Plan de chapitre
ITEM 207 – Opacités et masses intrathoraciques chez l’enfant et chez l’adulte
ITEM 210 – Pneumopathie interstitielle diffuse
I. Généralités
II. Stratégie d’exploration en imagerie
III. Sémiologie
Situations de départ
- 20 Découverte d’anomalies à l’auscultation pulmonaire.
- 161 Douleur thoracique.
- 162 Dyspnée.
Items, hiérarchisation des connaissances
ITEM 207 – Opacités et masses intrathoraciques chez l’enfant et chez l’adulte
| Rang | Rubrique | Intitulé | Descriptif |
| Diagnostic positif | Reconnaître une opacité pulmonaire chez l’enfant et l’adulte | Reconnaître une anomalie sur un ou deux poumons | |
| Diagnostic positif | Reconnaître une fracture de côte chez l’enfant et l’adulte* | ||
| Diagnostic positif | Savoir diagnostiquer un épanchement pleural liquidien chez l’enfant et l’adulte* | Diagnostiquer une pleurésie | |
| Diagnostic positif | Savoir diagnostiquer un épanchement pleural gazeux chez l’enfant et l’adulte* | Diagnostiquer un pneumothorax | |
| Diagnostic positif | Savoir diagnostiquer un syndrome alvéolaire* | Reconnaître une opacité alvéolaire et un bronchogramme aérien | |
| Diagnostic positif | Savoir diagnostiquer un syndrome interstitiel | Reconnaître un infiltrat pulmonaire | |
| Diagnostic positif | Savoir repérer une anomalie médiastinale | Tumeur, emphysème, élargissement aortique, cardiomégalie | |
| Diagnostic positif | Savoir diagnostiquer une atélectasie | Diagnostiquer un trouble ventilatoire | |
| Diagnostic positif | Savoir quand demander une radiographie thoracique en urgence* | ||
| Diagnostic positif | Savoir identifier une image thymique normale sur une radiographie thoracique de face chez un nourrisson* | ||
| Diagnostic positif | Savoir identifier une image médiastinale anormale chez le nourrisson et l’enfant et prescrire un scanner thoracique* | ||
| Étiologie | Connaître les principales hypothèses diagnostiques devant une anomalie médiastinale selon la topographie chez l’enfant* | ||
ITEM 210 – Pneumopathie interstitielle diffuse
| Rang | Rubrique | Intitulé |
| Définition | Définition des PID, connaître les grandes catégories de PID | |
| Diagnostic positif | Pneumoconiose : savoir évoquer le diagnostic | |
| Diagnostic positif | Pneumopathie d’hypersensibilité : savoir évoquer le diagnostic* | |
| Étiologie | Connaître les principales causes de PID secondaires | |
| Examens complémentaires | Connaître l’indication des examens d’imagerie au cours d’une pneumopathie interstitielle diffuse | |
| Contenu multimedia | TDM thoracique de fibrose pulmonaire idiopathique (PIC) | |
| Examens complémentaires | Connaître la stratégie diagnostique initiale devant une pneumopathie interstitielle diffuse | |
| Examens complémentaires | Connaître l’intérêt des EFR pour le diagnostic et le suivi des PID* | |
| Examens complémentaires | Connaître les principaux examens biologiques dont les examens immunologiques à effectuer devant une PID* |
I. Généralités

L’amiante et la silice sont les principaux agents à l’origine des maladies respiratoires professionnelles.
La silicose est une granulomatose à corps étrangers due à l’inhalation de poussières de silice ou de charbon qui se déposent dans les bronchioles respiratoires. Elle survient chez les patients exposés aux poussières de silice surtout pour des raisons professionnelles (mines, carrières, soufflage de verre, jet de sable, etc.).
L’amiante est une fibre naturelle largement utilisée pour ses propriétés de résistance et d’isolation thermique, interdite depuis 1997 en France, à l’origine de diverses affections respiratoires. Elle est responsable d’affections :
- bénignes : fibrose pleurale pariétale (plaques pleurales) et asbestose, qui est une fibrose pulmonaire liée aux dépôts d’amiante dans les bronchioles respiratoires ;
- et/ou malignes : cancer bronchopulmonaire (cf. chapitre 101) et cancer primitif de la plèvre ou mésothéliome.
Les manifestations cliniques des sujets exposés à long terme aux fibres d’amiante ou à la silice sont tardives (20 à 30 ans de latence) et insidieuses. Elles sont fréquemment de découverte fortuite chez des sujets ayant été exposés professionnellement.
II. Stratégie d’exploration en imagerie

