Plan de chapitre
ITEM 196 – Polyarthrite rhumatoïde
I. Généralités
II. Stratégie d’exploration en imagerie
III. Sémiologie
– A. Radiographies
– B. Échographie
– C. IRM
Situations de départ
- 56 Raideur articulaire.
- 67 Douleurs articulaires.
- 70 Déformation articulaire.
Item, hiérarchisation des connaissances
ITEM 196 – Polyarthrite rhumatoïde
| Rang | Rubrique | Intitulé | Descriptif |
| Épidémiologie, prévalence | Épidémiologie de la polyarthrite rhumatoïde* | Prévalence | |
| Éléments physiopathologiques | Physiopathologie de la polyarthrite rhumatoïde* | Concept de maladie multifactorielle | |
| Diagnostic positif | Diagnostic positif de la polyarthrite rhumatoïde* | Signes cliniques articulaires et extra-articulaires | |
| Examens complémentaires | Examens complémentaires dans la polyarthrite rhumatoïde | Signes biologiques, immunologiques, radiographiques et échographiques | |
| Suivi et/ou pronostic | Paramètres d’évaluation de l’activité | Éléments constitutifs du score d’activité | |
| Suivi et/ou pronostic | Paramètres du suivi des patients atteints de polyarthrite rhumatoïde | Éléments du suivi clinique, biologique et radiographique | |
| Diagnostic positif | Diagnostic différentiel de polyarthrite rhumatoïde | Autres causes de polyarthrites | |
| Prise en charge | Connaître les principes de la prise en charge pharmacologique et non pharmacologique* | ||
| Contenu multimédia | Photographie d’une main et d’un pied de polyarthrite rhumatoïde à la phase d’état* | Polyarthrite rhumatoïde débutante | |
| Contenu multimédia | Radiographie d’une main et d’un avant-pied révélant des érosions et un pincement articulaire | ||
| Contenu multimédia | Photographie de nodules rhumatoïdes du coude* | ||
| Examens complémentaires | Connaître l’indication des examens d’imagerie devant une suspicion de polyarthrite rhumatoïde | Radiographies des mains et des poignets (face), des pieds (face et trois quarts), du bassin, des articulations symptomatiques (penser au rachis cervical), du thorax. Échographie pour la détection de l’épanchement articulaire, de la synovite et des érosions osseuses. IRM plus sensible pour détecter érosions et synovite : à réaliser si bilan radiographique et échographie non contributifs | |
I. Généralités

La polyarthrite rhumatoïde (PR) est une synovite proliférative et destructrice évoluant par poussées suivies de périodes de rémission. Son pronostic fonctionnel demeure sévère.
La PR touche 1 à 3 % des adultes. Elle commence à tout âge avec un pic autour de 50 ans. Elle est trois à cinq fois plus fréquente chez la femme. Elle se caractérise par l’atteinte bilatérale et symétrique des articulations du squelette appendiculaire (poignets, mains, avant-pieds). Le rachis cervical peut également être affecté.
II. Stratégie d’exploration en imagerie

Lorsqu’une polyarthrite est suspectée, il faut réaliser des radiographies des mains et poignets (de face), des pieds (de face et de trois-quarts), du bassin (de face), des articulations symptomatiques (penser au rachis cervical), du thorax (de face).
La radiographie est la technique de référence, réalisée en première intention :
elles serviront au suivi du patient ;
néanmoins, l’apparition des anomalies radiographiques peut être retardée par rapport à la clinique ; leur normalité n’élimine pas le diagnostic ;
- on recherche une arthrite symétrique des poignets, métacarpophalangiennes, métatarsophalangiennes et interphalangiennes proximales ;
on élimine un diagnostic différentiel (tumeur, traumatisme, chondrocalcinose) ;
à la phase de début, les signes radiographiques sont discrets ;
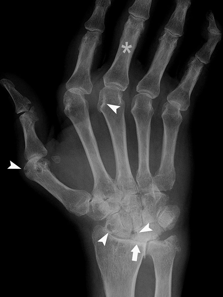
- à la phase d’état, les destructions articulaires, conséquences de la synovite, sont bien identifiées (figure 81.1).


