Plan de chapitre
ITEM 224 – Hypertension artérielle de l’adulte
ITEM 263 – Néphropathie vasculaire
ITEM 264 – Insuffisance rénale chronique chez l’adulte et l’enfant
I. Généralités
II. Stratégie d’exploration en imagerie
– A. Diagnostic
– B. Radiologie interventionnelle
– C. Suivi post-thérapeutique
III. Sémiologie
Situations de départ
- 42 Hypertension artérielle.
- 199 Créatinine augmentée.
- 282 Prescription médicamenteuse, consultation de suivi et éducation d’un patient hypertendu.
- 290 Suivi d’un patient en insuffisance rénale chronique.
Items, hiérarchisation des connaissances
ITEM 224 – Hypertension artérielle de l’adulte
| Rang | Rubrique | Intitulé | Descriptif |
| Définition | Définition de l’HTA * | Définitions HAS et SFHTA (seuils : consultation, MAPA, automesure, grades de sévérité) | |
| Prévalence, épidémiologie | Épidémiologie de l’HTA, HTA facteur de risque cardiovasculaire majeur * | Prévalence, liens (âge, obésité, diabète…), complications cardiovasculaires, répartition HTA essentielle et secondaire | |
| Éléments physiopathologiques | Physiopathologie de l’HTA | Principaux mécanismes (rénine ou volo-dépendants), facteurs environnementaux | |
| Diagnostic positif | Mesure de la pression artérielle * | Connaître les méthodes de mesure de la PA (consultation, automesure, MAPA) et interpréter | |
| Diagnostic positif | Évaluation initiale d’un patient hypertendu | Circonstances de découverte, interrogatoire, risque cardiovasculaire, examen clinique | |
| Examens complémentaires | Examens complémentaires de première intention | Bilan biologique minimal, ECG | |
| Suivi et/ou pronostic | Complications de l’HTA, retentissement sur les organes cibles* | Neurosensorielles, cardiovasculaires, rénales | |
| Diagnostic positif | Connaître les signes d’orientation en faveur d’une HTA secondaire* | Savoir mener l’examen clinique et prescrire les examens complémentaires permettant d’évoquer une HTA secondaire | |
| Étiologie | Connaître les principales causes d’HTA secondaire | Néphropathies parenchymateuses, HTA rénovasculaire, causes endocriniennes, coarctation de l’aorte… | |
| Diagnostic positif | Connaître la démarche diagnostique en cas de suspicion d’HTA secondaire | Clinique, biologie, imagerie | |
| Identifier une urgence | Reconnaître une urgence hypertensive et une HTA maligne* | Définition d’une crise hypertensive et d’une urgence hypertensive | |
| Définition | Définition d’une HTA résistante* | Connaître les facteurs de résistance (non-observance, sel, syndrome d’apnées du sommeil, médicaments ou substances hypertensive…) | |
| Prise en charge | Connaître les objectifs de la consultation d’annonce* | Intérêts et objectifs de la prise en charge, modification du style de vie, prise en charge des autres facteurs de risque | |
| Prise en charge | Connaître la stratégie du traitement médicamenteux de l’HTA* | Traitement initial, classes thérapeutiques, adaptation, surveillance, chiffres cible de PA | |
| Prise en charge | Connaître les principaux effets indésirables et contre-indications des traitements antihypertenseurs* | ||
| Prise en charge | Connaître les situations cliniques particulières pouvant orienter le choix du traitement antihypertenseur* | ||
| Prise en charge | Connaître les particularités du traitement antihypertenseur du sujet âgé de plus de 80 ans* | ||
| Prise en charge | Prise en charge d’une urgence hypertensive* | ||
| Suivi et/ou pronostic | Plan de soins à long terme et modalités de suivi d’un patient hypertendu* | Savoir évaluer l’efficacité du traitement, la tolérance au traitement et l’observance du patient | |
| Prise en charge | Principes de prise en charge d’une HTA secondaire | HTA rénovasculaire et endocriniennes | |
| Définition | Connaître la définition de l’HTA chez l’enfant et l’existence de normes pédiatriques* | ||
| Diagnostic positif | Mesure de la PA chez l’enfant* | Connaître les indications de mesure de la PA chez l’enfant (examen systématique annuel après 3 ans, en cas de FDR) et en connaître les modalités (brassards adaptés, abaques pour l’âge et le sexe) | |
| Étiologie | Connaître les principales causes d’HTA chez l’enfant* | ||
ITEM 263 – Néphropathie vasculaire
| Rang | Rubrique | Intitulé | Descriptif |
| Définition | Connaître les différents types de néphropathies vasculaires* | ||
| Définition | Connaître le syndrome de microangiopathie thrombotique* | ||
| Étiologie | Connaître les causes de microangiopathie thrombotique* | ||
| Définition | Connaître la définition du SHU* | Connaître les signes de SHU typique notamment chez l’enfant (après diarrhées sanglantes, fatigue, anémie…) | |
