Plan de chapitre
ITEM 287 – Diverticulose colique et diverticulite aiguë du sigmoïde
I. Généralités
II. Stratégie d’exploration en imagerie
III. Sémiologie
– A. Diverticulose
– B. Diverticulite
– C. Complications de la diverticulite
– D. Diagnostic différentiel
Situations de départ
- 2 Diarrhée.
- 4 Douleur abdominale.
- 10 Méléna/rectorragie.
- 12 Nausées.
- 13 Vomissements.
- 44 Hyperthermie/fièvre.
- 203 Élévation de la protéine C-réactive (CRP).
- 233 Identifier/reconnaître les différents examens d’imagerie (type, fenêtre, séquences, incidences, injection).
Item, hiérarchisation des connaissances
ITEM 287 – Diverticulose colique et diverticulite aiguë du sigmoïde
| Rang | Rubrique | Intitulé | Descriptif |
| Définition | Diverticule, diverticulose, diverticulite, diverticulite compliquée (abcès, péritonite, fistule, hémorragie, sténose) | ||
| Prévalence, épidémiologie | Connaître l’incidence de la diverticulose et histoire naturelle* | ||
| Éléments physiopathologiques | Connaître la physiopathologie de la maladie diverticulaire et de ses complications* | ||
| Diagnostic positif | Savoir diagnostiquer diverticule, diverticulose, diverticulite, diverticulite compliquée* | ||
| Diagnostic positif | Connaître le diagnostic différentiel de diverticule, diverticulose, diverticulite, diverticulite compliquée* | ||
| Identifier une urgence | Identifier les signes de gravité des deux urgences compliquant une maladie diverticulaire : une péritonite perforée et une hémorragie diverticulaire | ||
| Étiologie | Connaître les facteurs de risque de complication* | AINS… | |
| Examens complémentaires | Connaître l’indication des examens d’imagerie dans la maladie diverticulaire et ses complications | Diagnostic fortuit, aucun examen ne doit être réalisé pour rechercher une diverticulose qui n’est qu’une anomalie anatomique, sans symptôme | |
| Examens complémentaires | Connaître la sémiologie radiologique de la diverticulose et de ses complications | ||
| Prise en charge | Connaître les principes de la prise en charge médicale d’une diverticulite aiguë non compliquée* | Antalgiques, pas d’antibiothérapie systématique en l’absence d’abcès | |
| Prise en charge | Connaître la prise en charge médicale initiale d’une diverticulite aiguë compliquée* | Antalgiques, si abcès antibiothérapie et drainage | |
| Prise en charge | Connaître les indications d’une prise en charge chirurgicale d’une maladie diverticulaire et de ses complications* | ||
I. Généralités

Les diverticules prédominent largement sur le côlon sigmoïde mais peuvent siéger sur l’ensemble du côlon. Une diverticulose colique est la présence de diverticules (souvent nombreux) sans aucune symptomatologie clinique. La diverticulose va pouvoir se compliquer de diverticulite ou d’hémorragie d’origine diverticulaire.
II. Stratégie d’exploration en imagerie
Le diagnostic de diverticulose est un diagnostic fortuit. Aucun examen ne doit être réalisé pour rechercher une diverticulose qui n’est qu’une anomalie anatomique, sans symptôme.
Le diagnostic de diverticulite doit être affirmé par un scanner. Une fois le diagnostic établi, l’objectif sera de rechercher les complications en scanner qui seront gradées selon la classification de Hinchey (tableau 6.1), afin de guider la prise en charge thérapeutique.

Tableau 6.1 Classification de Hinchey.

| Stade 1 | Phlegmon ou abcès péricolique | Traitement médical (antibiothérapie) et drainage radiologique des abcès si cela est techniquement faisable Si évolution défavorable et/ou échec ou impossibilité de drainage : traitement chirurgical |
| Stade 2 | Abcès pelvien, abdominal ou rétropéritonéal (péritonite localisée) | |
| Stade 3 | Péritonite généralisée purulente | Traitement chirurgical |
| Stade 4 | Péritonite fécale |
Source : CERF, CNEBMN, 2022.
En cas de suspicion d’hémorragie diverticulaire, un scanner injecté devra être réalisé en période hémorragique, afin de confirmer le diagnostic, d’affirmer l’hémorragie active et de guider l’embolisation ou la chirurgie si l’embolisation n’est pas disponible dans le centre où est hospitalisé le patient.

