Plan de chapitre
ITEM 334 – Prise en charge immédiate pré-hospitalière et à l’arrivée à l’hôpital, évaluation
des complications chez : (…) un traumatisé crânien ou cranio-encéphalique. 393
I. Généralités
II. Stratégie d’exploration en imagerie
III. Sémiologie
– A. Hématome extradural à la phase aiguë
– B. Hématome sous-dural à la phase aiguë
– C. Contusions cérébrales
– D. Lésions axonales diffuses
Situations de départ
- 12 Nausées.
- 13 Vomissements.
- 114 Agitation.
- 118 Céphalée.
- 119 Confusion mentale/désorientation.
- 120 Convulsions.
- 121 Déficit neurologique sensitif et/ou moteur.
- 138 Anomalie de la vision.
- 172 Traumatisme crânien.
- 176 Traumatisme sévère.
- 226 Découverte d’une anomalie du cerveau à l’examen d’imagerie médicale.
Item, hiérarchisation des connaissances
ITEM 334 – Prise en charge immédiate pré-hospitalière et à l’arrivée à l’hôpital, évaluation des complications chez : (…) un traumatisé crânien ou cranio-encéphalique
| Rang | Rubrique | Intitulé | Descriptif |
| Définition | Définition d’un traumatisé crânien léger, modéré et grave* | En fonction du score de Glasgow | |
| Éléments physiopathologiques | Connaître les principes physiopathologiques des lésions cérébrales traumatiques* | Débit sanguin cérébral, pression de perfusion cérébrale, HTIC, lésions primaires et secondaires | |
| Diagnostic positif | Savoir suspecter et diagnostiquer un traumatisme crânien* | Clinique traumatologique, évaluation de l’état de conscience, traumatismes crâniens mineur, modéré, grave | |
| Identifier une urgence | Identifier le traumatisé crânien grave* | Savoir calculer le score de Glasgow, dépister de signes de localisation : motricité oculaire intrinsèque et extrinsèque, réponse motrice à la stimulation douloureuse | |
| Identifier une urgence | Identifier le traumatisé crânien nécessitant une évaluation spécialisée* | Notion de perte de connaissance, traitement associé, terrain, circonstances | |
| Examens complémentaires | Savoir demander à bon escient l’examen d’imagerie pertinent devant un traumatisme crânien à la phase aiguë | Indications de la tomodensitométrie cérébrale | |
| Contenu multimédia | Exemple de TDM d’hématome extradural, sous-dural et contusions cérébrales | ||
| Prise en charge | Connaître les principes de prise en charge des traumatisés crâniens* | Symptomatique, ACSOS, neurochirurgie | |
I. Généralités

Les principales lésions intracrâniennes post-traumatiques sont : l’hématome extradural, l’hématome sous-dural, la contusion cérébrale œdémato-hémorragique et les lésions axonales hémorragiques diffuses. Ces lésions peuvent être associées. L’hématome extradural aigu est le plus souvent évacué en urgence.
II. Stratégie d’exploration en imagerie

Les radiographies standards n’ont pas d’indication dans le bilan d’un traumatisme crânien.
Le scanner encéphalique sans injection de produit de contraste iodé est l’examen clé du bilan lésionnel au stade aigu. Il doit être réalisé en urgence en présence de signes cliniques de gravité.
Le scanner doit être analysé en fenêtres parenchymateuse et osseuse.
L’IRM est peu adaptée au bilan lésionnel d’un traumatisme crânien en urgence ; en revanche, elle présente un intérêt pronostique à distance du traumatisme crânien et en cas de discordance clinico-radiologique après l’examen tomodensitométrique.
III. Sémiologie
A. Hématome extradural à la phase aiguë

C’est une collection hyperdense au scanner, en forme de lentille biconvexe sous la table osseuse interne (figure 58.1), dont l’extension est limitée par les sutures mais pas par les sinus duraux, et qui est souvent associée à une fracture crânienne en regard. Elle est fréquemment de topographie temporopariétale.
L’effet de masse produit est variable, apprécié par le déplacement des ventricules et de la ligne médiane. Les signes d’engagement temporal ou sous-falcoriel (cf. chapitre 55) en représentent la gravité.


