Plan de chapitre
ITEM 314 – Tumeurs vésicales
I. Généralités
II. Stratégie d’exploration en imagerie
– A. Diagnostic de tumeur vésicale
– B. Bilan d’extension
– C. Suivi post-thérapeutique
III. Sémiologie
– A. Diagnostic de tumeur vésicale
– B. Diagnostic d’extension
Situations de départ
- 17 Amaigrissement
- 21 Asthénie
- 102 Hématurie
Item, hiérarchisation des connaissances
ITEM 314 – Tumeurs vésicales
| Rang | Rubrique | Intitulé | Descriptif |
| Définition | Connaître le principal type histologique de tumeur vésicale* | Carcinome urothélial | |
| Prévalence, épidémiologie | Connaître l’épidémiologie et les facteurs de risque des tumeurs vésicales* | Incidence et prévalence, énumérer les principaux facteurs de risque. L’intoxication tabagique est le principal facteur de risque, il multiplie par 3 le risque de tumeur de la vessie | |
| Prévalence, épidémiologie | Connaître les principales lésions tissulaires précancéreuses* | ||
| Étiologie | Connaître les expositions professionnelles prédisposantes | Carcinogènes industriels, la découverte d’une tumeur de la vessie doit faire évoquer systématiquement une exposition professionnelle | |
| Diagnostic positif | Connaître les signes fonctionnels (hématurie et autres signes fonctionnels) révélateurs d’une tumeur de vessie et les anomalies de l’examen clinique associées* | L’hématurie macroscopique : c’est le signe révélateur le plus fréquent (80 %). Toute hématurie microscopique ou macroscopique doit faire rechercher une tumeur de la vessie (mais aussi d’un rein ou d’un uretère). Les signes irritatifs vésicaux (pollakiurie, urgenturie, brûlures mictionnelles), moins fréquents (20 %), doivent faire évoquer le diagnostic s’ils sont d’apparition récente et persistent après avoir éliminé une infection urinaire (ECBU) ; toucher rectal à la recherche d’un envahissement pelvien (blindage) ; palpation abdominale et lombaire : recherche d’une masse hypogastrique palpable correspondant à une tumeur volumineuse ; recherche de douleurs lombaires en rapport avec une obstruction urétérale ; adénopathies (sus-claviculaires) ; signes cliniques d’anémie, de dénutrition ; palpation des zones douloureuses osseuses précisant leur localisation précise ; auscultation pulmonaire | |
| Diagnostic positif | Connaître l’indication d’une résection trans-urétrale de vessie* | Diagnostic positif anatomopathologique ; Pronostique distingue TVNIM et TVIM ; Thérapeutique en cas de TVNIM | |
| Diagnostic positif | Stratégie des examens complémentaires : cytologie urinaire et cystoscopie* | Sa normalité n’exclut pas le diagnostic de carcinome urothélial et ne dispense pas des contrôles endoscopiques itératifs ; sa positivité alerte sur la très probable présence d’une tumeur urothéliale qu’il convient de confirmer et de localiser dans la voie excrétrice urinaire | |
| Examens complémentaires | Connaître l’indication des examens d’imagerie d’une tumeur vésicale | ||
I. Généralités

La quasi-totalité des tumeurs de vessie est maligne, avec des degrés variables d’agressivité. Le cancer de la vessie fait partie des cancers fréquents (cinquième place et deuxième cancer urologique après celui de la prostate). Il atteint l’homme dans trois quarts des cas après l’âge de 60 ans. Le rôle du tabac et des hydrocarbures a été démontré. C’est une maladie professionnelle.
Lors du diagnostic initial, 70 % des tumeurs urothéliales sont superficielles, 25 % des tumeurs sont invasives et 5 % sont métastatiques. Parmi les tumeurs superficielles, 60 à 70 % vont récidiver et 10 à 20 % vont progresser vers des tumeurs qui envahissent le muscle en devenant potentiellement métastatiques.
Les tumeurs urothéliales sont volontiers multifocales, d’où la nécessité d’un bilan de tout l’axe urinaire.