Fig. 81.1. Polyarthrite rhumatoïde.
Radiographie de face du poignet et de la main montrant des pincements des interlignes radiocarpien (tête flèche), des érosions du bord radial des têtes des métacarpiens et des os du carpe (têtes de flèches) et une déviation des doigts (« coup de vent » ulnaire) (*).
Source : CERF, CNEBMN, 2022.
Rappel : En cas d’atteinte d’une seule articulation, l’aspect est similaire à celui d’une arthrite septique.
L’échographie permet la détection de l’épanchement articulaire, d’une synovite et des érosions osseuses (pour les régions accessibles à l’échographie, essentiellement les mains et les pieds).
- L’IRM permet une détection plus sensible des érosions et de la synovite. Elle est à réaliser si le bilan radiographique et l’échographie ne sont pas contributifs.
- La scintigraphie osseuse n’est pas indiquée.
III. Sémiologie
A. Radiographies (figure 81.1)
Les lésions élémentaires à rechercher sont :
- une tuméfaction synoviale ;
- une déminéralisation péri-articulaire ;
- un pincement diffus de l’interligne articulaire ;
- des encoches ou érosions osseuses marginales (aux zones de réflexion synoviale) ;
- une déviation/luxation secondaire à l’atteinte capsulo-ligamentaire :
- sur la main : attitude en « coup de vent » ulnaire ;
- sur la colonne cervicale : diastasis C1/C2 par atteinte du ligament transverse (augmentation de la distance entre l’arc antérieur de C1 et le processus odontoïde) ;
- l’absence d’ostéophyte.
À la phase de début, les signes se limitent à la tuméfaction synoviale (arthrite ou ténosynovite) et à une déminéralisation péri-articulaire. Il n’y a pas ou peu d’érosion et pas de pincement. Les radiographies initiales serviront de base pour surveiller l’évolution de la maladie.
Aux mains, les lésions affectent typiquement, de façon bilatérale et symétrique, l’ensemble des articulations métacarpophalangiennes et, de façon souvent plus modérée, les articulations interphalangiennes proximales. Au début, les érosions marginales sont à rechercher sur le bord radial de la tête des 2e et 3e métacarpiens.
B. Échographie
Les lésions élémentaires à rechercher sont :
- un épanchement articulaire ;
- des synovites : épaississement hypoéchogène de la synoviale. Le doppler énergie permet d’en évaluer le degré de vascularisation ;
- des ténosynovites : épaississement hypoéchogène de la gaine, avec ou sans signal doppler et épanchement liquidien associé ;
- des érosions osseuses : irrégularités de la corticale intra-articulaire.
Son accès facile, la possibilité d’évaluer de multiples articulations et son excellente performance dans la détection des synovites, ténosynovites et de certaines érosions font de l’échographie l’examen de première intention après les radiographies. Elle joue un rôle majeur pour le suivi de la maladie et l’évaluation de la réponse thérapeutique.
C. IRM
Les lésions élémentaires à rechercher sont :
- un épanchement articulaire : en hyposignal T1, hypersignal T2 ;
- une synovite : synoviale épaissie en hyposignal T1, hypersignal T2 avec une prise de contraste en T1 après injection de produit de contraste ;
- des érosions : zone d’interruption corticale bien visible en T1 ;
- une ostéite (œdème osseux) : anomalies de signal en hyposignal T1, en hypersignal T2, avec une prise de contraste en T1 après injection de la moelle osseuse.
C’est la seule technique qui permet d’objectiver l’œdème osseux. En pratique clinique, elle est demandée en cas de doute persistant après l’échographie.
Points clés
- La polyarthrite rhumatoïde se caractérise par l’atteinte bilatérale et symétrique des articulations du squelette appendiculaire (poignets, mains, avant-pieds).
- La radiographie est réalisée en première intention.
- L’échographie et l’IRM sont des examens de seconde intention.
