Plan de chapitre
89 – Altération de la fonction auditive
ITEM 150 – Otites infectieuses de l’adulte et de l’enfant
Surdité de transmission à tympan normal
I. Généralités
II. Stratégie d’exploration en imagerie
III. Sémiologie
Surdité de transmission à tympan anormal
Surdité de perception
I. Stratégie d’exploration en imagerie
II. Sémiologie
Surdité de perception de l’enfant
I. Généralités
II. Stratégie d’exploration
III. Sémiologie radiologique
Situations de départ
- 140 Baisse de l’audition/surdité.
- 153 Otalgie.
- 154 Otorrhée.
Items, hiérarchisation des connaissances
ITEM 89 – Altération de la fonction auditive
| Rang | Rubrique | Intitulé | Descriptif |
| Définition | Définition d’un test auditif tonal* | ||
| Définition | Connaître les grands types de surdité* | ||
| Diagnostic positif | Connaître les critères des tests acoumétriques* | ||
| Examens complémentaires | Connaître les principes de réalisation d’une audiométrie tonale, vocale* | ||
| Examens complémentaires | Connaître les principes de l’impédancemétrie* | ||
| Examens complémentaires | Connaître les principes d’un test auditif objectif par PEA* | ||
| Diagnostic positif | Connaître les caractéristiques de surdités de transmission* | ||
| Examens complémentaires | Indication des examens d’imagerie devant une surdité de transmission* | ||
| Examens complémentaires | Connaître l’utilité de la tympanométrie dans le diagnostic des surdités de transmission* | ||
| Étiologie | Connaître les étiologies principales des surdités de transmission* | (Otospongiose) (Séquelles d’otite chronique) (Fracture du rocher) (Bouchon de cérumen) (Origine infectieuse, séro-muqueuse : OSM) | |
| Diagnostic positif | Connaître les caractéristiques de surdité de perception* | Dont celle du sujet âgé (presbyacousie) | |
| Examens complémentaires | Indication des examens d’imagerie devant une surdité de perception | ||
| Examens complémentaires | Indication des examens d’imagerie devant une surdité de perception chez l’enfant | Couple TDM (os temporal)-IRM (os temporal + encéphale) | |
| Étiologie | Connaître les étiologies principales des surdités de perception* | (Surdité brusque) (Autres étiologies) (Neurinome du VIII) (Surdités génétiques) (Presbyacousie) (Traumatisme sonore, ototoxicité) | |
| Diagnostic positif | Connaître les particularités des surdités de perception de l’enfant* | ||
ITEM 150 – Otites infectieuses de l’adulte et de l’enfant
| Rang | Rubrique | Intitulé | Descriptif |
| Définition | Connaître les définitions : otalgie, différents types d’otites* | ||
| Prévalence, épidémiologie | Connaître les principaux éléments de l’épidémiologie de l’OMA* | ||
| Éléments physiopathologiques | Connaître les éléments de physiopathologie de l’OMA* | ||
| Diagnostic positif | Savoir faire le diagnostic d’OMA (démarche diagnostique, examen clinique dont otoscopie)* | ||
| Examens complémentaires | Indication des examens d’imagerie devant une otite infectieuse de l’adulte et de l’enfant | OMA non compliquée = rien ; suspicion de complication = IRM ou, à défaut, TDM | |
| Prise en charge | Connaître la stratégie initiale de la prise en charge de l’OMA : antibiothérapie, traitements associés* | ||
| Suivi et/ou pronostic | Connaître les principales complications de l’OMA* | ||
| Diagnostic positif | Savoir faire le diagnostic de l’otite externe et de l’otite séromuqueuse* | ||
| Prise en charge | Connaître la stratégie initiale de prise en charge de l’otite externe et de l’otite séromuqueuse* | ||
Plusieurs situations sont à distinguer selon l’âge, le contexte clinique et les résultats de l’examen ORL (aspect du tympan, type de surdité d’après les données audiométriques).
Surdité de transmission à tympan normal
I. Généralités