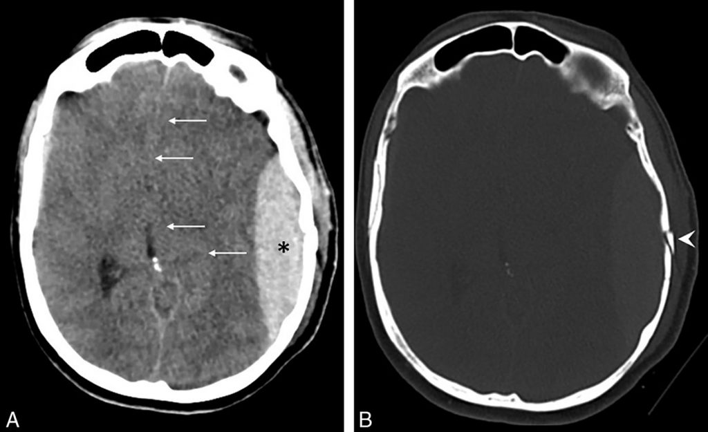
Fig. 58.1. Scanner cérébral. Hématome extradural temporopariétal gauche.
Scanner sans injection en coupe axiale en fenêtre parenchymateuse (A) et osseuse (B) : hyperdensité spontanée sous la table osseuse, en forme de lentille biconvexe (*), refoulant le parenchyme cérébral et responsable d’un effet de masse avec effacement et déplacement du ventricule latéral gauche (flèches). Fracture crânienne associée (tête de flèche).
Source : CERF, CNEBMN, 2022.
B. Hématome sous-dural à la phase aiguë
C’est une collection hyperdense en scanner en forme de croissant, souvent étendue, sous la table osseuse (figure 58.2), mais parfois le long de la faux du cerveau ou de la tente du cervelet, limité par les sinus duraux intracrâniens.


