Plan de chapitre
ITEM 335 – Orientation diagnostique et conduite à tenir devant un traumatisme cranio-facial
I. Généralités
II. Stratégie d’exploration en imagerie et sémiologie
Situations de départ
- 174 Traumatisme facial.
Item, hiérarchisation des connaissances
ITEM 335 – Orientation diagnostique et conduite à tenir devant un traumatisme cranio-facial
| Rang | Rubrique | Intitulé |
| Identifier une urgence | Identifier les urgences vitales et fonctionnelles du traumatisé facial* | |
| Diagnostic positif | Connaître les éléments de l’interrogatoire et de l’examen clinique à réaliser dans le cadre d’un traumatisme facial* | |
| Examens complémentaires | Connaître les examens à réaliser en première intention dans le cadre d’un traumatisme facial en fonction des orientations diagnostiques* | |
| Identifier une urgence | Connaître les critères de gravité d’un traumatisme facial* | |
| Diagnostic positif | Connaître les déclarations obligatoires pour un patient victime d’une morsure animale* | |
| Prise en charge | Connaître les principes thérapeutiques des plaies de la face (morsures incluses)* | |
| Diagnostic positif | Connaître le traumatisme dentaire nécessitant une prise en charge urgente (i.e. luxation dentaire)* | |
| Définition | Définition de la fracture de la mandibule* | |
| Diagnostic positif | Connaître les signes cliniques présents dans les fractures de mandibule (pour l’ensemble des fractures, condyle inclus)* | |
| Suivi et/ou pronostic | Connaître le risque d’ankylose articulaire après fracture du condyle* | |
| Examens complémentaires | Connaître les examens à réaliser dans le cadre d’une fracture de mandibule | |
| Contenu multimédia | Scanner d’une fracture de mandibule (coupes ou reconstruction) | |
| Définition | Définition d’une fracture du zygoma* | |
| Diagnostic positif | Connaître les signes cliniques présents dans les fractures du zygoma* | |
| Suivi et/ou pronostic | Connaître les complications des fractures du zygoma* | |
| Examens complémentaires | Connaître les examens à réaliser dans le cadre d’une fracture du zygoma* | |
| Définition | Définition d’une fracture du plancher de l’orbite* | |
| Diagnostic positif | Connaître les signes cliniques présents dans les fractures du plancher de l’orbite* | |
| Identifier une urgence | Reconnaître les critères d’incarcération musculaire dans une fracture du plancher de l’orbite* | |
| Examens complémentaires | Connaître les examens à réaliser en urgence dans le cadre d’une fracture du plancher de l’orbite | |
| Contenu multimédia | Scanner d’une fracture du plancher de l’orbite | |
| Prise en charge | Connaître les principes du traitement d’une fracture du plancher de l’orbite avec incarcération musculaire* | |
| Diagnostic positif | Connaître les signes cliniques présents dans les fractures des os nasaux* | |
| Suivi et/ou pronostic | Connaître les critères de gravité d’une fracture des os nasaux (hématome cloison, épistaxis)* | |
| Définition | Définition des fractures de Le Fort* | |
| Diagnostic positif | Connaître les signes cliniques communs et spécifiques des différents types des fractures de Le Fort* | |
| Identifier une urgence | Connaître des risques fonctionnels et vitaux des fractures de Le Fort* | |
| Identifier une urgence | Connaître les éléments cliniques d’une brèche cérébrospinale dans le cadre d’un traumatisme facial* | |
| Examens complémentaires | Connaître les examens à réaliser dans le cadre d’une fracture de Le Fort | |
| Définition | Connaître les différents traumatismes crâniens de l’enfant* | |
| Identifier une urgence | Traumatismes crâniens de l’enfant : évaluation de la gravité et des complications précoces* |
I. Généralités

