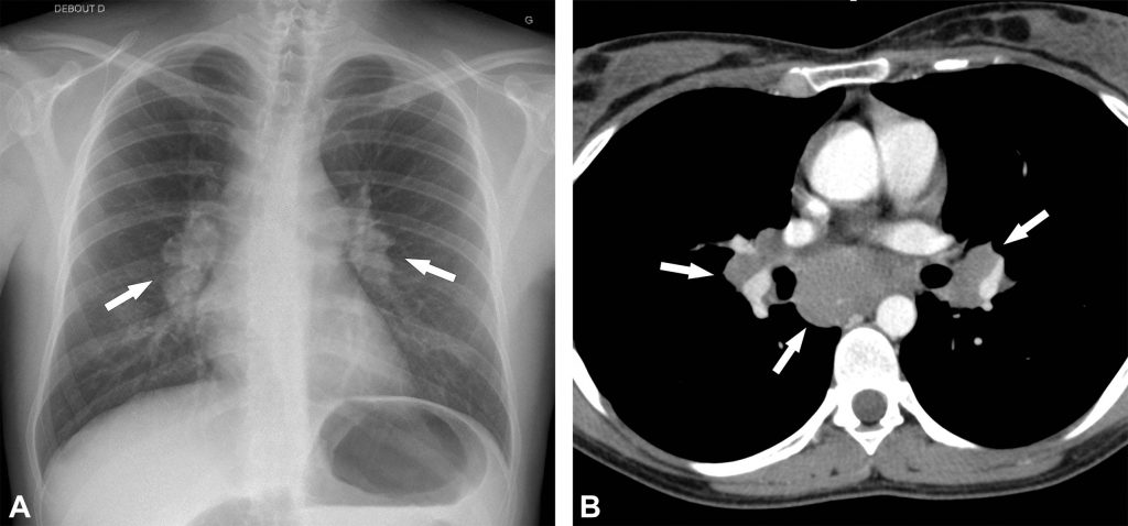
- stade 1 : adénopathies hilaires ou médiastinales bilatérales (figure 99.2) ;


Fig. 99.2. Sarcoïdose de stade 1.
La radiographie thoracique de face montre une hypertrophie des hiles pulmonaires liée à des adénopathies (flèches en A) et pas d’anomalie parenchymateuse. Cet aspect est celui d’une sarcoïdose stade 1. Le scanner thoracique injecté réalisé chez le même patient montre l’hypertrophie ganglionnaire médiastino-hilaire bilatérale et symétrique (flèches en B).
Source : CERF, CNEBMN, 2022.
- stade 2 : adénopathies et atteinte interstitielle (figure 99.3) ; l’atteinte interstitielle se manifeste par un syndrome réticulonodulaire ;


Fig. 99.3. Sarcoïdose de stade 2.
La radiographie thoracique de face montre une hypertrophie des hiles pulmonaires liée à des adénopathies (flèches en A) et des anomalies parenchymateuses interstitielles. Le scanner thoracique non injecté réalisé chez le même patient montre les adénomégalies médiastinales et hilaires (flèches en B) ainsi que l’atteinte interstitielle pulmonaire à type de micronodules de distribution lymphatique (C).
Source : CERF, CNEBMN, 2022.
- stade 3 : atteinte interstitielle sans adénopathies ;
- stade 4 : fibrose (figure 99.4) ; les signes de fibrose à la radiographie sont une distorsion architecturale et une perte de volume des lobes supérieurs avec une ascension des hiles et une attraction trachéale.


Fig. 99.4. Sarcoïdose de stade 4.
Fibrose des régions supérieures des poumons. Les signes de fibrose sont la distorsion architecturale des poumons avec une ascension des hiles (têtes de flèches) et la déformation trachéale par attraction (flèche).
Source : CERF, CNEBMN, 2022.
B. Scanner
Le scanner peut montrer :
- des adénopathies médiastinales et hilaires, bilatérales, symétriques et bien limitées (cf. figures 99.2, 99.3 et 99.5) ;


Fig. 99.5. Scanner thoracique sans injection (même patient qu’en figure 104.1) : adénopathies médiastinales (∗).
VCS : veine cave supérieure ; Ao : aorte ; AP : artère pulmonaire.
Source : CERF, CNEBMN, 2022.
- une atteinte interstitielle (réversible) : micronodules bilatéraux bien définis de distribution lymphatique, parfois confluents en nodules plus volumineux ou en plages de condensation (voir la pneumopathie infiltrante diffuse, chapitre 102). L’atteinte interstitielle prédomine aux lobes supérieurs ;
- des signes de fibrose (irréversible) sous la forme de distorsions architecturales : bronchectasies de traction, distorsion des scissures, perte de volume pulmonaire (cf. la pneumopathie infiltrante diffuse, chapitre 102).
Ces anomalies prédominent dans les régions supérieures et moyennes des poumons.
C. TEP-TDM au 18FDG
La TEP-TDM au 18FDG montre des hypermétabolismes reflétant l’intensité et l’évolution de l’activité inflammatoire de la maladie (figures 99.6 à 99.8).


Fig. 99.6. Scanner thoracique injecté et TEP-TDM au 18FDG réalisé dans le cadre d’une sarcoïdose ganglionnaire à la recherche de cibles biopsiables.
Le scanner montre des adénomégalies médiastinales bilatérales et symétriques (flèches en A) qui sont hypermétaboliques sur l’imagerie de fusion TEP-TDM (B). Ceci est en faveur d’une activité de la maladie.
Source : CERF, CNEBMN, 2022.


Fig. 99.7. TEP-TDM au 18FDG.
Examen réalisé dans le cadre d’une sarcoïdose pulmonaire et lymphatique connue (image MIP 3D (A), flèches noires) à la recherche d’une atteinte cardiaque devant l’apparition d’un BAV III ; hyperfixations multifocales de la paroi myocardique (flèches rouges) sur les images TEP (B) et TEP-TDM (C) en coupes axiales en faveur du diagnostic évoqué.
Source : CERF, CNEBMN, 2022.


Fig. 99.8. Image MIP « corps entier » de TEP au 18FDG.
Examen réalisé dans le cadre d’une sarcoïdose ganglionnaire intramédiastinale avec aspect caractéristique de l’atteinte en « λ » (lamda sign) (flèche rouge) et atteinte musculaire des membres inférieur (tiger sign) (flèche verte).
Source : CERF, CNEBMN, 2022.
Points clés
- La découverte peut être fortuite sur une radiographie thoracique.
- Le scanner thoracique permet d’évaluer les adénopathies hilaires et médiastinales, mais surtout l’atteinte pulmonaire et une éventuelle fibrose.
- La radiographie thoracique de face est anormale dans plus de 90 % des cas avec atteinte pulmonaire.
- La TEP au 18FDG permet de rechercher une atteinte multiviscérale de la sarcoïdose et d’apprécier l’évolutivité des lésions après traitement.