Dans les formes hémorragiques mineures, le scanner a une faible sensibilité et le recours à la rectosigmoïdoscopie est nécessaire.
III. Sémiologie
A. Diverticulose
La diverticulose est visible sous forme de petites images d’addition à développement exophytique sur la paroi du côlon. Les diverticules peuvent contenir de l’air, des matières ou un coprolithe (selles calcifiées). La paroi du tube digestif peut être un peu épaissie mais il n’existe aucune infiltration de la graisse en regard des diverticules.
B. Diverticulite
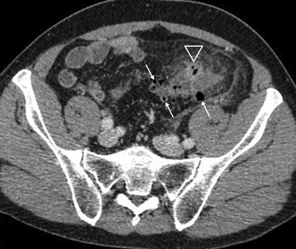
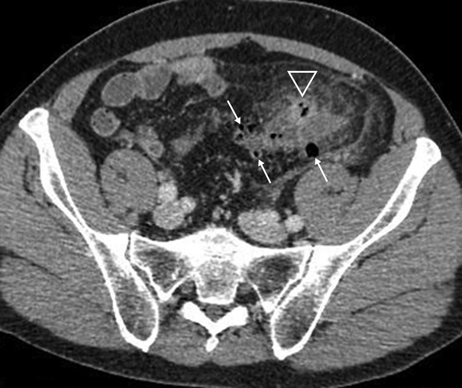
Les signes que l’on peut rencontrer dans la diverticulite sont l’épaississement de la paroi du côlon diverticulaire et/ou d’un diverticule, et, surtout, l’infiltration de la graisse autour du diverticule et autour de la paroi colique (figure 6.1). La présence d’adénopathies inflammatoires est possible ainsi qu’un épanchement intrapéritonéal réactionnel modéré.


Fig. 6.1 Diverticulite non compliquée.
Scanner au temps portal après injection intraveineuse de produit de contraste iodé. La paroi du côlon est épaissie. Il existe plusieurs diverticules (flèches fines). L’infiltration de la graisse périsigmoïdienne prédomine autour du diverticule antérieur (tête de flèche).
Source : CERF, CNEBMN, 2022.
C. Complications de la diverticulite
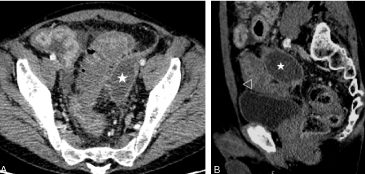
- La perforation du diverticule se manifeste par la présence d’air en dehors du tube digestif (pneumopéritoine) à proximité (figure 6.2) ou à distance du diverticule.


Fig. 6.2 Diverticulite compliquée d’une perforation (Hinchey 1).
Scanner au temps portal après injection de produit de contraste iodé. La paroi du côlon sigmoïde est très épaissie (∗). Il existe une infiltration de la graisse périsigmoïdienne en avant de celui-ci (flèches fines). La présence d’air en dehors du tube digestif (flèche épaisse) traduit la perforation de ce dernier, restant, dans ce cas, à proximité du diverticule.
Source : CERF, CNEBMN, 2022.
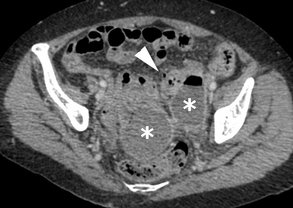
- L’abcès périsigmoïdien (figure 6.3) correspond à une collection de contenu liquidien ou hydroaérique, à parois rehaussées, à proximité du côlon diverticulaire.
- La péritonite purulente ou stercorale se manifeste par un épanchement intrapéritonéal diffus liquidien ou contenant un granité de matières fécales, avec un rehaussement inflammatoire des feuillets du péritoine.
- La pyléphlébite se manifeste par une veine mésentérique inférieure dilatée, non opacifiée par le produit de contraste intraveineux. Il faut suivre l’extension de cette thrombose qui peut atteindre le tronc porte. Des emboles septiques peuvent migrer dans le foie et être à l’origine d’abcès hépatiques.


Fig. 6.3 Diverticulite compliquée d’un abcès (Hinchey 2).
Scanner au temps portal après injection de produit de contraste iodé. Collection extradigestive pelvienne de contenu hydroaérique (∗) au contact d’un sigmoïde diverticulaire (tête de flèche), en rapport avec une diverticulite compliquée d’abcès périsigmoïdien.
Source : CERF, CNEBMN, 2022.
D. Diagnostic différentiel
Le principal diagnostic différentiel de la diverticulite est le cancer colique qui peut également être révélé sous une forme compliquée. En cas de doute, la coloscopie doit être envisagée.
Points clés
- Le scanner est indiqué devant toute suspicion de diverticulite pour confirmer le diagnostic.
- Il permet de rechercher les complications classées selon Hinchey.
- Il permet de guider le drainage des diverticulites abcédées (Hinchey 1 et 2).
Référence

Haute Autorité de Santé. Prise en charge médicale et chirurgicale de la diverticulité colique. Novembre 2017.
