Plan de chapitre
ITEM 198 – Arthropathie microcristalline
I. Généralités
II. Stratégie d’exploration en imagerie
III. Sémiologie
– A. Chondrocalcinose
– B. Rhumatisme à hydroxyapatite
– C. Goutte
Situations de départ
- 56 Raideur articulaire.
- 67 Douleurs articulaires.
- 70 Déformation articulaire.
- 71 Douleur d’un membre (supérieur ou inférieur).
- 72 Douleur du rachis (cervical, dorsal ou lombaire).
- 228 Découverte d’une anomalie osseuse et articulaire à l’examen d’imagerie médicale.
Item, hiérarchisation des connaissances
ITEM 198 – Arthropathie microcristalline
| Rang | Rubrique | Intitulé | Descriptif |
| Définition | Connaître les trois principaux microcristaux impliqués en pathologie humaine* | Cristaux d’urate de sodium dans la goutte, cristaux de pyrophosphate de calcium dans le rhumatisme à pyrophosphate, cristaux d’apatite dans les tendinopathies calcifiantes ou autres calcinoses | |
| Définition | Connaître la valeur seuil de l’hyperuricémie* | 360 μmol/l ou 60 mg/l | |
| Éléments physiopathologiques | Réaction inflammatoire aiguë et phénomène de cristallisation* | ||
| Contenu multimédia | Radiographie de poignet : calcification du ligament triangulaire du carpe | ||
| Contenu multimédia | Radiographie du genou : calcification méniscale, calcification cartilagineuse | ||
| Contenu multimédia | Radiographie de bassin : calcifications de la symphyse pubienne et des cartilages fémoraux | ||
| Prévalence, épidémiologie | Prévalence de la goutte en France* | Supérieure à celle des rhumatismes inflammatoires courants (PR, Rpso, SPA) : 0,9 % | |
| Diagnostic positif | Connaître la description d’un accès aigu microcristallin* | Stéréotypée : pied et base du gros orteil, survenue nocturne, brutale, rapide d’une douleur > 7/10, délai de survenue < 24 heures, rougeur, impotence, et résolution spontanée en 7–10 jours | |
| Prévalence, épidémiologie | Connaître le terrain, les comorbidités et les facteurs déclenchants d’une crise de goutte* | Infection, traumatisme, repas riche en graisses, déshydratation, iatrogénie (diurétique) | |
| Diagnostic positif | Diagnostiquer une crise de goutte, identifier les situations nécessitant un avis spécialisé | Terrain, sémiologie, signes généraux, comorbidités, hyperuricémie | |
| Identifier une urgence | Exclure une arthrite septique | Indication d’une ponction du liquide articulaire | |
| Diagnostic positif | Connaître les formes polyarticulaires ou oligoarticulaires* | Chez un goutteux connu | |
| Diagnostic positif | Connaître les caractéristiques d’un liquide inflammatoire* | ||
| Contenu multimédia | Tophus cliniquement décelable (typique)* | Hélix, pulpe du doigt, orteil | |
| Examens complémentaires | Connaître les deux examens biologiques indispensables à visée diagnostique dans la goutte* | Uricémie, estimation du débit de filtration glomérulaire (MDRD ou CKD-EPI) | |
| Suivi et/ou pronostic | Connaître le risque de surmortalité de la goutte non traitée* | Courbe en U | |
| Diagnostic positif | Connaître les différences de terrain entre goutte, PPCa et calcification apatitique* | Homme, sujet âgé, femme jeune | |
| Prise en charge | Connaître les principes de prise en charge d’une crise aiguë de goutte* | Information, éducation, conseils nutritionnels, traitement de la crise de goutte, traitement hypo-uricémiant | |
| Prise en charge | Connaître les règles hygiénodiététiques et les principes des traitements hypo-uricémiants* | Faible dose initiale, augmentation mensuelle progressive, treat-to-target, cible d’uricémie < 60 mg/l (50 mg/l si tophus) | |
| Suivi et/ou pronostic | Connaître les formes sévères de goutte* | Fréquence des accès, tophus, arthropathies chroniques, comorbidités | |
| Étiologie | Connaître les deux principales affections associées aux dépôts de PPCa* | Hémochromatose et hyperparathyroïdie primaire | |
| Prise en charge | Connaître les principes de traitement d’un accès aigu à cristaux de pyrophosphate de calcium* | Même traitement qu’un accès goutteux ; posologie adaptée au sujet plus âgé | |
| Prise en charge | Connaître les principes de traitement d’un accès aigu à cristaux d’hydroxyapatite* | ||
I. Généralités