La radiographie thoracique est sensible pour identifier l’atteinte parenchymateuse de la silicose et pour préciser la topographie et la sévérité des lésions. Elle est peu sensible et trompeuse pour identifier les atteintes pleuroparenchymateuses liées à l’amiante et n’est pas recommandée.
La TDM est recommandée pour identifier les pathologies bénignes liées à l’amiante. Les plaques pleurales sont en pratique caractéristiques d’une exposition à l’amiante. La TDM permet de reconnaître l’asbestose mais n’a pas aujourd’hui de rôle reconnu dans le dépistage des affections malignes.
III. Sémiologie
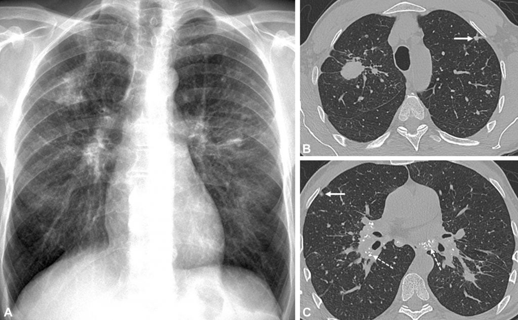
La silicose, dans sa forme simple, se traduit sur la radiographie du thorax par la présence de micro- ou de macronodules diffus prédominant aux lobes supérieurs (figure 95.1). Des adénopathies médiastinales sont fréquentes.


Fig. 95.1. Silicose pulmonaire.
Radiographie de face (A) et coupes TDM (B, C) montrant des opacités macro- et micronodulaires bilatérales prédominant dans les sommets, certaines de topographie sous-pleurale (flèches pleines), accompagnées d’adénopathies calcifiées médiastinales et hilaires (flèches en pointillé).
Source : CERF, CNEBMN, 2022.
Les plaques pleurales secondaires à l’exposition à l’amiante se traduisent en TDM par des surélévations quadrangulaires en plateau, fréquemment multiples et bilatérales, de densité tissulaire, parfois calcifiées, qui siègent dans les gouttières costovertébrales (figure 95.2), dans les régions antérolatérales du thorax et/ou sur les coupoles diaphragmatiques.


Fig. 95.2. Plaques pleurales en scanner.
Surélévations quadrangulaires pleurales en plateau, de densité tissulaire à bords nets (flèches) au niveau de la paroi antérolatérale du thorax et de la gouttière costovertébrale.
Source : CERF, CNEBMN, 2022.
L’asbestose est une fibrose pulmonaire qui ne présente aucune différence avec les autres types de fibrose pulmonaire. En TDM, elle se caractérise par des anomalies interstitielles (micronodules, réticulations intralobulaires) qui siègent dans le poumon cortical des culs-de-sac pulmonaires postérieurs (figure 95.3). Les images en « rayon de miel » à prédominance postérobasale apparaissent à un stade plus tardif.


Fig. 95.3. Asbestose.
Image de scanner sans injection en décubitus ventral, en coupe axiale, évocatrice avec des réticulations et des micronodules centrolobulaires (flèches) associés à une plaque pleurale (tête de flèche) et situés dans les culs-de-sac postérieurs et le cortex du poumon.
Source : CERF, CNEBMN, 2022.
En TDM, un épaississement pleural nodulaire ou de la plèvre médiastinale ou de plus de 1 cm d’épaisseur ou circonférentiel est évocateur d’une pathologie pleurale maligne (figure 95.4).


Fig. 95.4. Mésothéliome pleural gauche.
Tomodensitométrie en fenêtre médiastinale (A) et pulmonaire (B) après injection de produit de contraste. Il existe un épaississement irrégulier et nodulaire de la plèvre de l’hémithorax gauche prédominant sur la plèvre médiastinale (flèches). L’épaississement se prolonge vers la grande scissure gauche (flèches). Notez la rétraction de l’hémithorax gauche.
Source : CERF, CNEBMN, 2022.
Points clés
- La radiographie thoracique est sensible pour identifier l’atteinte parenchymateuse de la silicose.
- La radiographie thoracique n’est pas recommandée pour identifier les atteintes pleuroparenchymateuses liées à l’amiante.
- C’est la TDM qui est recommandée pour identifier les pathologies bénignes liées à l’amiante.
