Plan de chapitre
ITEM 244 – Adénome hypophysaire
ITEM 42 – Aménorrhée
I. Généralités
II. Stratégie d’exploration en imagerie
III. Sémiologie
– A. Microadénome en IRM
– B. Macroadénome en IRM
Situations de départ
- 94 Troubles du cycle menstruel.
- 118 Céphalée.
- 138 Anomalie de la vision.
Items, hiérarchisation des connaissances
ITEM 244 – Adénome hypophysaire
| Rang | Rubrique | Intitulé | Descriptif |
| Diagnostic positif | Identifier les éléments d’un syndrome tumoral neurohypohysaire* | Céphalées, anomalies du champ visuel, hypertension intracrânienne | |
| Diagnostic positif | Identifier les signes cliniques orientant vers une hypersécrétion antéhypophysaire* | Signes d’hyperprolactinémie, syndrome dysmorphique lié à l’excès de GH, syndrome de Cushing ou comorbidité révélatrice d’une hypersécrétion, comme l’apnée du sommeil, l’HTA | |
| Diagnostic positif | Identifier un tableau d’insuffisance antéhypophysaire associée* | Signes cliniques orientant vers une insuffisance corticotrope, thyréotrope, gonadotrope | |
| Diagnostic positif | Connaître les signes d’un diabète insipide* | Polyurie hypo-osmotique et polydipsie | |
| Examens complémentaires | Savoir prescrire un bilan hormonal antéhypophysaire « statique »* | Prolactine, IGF-1,cortisol à 8 h et ACTH à 8 h, FSH, LH, 17β-estradiol (F) ou testostérone (H) | |
| Examens complémentaires | Connaître les indications de l’IRM hypophysaire en fonction du contexte clinique et biologique | Ne pas faire faire d’IRM systématique pour prolactinémie < 50 ng/ml | |
| Diagnostic positif | Rechercher les autres causes d’hyperprolactinémie si un adénome à prolactine est suspecté* | Connaître les hyperprolactinémies iatrogènes et fonctionnelles |
ITEM 42 – Aménorrhée
| Rang | Rubrique | Intitulé | Descriptif |
| Définition | Savoir définir une aménorrhée et une spanioménorrhée* | Aménorrhée primaire ou secondaire, spanioménorrhée | |
| Éléments physiopathologiques | Connaître la régulation de l’axe hypothalamo-hypophyso-ovarien* | ||
| Diagnostic positif | Démarche diagnostique devant une aménorrhée primaire ou secondaire* | ||
| Étiologie | Connaître les deux principaux diagnostics en cas d’absence d’utérus à l’échographie* | ||
| Étiologie | Connaître les deux principales causes d’aménorrhée secondaire d’origine utérine* | ||
| Étiologie | Connaître les principales causes d’insuffisance ovarienne* | Anomalies du caryotype, pré-mutation FRM1, auto-immunes, iatrogènes | |
| Étiologie | Connaître les principales causes d’insuffisance gonadotrope* | ||
| Étiologie | Connaître les principales causes d’aménorrhée avec hyperandrogénie* | ||
| Étiologie | Savoir diagnostiquer une aménorrhée hypothalamique fonctionnelle et en connaître les principales étiologies | ||
| Étiologie | Connaître les principales étiologies des hyperprolactinémies | ||
I. Généralités

Les adénomes hypophysaires sont des tumeurs bénignes du tissu antéhypophysaire. Les adénomes inférieurs à 10 mm sont appelés microadénomes, ceux supérieurs ou égaux à 10 mm sont des macroadénomes. Certains adénomes sécrètent en quantité anormalement élevée une ou plusieurs hormones antéhypophysaires, le plus fréquent étant l’adénome à prolactine révélé par une aménorrhée. Les macroadénomes peuvent entraîner une compression du chiasma optique avec troubles du champ visuel (hémianopsie bitemporale) et plus rarement une hydrocéphalie par compression du troisième ventricule.
II. Stratégie d’exploration en imagerie

L’IRM hypophysaire est l’examen clé du diagnostic d’adénome hypophysaire.
Des coupes fines sagittales et frontales sans et avec injection de produit de contraste doivent être réalisées.
III. Sémiologie
A. Microadénome en IRM

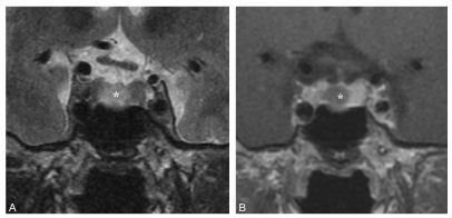
Le microadénome se présente sous la forme d’une lésion arrondie de petite taille (< 10 mm) siégeant souvent dans la partie latérale de l’antéhypophyse, sans ou avec peu d’effet de masse sur celle-ci (figure 51.1). Il présente parfois un hypersignal en T2 bien visible et prend le contraste de façon moins intense que l’hypophyse normale.


Fig. 51.1. Microadénomes hypophysaire.
IRM en coupes frontales centrées sur la région hypophysaire pondérées en T2 (A) et en T1 après injection de gadolinium (B). Formation arrondie intrasellaire latéralisée à droite (∗) en hypersignal en T2 et prenant moins le contraste que l’hypophyse saine.
Source : CERF, CNEBMN, 2022.
B. Macroadénome en IRM
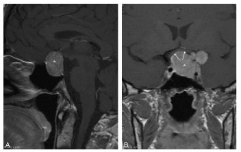
Le macroadénome se traduit par une masse intra- et extrasellaire de plus de 10 mm comprimant les structures adjacentes (figure 51.2).


Fig. 51.2. Macroadénome hypophysaire.
IRM en coupes sagittale (A) et frontale (B) pondérées en T1 après injection de gadolinium. Masse intra- et extrasellaire comprimant les structures adjacentes, avec déplacement du chiasma optique vers le haut (flèches). À noter sur la coupe frontale l’extension latérale gauche de ce macroadénome dans le sinus caverneux.
Source : CERF, CNEBMN, 2022.
Une extension suprasellaire est fréquente, pouvant comprimer le chiasma optique. Cette extension est bien analysée en coupes frontales et donne un aspect caractéristique en « brioche ». Une extension latérale est possible dans le sinus caverneux.
Points clés
- Diagnostic et exploration d’un adénome : IRM.
- Microadénome : < 10 mm, lésion arrondie moins rehaussée que l’hypophyse saine.
- Macroadénome : > 10 mm, masse intra- et extrasellaire comprimant les structures adjacentes.
- En cas de macro-adénome, rechercher une compression du chiasma optique sur les coupes frontales.
