Plan de chapitre
ITEM 205 – Hémoptysie
I. Généralités
II. Stratégie d’exploration en imagerie
– A. Radiographie
– B. Scanner thoracique
– C. Artériographie
III. Sémiologie
– A. Radiographie du thorax
– B. Scanner
Situations de départ
- 14 Émission de sang par la bouche.
- 60 Hémorragie aiguë.
- 160 Détresse respiratoire aiguë.
- 162 Dyspnée.
- 167 Toux.
- 177 Traumatisme thoracique.
Item, hiérarchisation des connaissances
ITEM 205 – Hémoptysie
| Rang | Rubrique | Intitulé | Descriptif |
| Diagnostic positif | Savoir faire le diagnostic d’hémoptysie* | Savoir différencier une hémoptysie d’une cause extrapulmonaire (hématémèse, épistaxis) | |
| Diagnostic de gravité | Savoir rechercher des signes de gravité* | Évaluer l’abondance d’une hémoptysie : rechercher des signes de détresse respiratoire | |
| Prise en charge | Savoir initier le traitement symptomatique en urgence* | Savoir initier une oxygénothérapie | |
| Examens complémentaires | Savoir réaliser le bilan initial | Savoir réaliser une radiographie de thorax, un GDS artériel, test hémostase et scanner pulmonaire | |
| Examens complémentaires | Connaître la sémiologie radiographique d’une hémoptysie | Savoir reconnaître à la radiographie de thorax un infiltrat ou opacité localisée en rapport avec un comblement alvéolaire, et/ou un trouble ventilatoire | |
| Étiologie | Rechercher les principales causes d’hémoptysie* | Évoquer selon le contexte et l’examen clinique un cancer bronchopulmonaire, les causes infectieuses (dont une tuberculose, une greffe aspergillaire…), des dilatations de bronches et les causes cardiovasculaires (EP, OAP…) | |
| Prise en charge | Savoir hiérarchiser la prise en charge d’une hémoptysie en fonction de sa gravité* | Savoir évoquer et discuter de façon pluridisciplinaire la réalisation d’une artériographie (± embolisation) bronchique |
I. Généralités

Une hémoptysie est l’expectoration de sang, à l’occasion d’un effort de toux, provenant des voies aériennes sous-glottiques. Habituellement de faible abondance (< 100 cm3), elle peut récidiver sur un mode cataclysmique et justifie une prise en charge rapide, diagnostique et thérapeutique.

Le saignement provient majoritairement de la circulation artérielle systémique (90 %), rarement de la circulation artérielle pulmonaire (10 %). La cause la plus fréquente est représentée par les pathologies inflammatoires chroniques des bronches (bronchectasies diffuses, comme dans la mucoviscidose, ou localisées). Les infections bronchopulmonaires (notamment tuberculose et aspergilloses) sont également des causes classiques, de même que le cancer bronchopulmonaire. Les autres causes sont résumées dans le tableau 92.1.

Tableau 92.1. Causes d’hémoptysie.
En gras, les causes principales.
| Bronchectasies | Diffuses (mucoviscidose, déficit immunitaire…) Localisées (séquelles post infectieuses notament de tuberculose) |
| Infections bronchopulmonaires | Tuberculose, aspergillose |
| Cancer bronchopulmonaire | |
| Embolie pulmonaire | Secondaire à un infarctus pulmonaire |
| Vascularites | Granulomatose avec polyangéite, polyangéite microscopique, syndrome de Goodpasture |
| Causes cardiovasculaires | Œdème aigu du poumon, rétrécissement mitral, hypertension artérielle pulmonaire |
| Fistules artérioveineuses | Maladie de Rendu-Osler |
| Absence de cause retrouvée (hémoptysie cryptogénique) | 10 à 25 % des cas |
II. Stratégie d’exploration en imagerie
A. Radiographie
La radiographie thoracique est indiquée quelle que soit la gravité de l’hémoptysie.
La radiographie thoracique ne doit cependant retarder ni le scanner ni un geste thérapeutique urgent.
B. Scanner thoracique
Le scanner thoracique joue un rôle essentiel dans les diagnostics positif et étiologique des hémoptysies. Il doit être réalisé après injection de produit de contraste afin d’opacifier les deux circulations, artérielle systémique et artérielle pulmonaire.
Il permet :
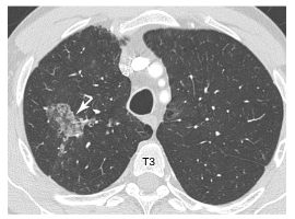
- de localiser le saignement (figure 92.1) ;


Fig. 92.1. Scanner thoracique avec injection de produit de contraste iodé.
Plage de « verre dépoli » du lobe supérieur droit (flèche) à contours géographiques correspondant à une zone d’hémorragie alvéolaire.
Source : CERF, CNEBMN, 2022.
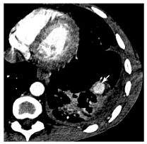
- d’en identifier la cause et la circulation responsable :
- systémique (figure 92.2) ;
- ou pulmonaire (figure 92.3) ;
- de réaliser une cartographie du réseau artériel bronchique (diamètre et origine des artères bronchiques, variations anatomiques), facilitant ainsi le geste interventionnel éventuel.


Fig. 92.2. Scanner thoracique avec injection de produit de contraste iodé réalisé devant des hémoptysies dans un contexte de mucoviscidose.
Lésions lobaires supérieures droites associant des bronchectasies à paroi épaisse (flèche), des bronchocèles (tête de flèche) et des micronodules de surinfection.
Source : CERF, CNEBMN, 2022.


Fig. 92.3. Scanner thoracique avec injection de produit de contraste iodé.
Hémoptysie dans un contexte de tuberculose active : formation arrondie lobaire inférieure gauche se rehaussant (flèche) et correspondant à un anévrisme de Rasmussen développé à partir d’une artère pulmonaire.
Source : CERF, CNEBMN, 2022.
C. Artériographie

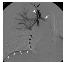
L’artériographie est réalisée uniquement à visée thérapeutique (embolisation) (figure 92.4).


Fig. 92.4. Artériographie bronchique, cliché soustrait de face (même patient qu’en figure 97.2).
Dilatation importante d’un tronc inter-costo-bronchique droit (flèche blanche) et de l’artère bronchique qui en provient (tête de flèche) avec un territoire d’aval pathologique. Flèche noire : artère intercostale ; flèches blanches : coupole droite du diaphragme ; flèches noires : bord de l’atrium droit.
Source : CERF, CNEBMN, 2022.
III. Sémiologie
A. Radiographie du thorax

Infiltrat ou opacité localisée en rapport avec le comblement alvéolaire, et/ou anomalies bronchiques ou parenchymateuses en rapport avec la cause de l’hémoptysie.
B. Scanner
Le saignement est visible sous la forme d’une ou plusieurs plages de « verre dépoli » plus ou moins étendues ou d’une condensation alvéolaire, traduisant le comblement alvéolaire plus ou moins complet. Les images associées dépendent de la cause : bronchectasies, stigmates de tuberculose active ou séquellaire, masse d’allure tumorale…
Points clés
- Une hémoptysie est l’expectoration de sang, à l’occasion d’un effort de toux, provenant des voies aériennes sous-glottiques.
- La radiographie thoracique est indiquée, quelle que soit la gravité de l’hémoptysie, mais ne doit retarder ni le scanner ni un geste de sauvetage.
- Le scanner thoracique est essentiel dans les diagnostics positif et étiologique des hémoptysies.
- L’artériographie est réalisée uniquement à visée thérapeutique (embolisation).