Le diagnostic repose sur la cystoscopie puis sur la résection profonde de la tumeur vésicale (intervention chirurgicale et analyse histologique de la pièce : type histologique, stade et grade tumoral). Le grade et le stade tumoral sont les deux critères fondamentaux de la prise en charge ultérieure.
II Stratégie d’exploration en imagerie
A. Diagnostic de tumeur vésicale
Les premières étapes sont :
- la cytologie urinaire, dont la sensibilité varie avec le grade de la tumeur ;
- l’échographie par voie sus-pubienne : sa sensibilité est supérieure à 80 % pour les tumeurs de type polypoïde de plus de 5 mm. Elle ne détecte pas les lésions planes. Chez le patient obèse ou en cas de vessie peu remplie, la voie endorectale peut être utile ;
Une échographie négative ne permet pas d’éviter la cystoscopie.

Les étapes suivantes sont :
- la fibroscopie souple (cystoscopie), sous anesthésie locale, indiquée lorsque l’échographie est négative ou douteuse ;
- l’endoscopie rigide sous anesthésie, réalisée si le patient est adressé avec une échographie typique de tumeur vésicale, suivie d’une résection ;
- la TDM n’est indiquée qu’en cas d’hématurie massive empêchant la fibroscopie souple et rendant l’échographie inopérante.
B. Bilan d’extension
1. Extension viscérale et lymphatique

Ce bilan repose essentiellement sur la TDM thoraco-abdomino-pelvienne.
Son rôle est essentiel pour le bilan locorégional en première intention dans tous les cas, d’autant plus qu’il s’agit d’une volumineuse tumeur T1G3, avec un doute sur une sous-stadification. Elle étudie également l’ensemble de l’arbre urinaire.
La TDM réalise le bilan du haut appareil excréteur grâce à l’acquisition abdominopelvienne réalisée au temps excrétoire : c’est l’uroscanner. Elle objective les envahissements extravésicaux (T3-T4) et les adénomégalies iliaques et rétropéritonéales. Par ailleurs, elle détecte les métastases viscérales (hépatiques et pulmonaires). La recherche de localisations cérébrales est indiquée devant des manifestations cliniques.
L’IRM a aujourd’hui des indications très limitées, en particulier à partir d’un stade pT3b, si l’on suspecte une extension aux organes de voisinage ou à la paroi pelvienne.
2. Recherche de métastases osseuses

L’examen de première intention est la scintigraphie osseuse, indiquée en cas de signes cliniques. Une ponction-biopsie guidée sous TDM est à envisager en cas de doute, avec un enjeu de changement thérapeutique.
3. Recherche de métastases lymphatiques et viscérales

La TEP-TDM au 18FDG peut être proposée pour le bilan de l’extension extravésicale des tumeurs vésicales infiltrant le muscle avant cystectomie.
C. Suivi post-thérapeutique

La surveillance vésicale repose sur l’alternance de l’échographie et de la cystoscopie souple.
III. Sémiologie
A. Diagnostic de tumeur vésicale

En échographie (figure 33.1), c’est une masse échogène à protrusion intraluminale, à contours internes réguliers ou non, sessile ou pédiculée, fixée sur la paroi vésicale. Une vascularisation est parfois visible en mode doppler.


Fig. 33.1 Échographie par voie sus-pubienne (vessie pleine).
Tumeur vésicale unique (A) : masse pariétale unique à bord interne frangé (flèche) de la corne vésicale droite. Tumeur vésicale multifocale (B, flèches) : présence de plusieurs masses polypoïdes.
Source : CERF, CNEBMN, 2022.

Le diagnostic différentiel consiste en des caillots parfois associés (mobiles et non vascularisés en doppler).
En scanner (figure 33.2), c’est une masse identique, de densité tissulaire, se rehaussant après injection de produit de contraste, ce qui permet de les différencier des caillots.


Fig. 33.2 TDM avec injection de produit de contraste iodé et reconstruction frontale au temps portal (A) et au temps excréteur (B) après remplissage complet de la vessie.
Les tumeurs (flèches) sont multiples.
Source : CERF, CNEBMN, 2022.
B. Diagnostic d’extension
1. Extension viscérale

La TDM ne permet pas d’apprécier l’infiltration pariétale des tumeurs urothéliales. La longueur de l’extension dans l’uretère pelvien est un diagnostic facile.
La TDM ne détecte qu’un envahissement massif de la graisse de l’espace périvésical (figure 33.3).