| Diagnostic positif | Diagnostiquer le SHU typique* | ||
| Diagnostic positif | Savoir évoquer le diagnostic de sténose de l’artère rénale* | ||
| Diagnostic positif | Connaître les deux principales causes de sténose de l’artère rénale* | Athéromateuse et fibrodysplasique | |
| Diagnostic positif | Connaître la démarche diagnostique d’une sténose de l’artère rénale | Écho-doppler : informations hémodynamiques (présence et pourcentage de sténose) et morphologiques (taille des reins) ; angio-TDM/angio-IRM : nombre d’artères rénales, localisation des sténoses, étude morphologique des reins et de l’aorte (état de la paroi) et des axes iliaques | |
| Définition | Connaître l’infarctus rénal, la sténose de l’artère rénale, la néphroangiosclérose bénigne, la maladie des embols de cristaux de cholestérol* | ||
| Diagnostic positif | Diagnostiquer l’infarctus rénal, la néphroangiosclérose bénigne, la maladie des embols de cristaux de cholestérol* | ||
ITEM 264 – Insuffisance rénale chronique chez l’adulte et l’enfant
| Rang | Rubrique | Intitulé | Descriptif |
| Définition | Critères définissant la maladie rénale chronique (MRC)* | IRC terminale et décès | |
| Définition | Connaître le risque évolutif de l’insuffisance rénale chronique (IRC)* | ||
| Définition | Savoir quantifier une protéinurie* | Ratio albuminurie/créatininurie et protéinurie/créatininurie | |
| Prévalence, épidémiologie | Connaître l’incidence et la prévalence d’une IRC terminale* | Population à risque | |
| Prévalence, épidémiologie | Principales causes d’IRC terminales. Principales causes de néphropathies interstitielles chroniques* | ||
| Diagnostic positif | Savoir identifier les éléments de retentissement clinique de l’IRC chez l’adulte* | ||
| Diagnostic positif | Connaître les différents stades de la MRC* | ||
| Diagnostic positif | Estimation de la progression de la maladie rénale* | Déclin physiologique, modéré ou rapide | |
| Diagnostic positif | Connaître les causes d’aggravation de la MRC* | Rechercher une cause d’IRA surajoutée, rupture de la pente de progression | |
| Diagnostic positif | Connaître les arguments en faveur d’une origine obstructive d’une MRC | Clinique et radiologique | |
| Diagnostic positif | Connaître les arguments en faveur d’une origine parenchymateuse d’une MRC* | Sémiologie rénale, analyse de la protéinurie et du sédiment urinaire, atteinte extrarénale, type de néphropathie parenchymateuse | |
| Éléments physiopathologiques | Savoir évoquer une néphropathie héréditaire* | Polykystose, Alport | |
| Prise en charge | Connaître la conduite à tenir en fonction du stade de la MRC* | ||
| Prise en charge | Connaître les facteurs de progression de la MRC* | En dehors du traitement étiologique : HTA et protéinurie | |
| Prise en charge | Connaître les objectifs et les moyens de néphroprotection* | PA < 130/80 si albuminurie > 30 mg/24 heures (ou équivalent) ; PA < 140/90 sinon et PA > 110 mm Hg. Protéinurie < 0,5 g/g. Éviter l’injection d’iode et les médicaments néphrotoxiques | |
| Prise en charge | Conditions d’introduction, utilisation et surveillance des bloqueurs du système rénine-angiotensine* | ||
| Prise en charge | Connaître les modalités de la restriction protidique* | ||
| Suivi et/ou pronostic | Connaître les complications cardiovasculaires | HTA précoce et volodépendate ; athérosclérose et athéromatose accélérées, atteintes cardiaques | |
| Suivi et/ou pronostic | Connaître les caractéristiques des troubles du métabolisme phosphocalcique* | Hyperparathyroïdie secondaire, hypocalcémie, déficit en vitamine D, hyperphosphatémie, acidose métabolique ; ostéodystrophie est une combinaison d’ostéomalacie et d’ostéite fibreuse | |
| Suivi et/ou pronostic | Connaître les mécanismes de l’acidose métabolique au cours de l’IRC et sa prévention* | ||
| Suivi et/ou pronostic | Connaître les conséquences de l’acidose métabolique* | ||
| Prise en charge | Principes de la dialyse (hémodialyse ou dialyse péritonéale) : épuration et échanges au travers d’une membrane synthétique (dialyseur en hémodialyse) ou de la membrane péritonéale en dialyse péritonéale* | Notion de durée de dialyse nécessaire à la réalisation des échanges et à l’épuration et au contrôle des volumes liquidiens et des anomalies métaboliques induites par l’IRC | |
I. Généralités

La sténose de l’artère rénale peut entraîner hypertension artérielle résistante au traitement médical, insuffisance rénale évolutive ainsi qu’œdème aigu du poumon à répétition ou d’autres manifestations de détresse cardiovasculaire (angor instable, AVC).