Les arthropathies microcristallines sont secondaires à des dépôts intra-articulaires (synoviale, cartilage, ménisques) ou péri-articulaires (tendons, ligaments) de microcristaux :
- cristaux d’urate de sodium responsables de la goutte ;
- cristaux calciques de type pyrophosphate de calcium responsables de la chondrocalcinose ;
- cristaux de phosphate de calcium responsables du rhumatisme à hydroxyapatite.
Souvent asymptomatiques, elles se manifestent comme des arthropathies chroniques pouvant évoluer vers l’arthrose. L’enjeu est de reconnaître les accès aigus dont le diagnostic différentiel principal est l’arthrite septique.
II. Stratégie d’exploration en imagerie
L’examen de référence est la radiographie standard. Elle peut montrer les dépôts de microcristaux intra- ou péri-articulaires. Leur forme et leur distribution permettent d’évoquer le cristal impliqué.
III. Sémiologie
A. Chondrocalcinose
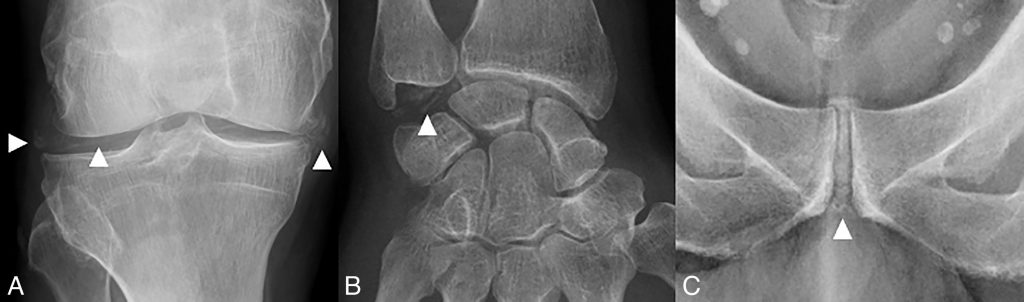
Calcifications cartilagineuses le plus souvent linéaires (figure 75.1).
- Atteinte fréquente des fibrocartilages (ménisque, ligament triangulaire du poignet, symphyse pubienne).


Fig. 75.1 Chondrocalcinose.
Radiographies du genou de face montrant des calcifications caractéristiques des ménisques et du cartilage (têtes de flèche) (A), du poignet de face montrant des calcifications du ligament triangulaire (tête de flèche) (B), et du fibrocartilage de la symphyse pubienne (tête de flèche) (C).
Source : CERF, CNEBMN, 2022.
B. Rhumatisme à hydroxyapatite
Calcifications plus floconneuses que dans la chondrocalcinose.
Atteinte souvent péri-articulaire dans les tendons (tendons de la coiffe des rotateurs de l’épaule surtout).
- Tableau clinique : épaule hyperalgique, pseudo-paralytique lors d’une poussée aiguë secondaire aux mécanismes de résorption des calcifications.
C. Goutte
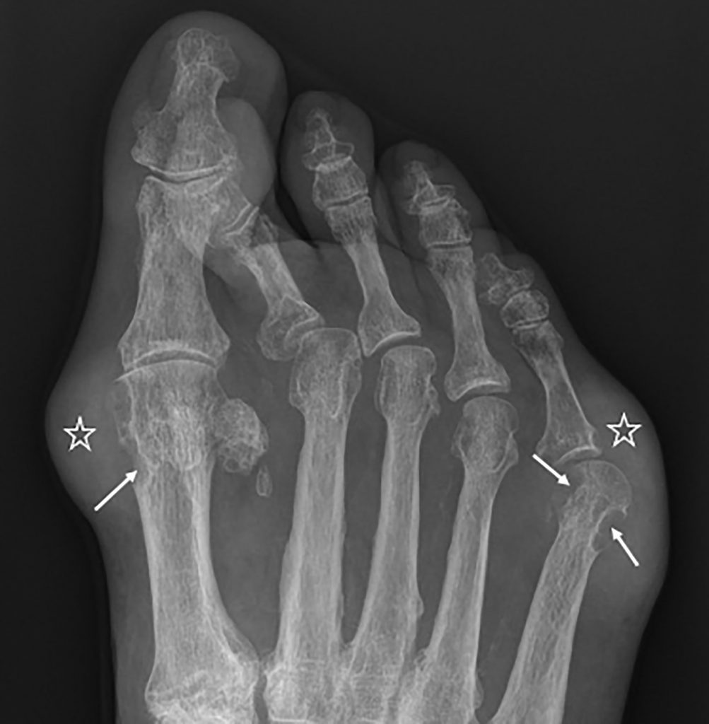
Atteinte typique de la 1re articulation métatarsophalangienne.
- Dépôts denses, en amas, des tissus mous appelés « tophus ».
Érosions para-articulaires, à distance de l’interligne, avec aspect en « hallebarde » (figure 75.2).



Fig. 75.2 Goutte.
Radiographie du pied droit de face montrant des érosions para-articulaires avec aspect en « hallebarde » (flèches) et des tophus péri-articulaires sous forme de dépôts denses en amas des parties molles (étoiles). L’interligne articulaire est préservé.
Source : CERF, CNEBMN, 2022.
Points clés
- L’examen de référence est la radiographie standard.
- L’analyse de la forme et de la distribution des dépôts permet d’évoquer le cristal impliqué.
