Plan de chapitre
ITEM 307 – Tumeurs des os primitives et secondaires
I. Généralités
II. Stratégie d’exploration en imagerie
III. Sémiologie
– A. Radiographies
– B. Scanner
– C. IRM
– D. Scintigraphie osseuse et TEP-TDM au 18FDG
Situations de départ
- 71 Douleur d’un membre (supérieur ou inférieur).
- 228 Découverte d’une anomalie osseuse et articulaire à l’examen d’imagerie médicale.
Item, hiérarchisation des connaissances
ITEM 307 – Tumeurs des os primitives et secondaires
| Rang | Rubrique | Intitulé |
| Définition | Connaître les différentes familles de tumeurs osseuses (primitive, secondaire)* | |
| Diagnostic positif | Connaître les circonstances de découverte, les manifestations cliniques et radiologiques des tumeurs osseuses | |
| Examens complémentaires | Connaître le bilan biologique à pratiquer devant une suspicion de tumeur osseuse* | |
| Examens complémentaires | Connaître les principaux examens d’imagerie à pratiquer devant une suspicion de tumeur osseuse | |
| Prise en charge | Savoir orienter un patient vers une prise en charge spécialisée* | |
| Prévalence, épidémiologie | Connaître les cancers qui sont le plus fréquemment responsable des métastases osseuses et les circonstances de découverte* | |
| Diagnostic positif | Connaître les principaux éléments de l’enquête étiologique devant une métastase osseuse inaugurale* |
I. Généralités

Les tumeurs osseuses primitives sont des lésions tumorales bénignes ou malignes développées à partir du tissu osseux. Il en existe de très nombreux types anatomopathologiques de pronostic différent, décrits dans la classification WHO de 2013 des tumeurs osseuses (tableau 87.1).

Tableau 87.1 Classification simplifiée des tumeurs osseuses : WHO (2013).
| Tumeurs ostéoformatrices | Bénignes | Ostéome |
| Ostéome ostéoïde | ||
| Intermédiaires | Ostéoblastome | |
| Malignes | Ostéosarcome conventionnel, télengectasique, paraostéal | |
| Tumeurs cartilagineuses | Bénignes | Ostéochondrome, enchondrome |
| Intermédiaires | Tumeur cartilagineuse atypique, chondrosarcome de grade I | |
| Malignes | Chondrosarcome | |
| Tumeurs fibreuses | Intermédiaires | Fibrome desmoplastique des os |
| Malignes | Fibrosarcome osseux | |
| Tumeurs fibrohistiocytaires | Histiocytome fibreux bénin | |
| Fibrome non ossifiant | ||
| Tumeurs riches en cellules géantes ostéoclastiques | ||
| Tumeurs vasculaires | Bénignes | Hémangiome |
| Malignes | Angiosarcome | |
| Tumeurs graisseuses | Bénignes | Lipome |
| Malignes | Liposarcome | |
| Tumeurs d’origine indéterminée | Bénignes | Kyste osseux essentiel, dysplasie ostéofibreuse, kyste osseux anévrysmal |
| Sarcome d’Ewing | ||
II. Stratégie d’exploration en imagerie
L’objectif de l’imagerie est de déterminer, à partir de la description sémiologique de la lésion et en tenant compte du contexte clinique (âge du patient, antécédent et évolutivité de la lésion), le caractère quiescent ou agressif de la lésion. En dépend la conduite à tenir, qui sera toujours discutée en réunion de concertation multidisciplinaire : aucune surveillance (« don’t-touch-lesion ») ; surveillance ; biopsie percutanée ou chirurgicale.
Devant la découverte d’une lésion osseuse, le bilan d’imagerie repose sur l’analyse sémiologique des données de la radiographie (souvent complétée par un scanner) et de l’IRM réalisée dans au minimum deux plans orthogonaux en pondération T1, T2 et T1 après injection de produit de contraste.
L’imagerie précise les éléments essentiels à la réflexion diagnostique :
- l’origine osseuse de la lésion ;
- sa morphologie (forme, taille, contours) ;
- sa topographie :
- os atteint (sacrum, fémur, voûte du crâne…) ;
- topographie dans le plan longitudinal : épiphyse, métaphyse, diaphyse ;
- topographie dans le plan axial : lésion centrée ou excentrée, intraosseuse ou en surface de l’os ;
- sa matrice : osseuse, cartilagineuse, fibreuse, vasculaire, graisseuse ;
- des éléments en faveur d’une agressivité :
- l’extension extraosseuse avec un envahissement des parties molles ;
- une ostéolyse des corticales ;
- une réaction périostée agressive.
III. Sémiologie
La radiographie est l’examen de première intention devant toute lésion osseuse. Elle donne des éléments d’orientation en faveur du caractère quiescent ou agressif (tableau 87.2, figures 87.1 et 87.2).
A. Radiographies

Tableau 87.2 Caractéristiques à rechercher devant une tumeur osseuse.
| Tumeurs quiescentes | Tumeurs agressives | |
| Contours | Nets Liseré périphérique de condensation | Mal définis, ce qui témoigne du caractère infiltrant de la tumeur |
| Extensions | Bien limitées | Rupture corticale Corticales perméatives Envahissement des parties molles, éléments qui témoignent du caractère expansif de la tumeur |
| Réaction périostée | Absente Continue Compacte | Plurilamellaire « Feu d’herbe » « Rayon de soleil » Éperon de Codman |


