Plan de chapitre
ITEM 156 – Infections ostéoarticulaires de l’enfant et de l’adulte
ITEM 200 – Douleur et épanchement articulaire. Arthrite d’évolution récente
Arthrite septique
I. Généralités
II. Stratégie d’exploration en imagerie
– A. Radiographie
– B. Échographie
– C. IRM
-D. Scintigraphie osseuse
III. Sémiologie
– A. Radiographie
– B. Échographie
– C. IRM
– D. Scintigraphie osseuse
Spondylodiscite
I. Généralités
II. Stratégie d’exploration en imagerie
– A. Radiographie
– B. IRM
– C. TEP-TDM au 18FDG
III. Sémiologie
– A. Radiographies
– B. Scanner
– C. IRM
– D. TEP-TDM au 18FDG
Situations de départ
- 36 Douleur de la région lombaire.
- 44 Hyperthermie/fièvre.
- 66 Apparition d’une difficulté à la marche.
- 67 Douleurs articulaires.
- 68 Boiterie.
- 71 Douleur d’un membre (supérieur ou inférieur).
- 72 Douleur du rachis (cervical, dorsal ou lombaire).
- 87 Grosse jambe rouge aiguë.
Items, hiérarchisation des connaissances
ITEM 156 – Infections ostéoarticulaires de l’enfant et de l’adulte
| Rang | Rubrique | Intitulé | Descriptif |
| Définition | Savoir définir les différentes entités cliniques d’infections ostéoarticulaires* | ||
| Prévalence, épidémiologie | Connaître l’épidémiologie des infections ostéoarticulaires* | Prévalence, terrain, facteurs favorisants, morbidité | |
| Éléments physiopathologiques | Connaître les mécanismes des infections ostéoarticulaires* | Voies d’inoculation, portes d’entrée infectieuses : arthrite, spondylodiscite, ostéite, ostéomyélite | |
| Étiologie | Connaître les agents infectieux responsables des infections ostéoarticulaires selon le terrain et le mode de contamination* | ||
| Diagnostic positif | Identifier les signes cliniques d’infections ostéoarticulaires (selon leur localisation la plus fréquente chez l’enfant et chez l’adulte)* | ||
| Examens complémentaires | Connaître les examens d’imagerie à visée diagnostique et leurs limites | à faire avec les spécialistes de l’imagerie | |
| Examens complémentaires | Connaître les indications de la ponction articulaire* | ||
| Prise en charge | Connaître les mesures thérapeutiques autres que les antibiotiques* | Immobilisation/rééducation/discussion autres mesures | |
| Identifier une urgence | L’arthrite septique est une urgence thérapeutique* | ||
| Diagnostic positif | Connaître les signes cliniques d’arthrite septique aiguë* | ||
| Suivi et/ou pronostic | Connaître les complications d’une arthrite septique aiguë* | ||
| Prise en charge | Connaître les principes du traitement des arthrites septiques dont l’antibiothérapie de première intention* | ||
| Identifier une urgence | La spondylodiscite est une urgence diagnostique* | Prise en charge urgente et hospitalière | |
| Diagnostic positif | Connaître les signes cliniques d’une spondylodiscite* | ||
| Suivi et/ou pronostic | Connaître les complications d’une spondylodiscite* | ||
| Examens complémentaires | Connaître les examens complémentaires à réaliser pour une spondylodiscite | ||
| Diagnostic positif | Connaître les signes cliniques d’une ostéite et d’une ostéomyélite aiguë* | ||
| Contenu multimédia | Photographie d’une infection de l’orteil* | ||
| Prise en charge | Connaître les principes de la prise en charge d’une ostéite et d’une ostéomyélite aiguë* | ||
ITEM 200 – Douleur et épanchement articulaire. Arthrite d’évolution récente
| Rang | Rubrique | Intitulé | Descriptif |
| Définition | Définition d’un épanchement articulaire* | ||
| Définition | Définition d’une arthrite aiguë* | Mono-, oligo-, polyarthrite | |
| Diagnostic positif | Différencier une douleur mécanique d’une douleur inflammatoire* | Différencier une douleur mécanique d’une douleur inflammatoire | |
| Diagnostic positif | Savoir reconnaître un épanchement articulaire* | Connaître les éléments cliniques positifs qui permettent de poser le diagnostic : inspection, palpation | |
| Diagnostic positif | Connaître trois diagnostics différentiels d’un épanchement articulaire* | Hygroma, érysipèle et thrombose veineuse profonde | |
| Identifier une urgence | Savoir reconnaître une arthrite septique* | Connaître l’urgence de l’arthrite septique | |
| Étiologie | Connaître la principale cause d’arthralgie sans arthropathie* | Fibromyalgie | |
| Étiologie | Connaître les principales étiologies à évoquer devant une arthrite récente* | ||
| Étiologie | Connaître les cinq causes principales d’un épanchement articulaire mécanique* | Arthrose, pathologie fibrocartilagineuse, ostéochondrite, ostéonécrose et algodystrophie | |
| Étiologie | Connaître les trois causes principales d’un épanchement articulaire inflammatoire* | Arthrite septique, microcristalline (goutte et chondrocalcinose) et monoarthrite dans le cadre d’un rhumatisme inflammatoire débutant | |
| Étiologie | Connaître les deux causes principales d’une hémarthrose* | Traumatique ou trouble de la coagulation | |
| Examens complémentaires | Connaître l’indication et la non-indication des examens d’imagerie devant une douleur, un épanchement articulaire ou une arthrite d’évolution récente | ||
| Examens complémentaires | Différencier un épanchement mécanique d’un épanchement inflammatoire* | Savoir interpréter l’analyse du liquide articulaire | |
Arthrite septique
I. Généralités