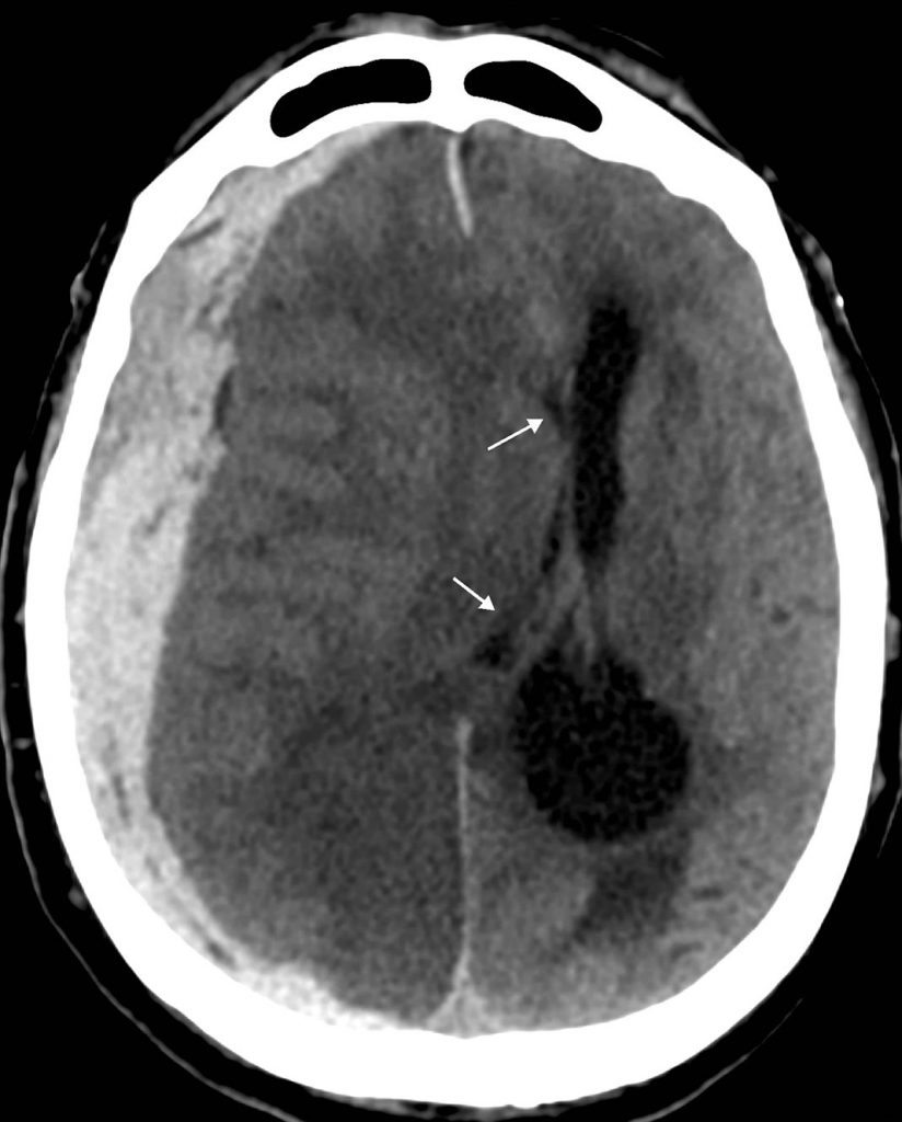
Fig. 58.2. Scanner cérébral. Hématome sous-dural aigu avec signes d’engagement sous-falcoriel.
Scanner sans injection en coupe axiale : volumineuse collection hyperdense de la convexité droite refoulant le parenchyme cérébral et responsable d’un important effet de masse avec déplacement des ventricules latéraux et des structures médianes (flèches).
Source : CERF, CNEBMN, 2022.
L’effet de masse est variable, pouvant aller jusqu’à des signes d’engagement temporal ou sous-falcoriel (cf. chapitre 55).
C. Contusions cérébrales
Les contusions cérébrales se traduisent en scanner par des lésions corticales et sous-corticales, hétérogènes, hypodenses et/ou hyperdenses (lésions œdémato-hémorragiques).
Elles sont de topographie caractéristique : frontobasale, temporobasale, temporopolaire, contrecoup (localisation diamétralement opposée au point d’impact) ou en regard d’une embarrure (figure 58.3), et sont associées à un effet de masse variable.


Fig. 58.3. Scanner cérébral. Fracture-embarrure avec hématome sous-dural et contusion cérébrale œdémato-hémorragique.
Scanner sans injection en coupe axiale en fenêtre parenchymateuse (A) et osseuse (B). La fracture de l’os temporal gauche est déplacée (flèche) et associée à une brèche ostéodurale compte tenu de la présence de bulles d’air (hypodensités arrondies) au niveau de l’hématome sous-dural en regard. Au même niveau, il existe une lésion intracérébrale hétérogène avec hypo- et hyperdensités correspondant à une contusion œdémato-hémorragique (flèches).
Source : CERF, CNEBMN, 2022.
D. Lésions axonales diffuses

Ce sont des lésions punctiformes localisées à la jonction substance grise/substance blanche et parfois au niveau des noyaux gris centraux. Elles sont souvent œdémato-hémorragiques mais des lésions œdémateuses pures peuvent exister, en particulier au sein du corps calleux, et sont alors de plus mauvais pronostic.
Elles sont visualisées de façon inconstante en scanner sous la forme de petites lésions (pétéchies) hémorragiques hyperdenses. Elles sont surtout mises en évidence en IRM sous la forme de petites lésions œdémateuse ou hémorragiques (hyposignaux en séquence pondérée en T2*).
Points clés
- Bilan lésionnel en phase aiguë en scanner.
- Hématome extradural : lentille biconvexe hyperdense sous la voûte avec effet de masse.
- Hématome sous-dural aigu : croissant hyperdense sous la voûte avec effet de masse.
- Rechercher des signes d’engagement cérébral.