Surdité de transmission uni- ou bilatérale avec un tympan normal en otoscopie (excluant une otite).
II. Stratégie d’exploration en imagerie

Le scanner des os temporaux — la partie pétreuse (rocher) est une des parties de l’os temporal — en fenêtre osseuse est l’examen de référence.
Il est réalisé sans injection de produit de contraste et en haute résolution à la recherche :
d’une otospongiose, qui est la cause la plus fréquente des surdités de transmission à tympan normal chez l’adulte ; c’est une ostéodystrophie du labyrinthe osseux à prédominance féminine, réalisant un blocage de la base (platine) du stapes ;
d’autres causes moins fréquentes :
- malformation de la chaîne ossiculaire en particulier du stapes ;
- fixation de la chaîne ossiculaire ;
- déhiscence du conduit semi-circulaire supérieur ;
- rupture ou luxation ossiculaire passée inaperçue (surtout chez l’enfant).
Il permet de mettre en évidence des variantes anatomiques à risque lors de la chirurgie, en particulier une déhiscence de la deuxième portion du nerf facial, une déhiscence du foramen jugulaire, un trajet vasculaire variant.
L’analyse de l’oreille interne (ou labyrinthe osseux) sera systématique car certaines malformations de l’oreille interne se manifestent par une surdité de transmission par blocage de la base du stapes et cela contre-indique toute chirurgie stapédienne.
III. Sémiologie
En TDM, les signes en faveur d’une otospongiose sont l’épaississement de la base du stapes et la présence de foyers hypodenses de la région pré-stapédienne (figures 64.1 et 64.2).
Points clés
- Toute surdité de transmission à tympan normal nécessite un scanner des os temporaux avant toute chirurgie.
- L’otospongiose en est la cause la plus fréquente.


Fig. 64.1 Coupe axiale TDM de l’oreille gauche en fenêtre osseuse.
Mise en évidence d’un foyer d’hypodensité pré-stapédien de plus de 1 mm (flèche) : otospongiose de stade III. Comparer avec une coupe axiale d’une oreille normale : voir figure 62.2.
Source : CERF, CNEBMN, 2022.


Fig. 64.2 Coupe transversale TDM de l’oreille droite en fenêtre osseuse.
Otospongiose de stade IVA. Foyers d’hypodensité pré-stapédiens et de la partie antérieure du labyrinthe osseux (flèche).
Source : CERF, CNEBMN, 2022.
Surdité de transmission à tympan anormal
Voir chapitre 67.
Surdité de perception
I. Stratégie d’exploration en imagerie

L’imagerie sera demandée en cas d’unilatéralité ou d’asymétrie de la surdité.
L’IRM des méats acoustiques internes est l’examen de référence qui permettra d’analyser l’oreille interne et les voies de conduction auditives : le nerf cochléovestibulaire dans le méat acoustique interne, l’angle pontocérébelleux, mais aussi les noyaux cochléovestibulaires au sein du tronc cérébral ainsi que le parenchyme cérébral.
II. Sémiologie