Les principales causes en sont :
- les lésions athéromateuses (> 90 % dans la population adulte) : dans ce cas, l’atteinte est proximale et prédomine au niveau de l’ostium ou du tronc proximal ;
- les sténoses dysplasiques (plus typique parmi les jeunes femmes) : dans ce cas, la lésion est plus distale sur l’artère, intéressant le tronc ou les branches de division.
II. Stratégie d’exploration en imagerie
A. Diagnostic
1. Écho-doppler

La détection de la sténose de l’artère rénale repose sur l’écho-doppler des artères rénales et des reins, qui donne des informations hémodynamiques sur la présence et le pourcentage de sténose, et morphologiques sur la taille des reins.
2. Angioscanner et angio-IRM
On préférera l’angio-IRM à l’angioscanner en cas d’altération de la fonction rénale.
Ils sont indiqués :
- en cas d’échec de l’écho-doppler (obésité) ;
- en cas de sténose détectée, pour préciser le nombre d’artères rénales, la localisation des sténoses, l’étude morphologique des reins et de l’aorte (état de la paroi) et des axes iliaques ; ces examens sont très utiles avant l’angioplastie.
3. Scintigraphie rénale dynamique avec test au captopril (IEC)
Elle permet le cas échéant de poser le diagnostic d’hypertension artérielle rénovasculaire (c’est-à-dire d’imputer la responsabilité de l’HTA à la sténose de l’artère rénale).
B. Radiologie interventionnelle
L’angioplastie est le traitement de première intention des sténoses de l’artère rénale hémodynamiquement significative (c’est-à-dire de plus de 50 à 70 % du calibre de l’artère), en association avec :
- une HTA rénovasculaire résistant au traitement médical bien conduit ;
- une HTA maligne ;
- des œdèmes aigus du poumon flash ;
- une insuffisance rénale évolutive sans autre cause identifiée.
L’angioplastie est faite par dilatation simple au ballon. En cas de sténose d’origine athéromateuse, l’angioplastie au ballon peut être associée à la pose d’un stent.
Il n’y a pas d’indication au traitement des sténoses rénales asymptomatiques.
C. Suivi post-thérapeutique
Après traitement endovasculaire, le patient sera surveillé par écho-doppler et suivi clinique.
III. Sémiologie
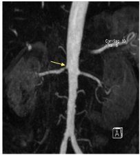
Les lésions athéromateuses (figure 37.1) se caractérisent par des sténoses :
- ostiales ou para-ostiales ;
- courtes ;
- volontiers asymétriques ;
- volontiers associées à des lésions athéromateuses de l’aorte.


Fig. 37.1 Exemple d’angio-IRM montrant une sténose ostiale à l’origine de l’artère rénale droite associée à des irrégularités de calibre de l’aorte dans ce cas de sténose athéromateuse.
Source : CERF, CNEBMN, 2022.
Les lésions de dysplasie fibromusculaire (figure 37.2) se caractérisent par des sténoses :
- tronculaires, à distance de l’ostium ;
- sous la forme de diaphragmes multiples ;
- séparées par des zones d’ectasies, donnant à l’ensemble un aspect en « chapelet » ou en « collier de perles ».


Fig. 37.2 Exemple d’artériographie montrant une sténose tronculaire dysplasique de l’artère rénale droite caractérisée par une succession de rétrécissements en diaphragme et d’ectasies à l’origine d’un aspect en « chapelet ».
Source : CERF, CNEBMN, 2022.
Points clés
- La recherche de sténoses des artères rénales repose sur des critères cliniques précis.
- La détection est assurée par l’écho-doppler, complété éventuellement par une angio-IRM ou un angioscanner.
- L’angioplastie percutanée est le traitement de première intention des sténoses des artères rénales responsables, en particulier, d’une hypertension résistant à un traitement optimisé et bien conduit.