Un traumatisme craniofacial survient le plus souvent dans un contexte de polytraumatisme, fréquemment lors d’un accident de la voie publique.
II. Stratégie d’exploration en imagerie et sémiologie
L’imagerie a pour but de préciser la topographie exacte des lésions, les structures à risque affectées par le traumatisme, de détecter les complications précoces et d’évaluer les risques de complications.
L’examen de référence est le scanner sans injection de produit de contraste avec des reconstructions dans les trois plans de l’espace.
Le scanner du massif facial recherchera :
- une fracture du plancher de l’orbite :
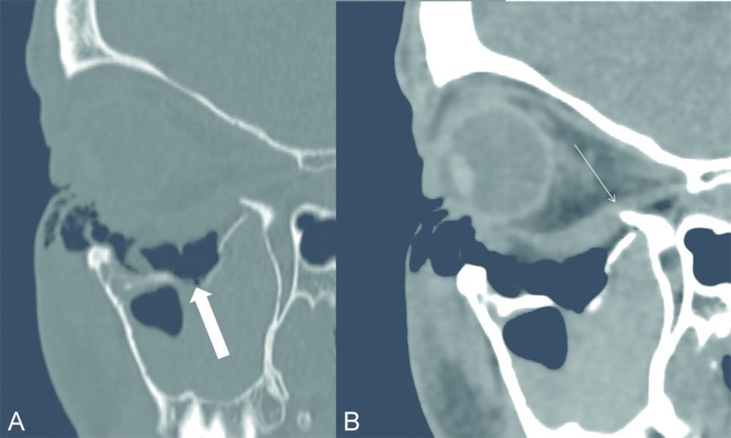
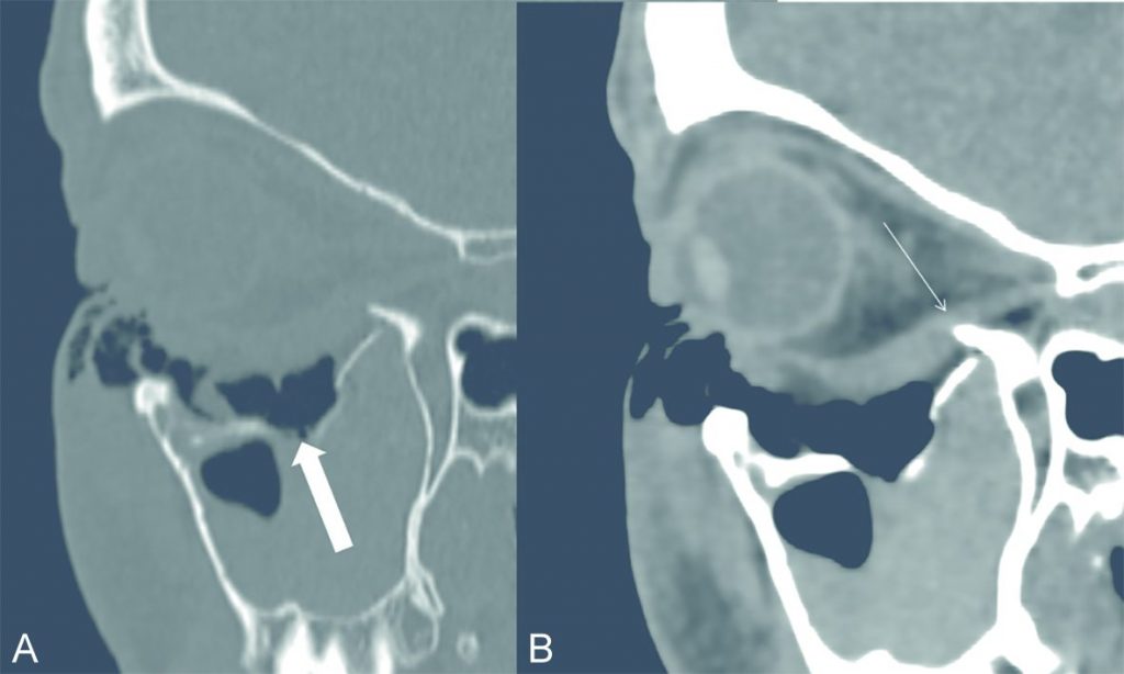
incarcération d’un muscle oculomoteur et atteinte du canal infraorbitaire où chemine le nerf infraorbitaire, branche du V2 (figure 70.1) ;


Fig. 70.1 Scanner en coupes sagittales obliques du massif facial.
(A) Filtre dur « os ». (B) Filtre tissulaire.
Fracture déplacée du plancher de l’orbite gauche avec une incarcération de graisse (flèche épaisse) et piégeage du muscle droit inférieur à la partie postérieure du plancher (flèche fine).
Source : CERF, CNEBMN, 2022.
une fracture de l’os zygomatique ;
- une fracture de la mandibule :
portion dentée (symphyse et corps mandibulaire) et/ou branche (processus coronoïde, condyle et angle) ;
des disjonctions craniofaciales (caractérisées par la fracture du processus ptérygoïde de l’os sphénoïde) :
Lefort I : qui sépare le maxillaire au niveau du plancher des fosses nasales ;
- Lefort II : fracture passant par les foramens infraorbitaires jusqu’aux processus ptérygoïdes, détachant la pyramide nasale et le maxillaire ;
- Lefort III : fracture passant par les jonctions nasofrontale et frontomalaire ; fracture compliquée dans 25 % des cas de fistule avec fuite de liquide cérébrospinal ;
une fracture de l’étage antérieur de la base du crâne avec un risque de fistule ostéodurale.
Le scanner des os temporaux sera réalisé en urgence devant :
- une otoliquorrhée, à la recherche d’une brèche ostéoméningée ;
- une otorragie massive, à la recherche d’une fracture du canal carotidien avec rupture de l’artère carotide interne ;
- une paralysie faciale brusque d’emblée ;
- une surdité de perception brutale.

Il recherchera :
- un trait de fracture trans- ou extralabyrinthique (figure 70.2) ;
- une fracture du canal du nerf facial ;
- une atteinte de la chaîne ossiculaire : fracture, luxation ;
- une extension au tegmen tympani ou antri avec recherche de pneumocéphalie ;
- une extension du trait de fracture au canal carotidien ou au sinus sphénoïdal.


Fig. 70.2 Scanner en coupes transversales de l’os temporal gauche.
Fracture mixte extra- et translabyrinthique (flèche épaisse) avec pneumolabyrinthe (flèche fine).
Source : CERF, CNEBMN, 2022.
Points clés
- La TDM du massif facial doit être pratiquée en urgence.