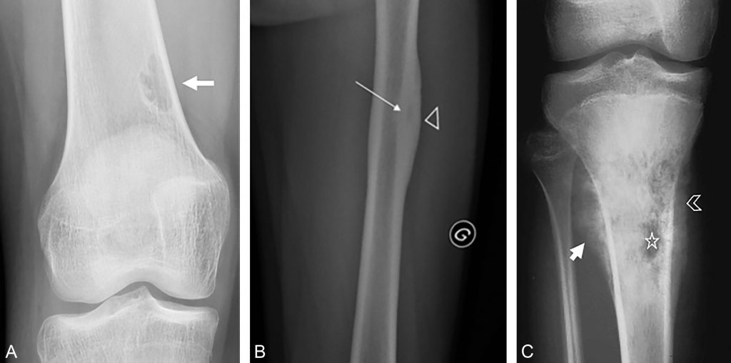
Fig. 87.1 Exemple de tumeurs osseuses primitives.
(A) Fibrome non ossifiant « don’t-touch-lesion » : radiographie du fémur de face, lésion ostéolytique avec sclérose périphérique de topographie métaphysaire excentrée d’aspect multilobulée dont le grand axe est parallèle à celui de la diaphyse fémorale. Il n’y a pas d’envahissement des parties molles ni d’apposition périostée. (B) Ostéome ostéoïde : radiographie du fémur de face, épaississement cortical fusiforme (tête de flèche), développé dans l’axe du fémur centré par une lacune intracorticale ovalaire appelé nidus (flèche). (C) Ostéosarcome : radiographie du genou de face, ostéolyse agressive perméative excentrée (étoile) de la métaphyse supérieure du tibia avec envahissement des parties molles (tête de flèche) et réaction périostée agressive en « feu d’herbe » (flèche).
Source : CERF, CNEBMN, 2022.


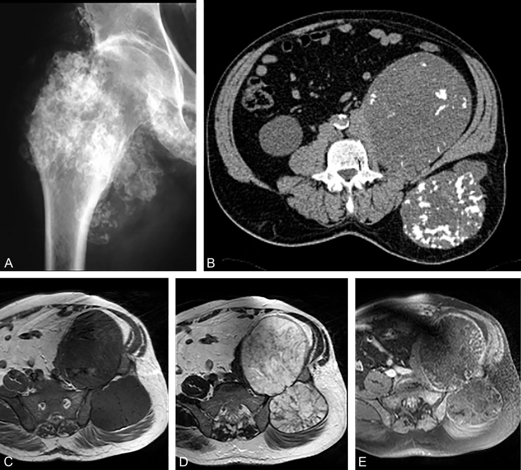
Fig. 87.2 Chondrosarcome de l’aile iliaque gauche.
La matrice cartilagineuse est évoquée devant des calcifications arciformes visibles sur la radiographie (A) et le scanner (B) ainsi que sur l’IRM en hyposignal T1 (C), hypersignal T2 (D) avec un rehaussement en arc et anneaux sur la séquence T1 Fat Sat après injection de produit de contraste (E). Notez l’extension de la lésion aux parties molles endo- et exopelviennes.
Source : CERF, CNEBMN, 2022.
Les radiographies peuvent être le seul examen à réaliser si le caractère quiescent peut être affirmé (découverte fortuite, absence d’antécédent néoplasique, image géographique cernée par un liseré de condensation net).
Toute ostéolyse ou condensation osseuse n’est pas forcément de nature tumorale : il existe de nombreuses affections non tumorales qui peuvent en être responsables, par exemple une ostéite infectieuse.
B. Scanner
Le scanner précise l’analyse sémiologique radiographique et est plus performant pour l’analyse de la nature de la matrice tumorale et de l’extension lésionnelle dans l’os et les tissus mous. Il n’est pas systématiquement nécessaire si les clichés standards apportent ces informations.
Le scanner permet le bilan d’extension à distance (métastases pulmonaires) lors de la découverte d’une lésion maligne.
C. IRM
L’IRM permet :
- l’évaluation de l’extension intraosseuse de la tumeur (recherche de skip-métastases des ostéosarcomes ou des sarcomes d’Ewing, lésion tumorale à distance de la tumeur primitive au sein du même os, extension épiphysaire) ;
- l’évaluation de l’extension extraosseuse dans les parties molles et l’articulation ;
- la caractérisation de la matrice tumorale (figure 87.2).
L’IRM est indispensable avant toute biopsie en cas de suspicion de lésion agressive sur les radiographies. Elle est essentielle à la discussion thérapeutique, en particulier la planification chirurgicale.
D. Scintigraphie osseuse et TEP-TDM au 18FDG
Ils ont un intérêt dans :
- le bilan d’extension initial ;
et le suivi thérapeutique des lésions à distance de la tumeur primitive.
Points clés
- La radiographie est l’examen de première intention devant toute lésion osseuse.
- Le scanner et l’IRM complètent la caractérisation sémiologique de la lésion.
- L’objectif de l’imagerie est de déterminer le caractère quiescent ou agressif de la lésion.
- La prise en charge doit être discutée en réunion de concertation multidisciplinaire.