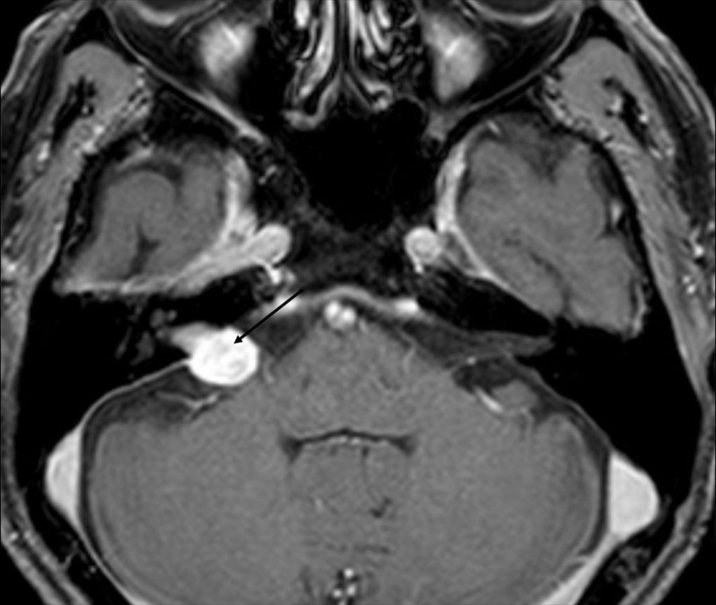
La pathologie la plus fréquente est le schwannome vestibulaire (neurinome de l’acoustique) (figure 64.3). Il se manifeste par :
une tumeur bien limitée extra-axiale de l’angle pontocérébelleux, centrée sur le méat acoustique interne présentant un angle de raccordement aigu avec la face postérieure de la partie pétreuse de l’os temporal ;
- un élargissement fréquent du méat acoustique interne ;
- une prise de contraste intense et souvent homogène ;
- un extension extraméatique possible pouvant entraîner un effet de masse sur le tronc cérébral, voire une hydrocéphalie par compression du quatrième ventricule.
Les autres tumeurs de l’angle pontocérébelleux sont moins fréquentes, parmi elles le méningiome de l’angle pontocérébelleux.
Surdité de perception de l’enfant


Fig. 64.3 Schwannome vestibulaire.
IRM en coupe transversale en T1 après injection de produit de contraste : tumeur centrée sur l’angle pontocérébelleux et le méat acoustique interne (flèche) avec prise de contraste intense.
Source : CERF, CNEBMN, 2022.
I. Généralités

Dépistée de plus en plus précocement (test à la maternité), la mise en évidence d’une surdité de perception bilatérale profonde de l’enfant justifie une imagerie précoce en vue d’une pose d’implant cochléaire.
Une surdité unilatérale est souvent découverte tardivement à l’âge scolaire.
La présence d’une malformation de l’oreille externe, du méat acoustique externe ou du massif facial doit faire réaliser des potentiels évoqués auditifs afin de rechercher une atteinte de l’oreille interne : si les potentiels évoqués auditifs sont normaux, l’imagerie, pour le bilan malformatif de l’oreille moyenne, peut être différée.
II. Stratégie d’exploration
En cas de surdité profonde bilatérale, le couple TDM-IRM des os temporaux est nécessaire au bilan pré-implant pour l’étude de l’oreille interne et des structures nerveuses cochléovestibulaires.
L’IRM de l’encéphale est aussi nécessaire pour éliminer des pathologies associées (malformations, leucodystrophie, etc.).
III. Sémiologie radiologique
Les principales anomalies de l’oreille interne à rechercher au scanner (figure 64.4) et à l’IRM sont des malformations :
- de la cochlée : dysplasie cochléaire avec partition anormale de la cochlée (par exemple, malformation de Mondini) ;
- du conduit cochléaire : hypoplasie ou aspect élargi (risque d’« oreille geyser ») ;
- des conduits semi-circulaires et du vestibule ;
- une dilatation du canal endolymphatique (aqueduc du vestibule).


Fig. 64.4 Scanner d’oreille en coupes transversales successives centrées sur l’oreille gauche, montrant une dilatation du canal endolymphatique (flèche épaisse, A) associée à une malformation de la cochlée : partition anormale de la cochlée (flèche fine, B).
Source : CERF, CNEBMN, 2022.
Points clés
- L’IRM des méats acoustiques internes est l’examen de référence devant une surdité de perception chez l’adulte.
- La pathologie la plus fréquente chez l’adulte est le schwannome vestibulaire.
- Chez l’enfant, il faut réaliser le couple TDM-IRM des os temporaux ainsi qu’une IRM cérébrale à la recherche d’une pathologie associée.
- L’étiologie la plus fréquente chez l’enfant est malformative.