L’arthrite septique est l’atteinte infectieuse d’une articulation, le plus souvent par Staphylococcus aureus. La cible initiale de l’atteinte est la synoviale qui devient inflammatoire (synovite) et produit rapidement un épanchement intra-articulaire. La destruction du cartilage est diffuse, non limitée aux zones de contraintes, puis apparaissent des érosions des berges articulaires. L’arthrite peut s’accompagner d’une ostéite. Le diagnostic repose sur la ponction articulaire qui permet l’analyse du liquide articulaire.
II. Stratégie d’exploration en imagerie
A. Radiographie
C’est l’examen de première intention. Elles peuvent être normales en phase initiale.
Elles permettent d’éliminer les diagnostics différentiels : une tumeur, une fracture.
B. Échographie
En urgence, elle permet de faire le diagnostic d’épanchement articulaire (plus sensible que la radiographie) et de guider la ponction articulaire.
C. IRM

L’IRM est un examen de seconde intention pour la recherche d’une ostéite associée, en cas d’échec thérapeutique, ou pour le bilan préchirurgical si un débridement articulaire est indiqué.
D. Scintigraphie osseuse
Elle est un examen de seconde intention et permet la recherche d’une ostéite associée.
III. Sémiologie
L’aspect radiologique est non spécifique d’une arthrite septique et peut se voir également dans les arthrites inflammatoires (polyarthrite rhumatoïde, par exemple).
A. Radiographie
Les signes radiographiques sont :
- un épanchement articulaire : refoulement des lignes graisseuses, épaississement des parties molles ;
- une déminéralisation des épiphyses (figure 78.1) ;
- un pincement diffus de l’interligne (focal dans l’arthrose) ;
- des érosions ou encoches aux zones de réflexion de la synoviale ;
- l’absence d’ostéophyte (contrairement à l’arthrose).


Fig. 78.1 Arthrite septique du poignet.
Radiographie du poignet gauche de face montrant une déminéralisation diffuse du poignet prédominant au niveau des articulations métacarpophalangiennes (flèches).
Source : CERF, CNEBMN, 2022.
B. Échographie
Elle permet le diagnostic (figure 78.2) :
- d’épanchement articulaire : liquide anéchogène intra-articulaire ;
- de synovite : synoviale épaissie, signal en doppler.


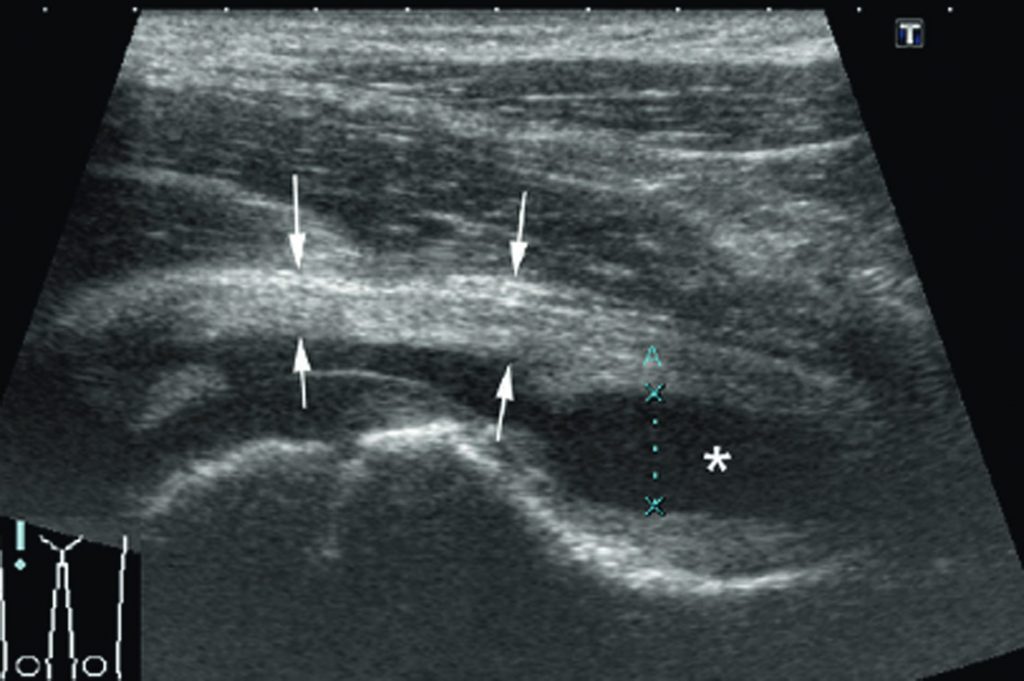
Fig. 78.2 Arthrite septique de la hanche droite.
Échographie montrant un épanchement articulaire (étoile) et un épaississement de la synoviale (flèches).
Source : CERF, CNEBMN, 2022.
C. IRM
Elle permet le diagnostic :
- d’épanchement articulaire : signal liquidien, hyposignal T1, hypersignal T2 ;
- de synovite : synoviale épaissie, en hyposignal T1, hypersignal T2, prise de contraste en T1 après injection de contraste ;
- d’ostéite : anomalies de signal mal limitées en hyposignal T1, en hypersignal T2, avec prise de contraste en T1 après injection de contraste.
D. Scintigraphie osseuse
La scintigraphie montre une hyperfixation diffuse de l’articulation touchée.
Spondylodiscite
I. Généralités

La spondylodiscite est une infection de l’espace discovertébral. L’inoculation peut être directe (postopératoire) ou par voie hématogène à partir d’un foyer à distance. Le germe le plus fréquemment en cause est le Staphylococcus aureus, les autres germes étant les streptocoques et ceux de la brucellose ou de la tuberculose. L’infection atteint le disque intervertébral (formation d’un abcès discal) et les vertèbres adjacentes (responsable d’un œdème vertébral). Elle peut se propager à l’espace épidural et entraîner une compression médullaire.
II. Stratégie d’exploration en imagerie
A. Radiographie
La radiographie est toujours réalisée en première intention, mais peut être normale à la phase initiale de l’infection. Les signes radiographiques apparaissent après les signes visualisés en IRM.
B. IRM
Elle permet de confirmer le diagnostic, de préciser une extension aux parties molles et de rechercher des complications comme une extension épidurale pouvant être responsable d’une compression médullaire.
C. TEP-TDM au 18FDG
Cet examen est complémentaire de l’IRM (examens de seconde intention après les radiographies) pour le diagnostic positif. Il permet également de rechercher une éventuelle porte d’entrée et d’autres foyers infectieux à distance en raison de son acquisition « corps entier ».
III. Sémiologie
A. Radiographies

Elles permettent le diagnostic par l’apparition :
- d’un pincement discal : premier signe visible en radiographie, ce pincement est rapide et isolé (figure 78.3) ;


Fig. 78.3 Radiographie de profil du rachis lombaire.
Apparition en 3 mois d’un pincement de l’espace intersomatique en L3-L4 (flèche) avec érosions, irrégularités et aspect flou des plateaux en miroir (flèche).
Source : CERF, CNEBMN, 2022.
- d’érosions, irrégularités, puis de sclérose des plateaux vertébraux ;
- d’un effondrement du corps vertébral dans les formes sévères évoluées ;
- d’une tuméfaction des parties molles.
B. Scanner
En scanner, on recherche les mêmes signes sémiologiques qu’en radiographie. La résolution spatiale de cet examen permet une analyse plus fine des érosions des plateaux vertébraux. Les reconstructions en filtre mou permettent la visualisation de l’extension aux parties molles.
C. IRM
Les signes IRM à rechercher sont :
- une ostéite des plateaux vertébraux, un œdème de l’os sous-chondral des plateaux vertébraux en miroir : en hyposignal T1, hypersignal T2, avec prise de contraste en T1 après injection de contraste (figure 78.4) ;


Fig. 78.4 Spondylodiscite.
IRM du rachis dorsal dans un plan sagittal montrant un œdème des corps vertébraux en hyposignal T1, hypersignal STIR et rehaussé en T1 Fat Sat après injection de gadolinium associé à une infiltration des parties molles prévertébrales (flèche) et à une extension épidurale (étoile).
Source : CERF, CNEBMN, 2022.
- un abcès discal : hyposignal T1 et hypersignal T2 très intense (signal dit « liquidien ») ;
- une extension périvertébrale et épidurale : anomalies de signal « inflammatoire » en hyposignal T1, hypersignal T2, avec prise de contraste en T1 après injection de contraste, plus ou moins associées à des collections (hyposignal T1, hypersignal T2 rehaussées en périphérie avec injection de contraste). L’atteinte épidurale peut entraîner une compression médullaire ou de la queue de cheval.
D. TEP-TDM au 18FDG
- Hyperfixations linéaires en miroir des espaces intervertébraux évocateurs de foyers de spondylodiscite.
- Associées parfois à des hypermétabolismes des structures adjacentes (muscle, graisse) évoquant une infiltration des parties molles (figure 78.5).


Fig. 78.5 En TEP-TDM au 18FDG : image en MIP 3D (A), en coupes sagittales TEP (B) et TEP couplée à la TDM (C).
Mise en évidence d’hypermétabolismes pathologiques des disques intervertébraux T10-T11 et L4-L5 en rapport avec deux foyers de spondylodiscite (flèches noires). Hypermétabolisme pathologique de la picc line (flèche rouge) évoquant une porte d’entrée à ce niveau.
Source : CERF, CNEBMN, 2022.
Points clés
- Devant une suspicion d’arthrite septique, une radiographie standard est systématique ; l’échographie permet le diagnostic d’épanchement articulaire et guide une ponction.
- L’IRM est un examen de seconde intention.
- Devant une suspicion de spondylodiscite, la radiographie est également réalisée en premier, complétée par une IRM qui doit être pratiquée en urgence en cas de suspicion de compression médullaire.
- La TEP au 18FDG est indiquée en seconde intention pour le diagnostic de spondylodiscite en cas de radiographies normales. Elle permet également de rechercher une porte d’entrée infectieuse voire d’autres foyers infectieux à distance.