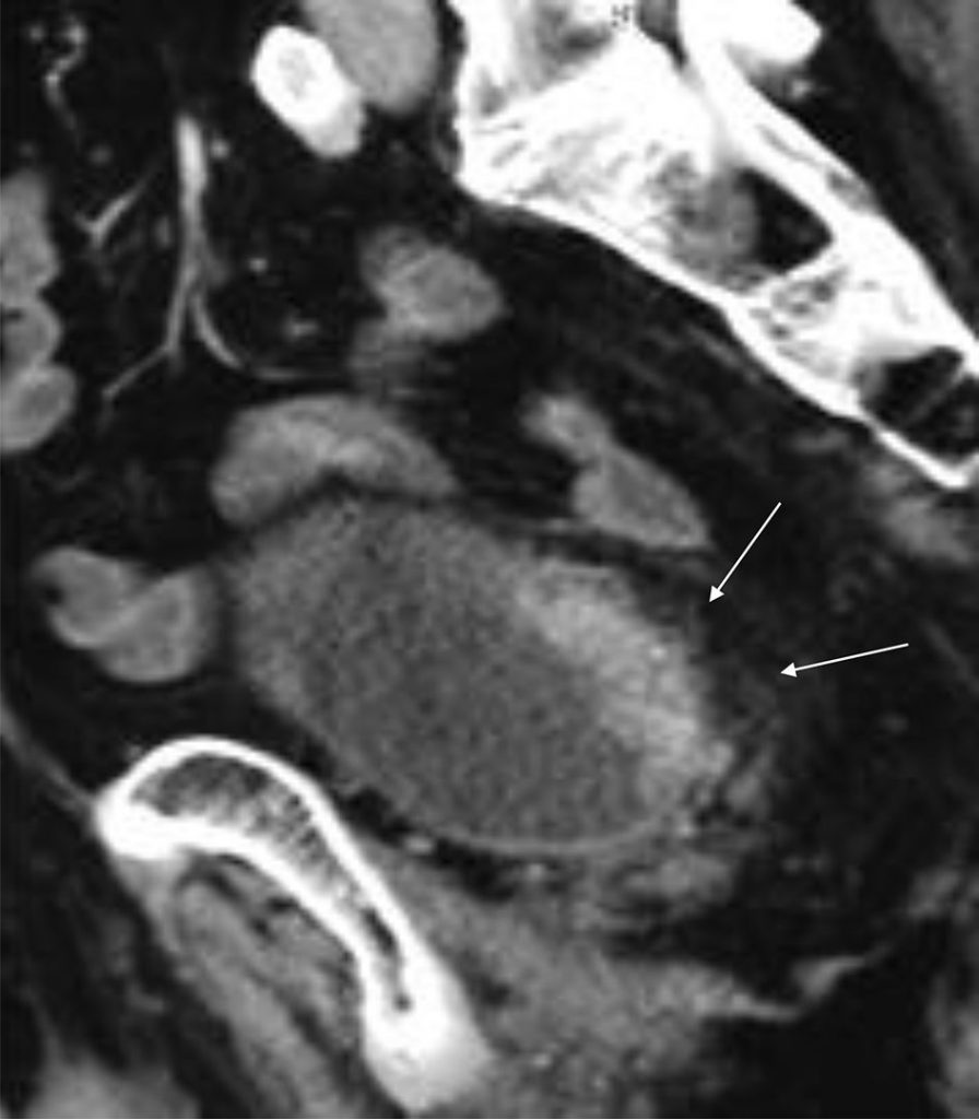
Fig. 33.3 TDM avec injection de produit de contraste iodé au temps portal et reconstruction sagittale oblique.
La tumeur est infiltrante car elle envahit la graisse périvésicale adjacente (flèches). Le rectosigmoïde n’est pas envahi.
Source : CERF, CNEBMN, 2022.

L’envahissement des structures digestives est difficile à identifier.
2. Extension lymphatique et à distance

Le critère diagnostique d’adénopathie métastatique pelvienne est identique en TDM et en IRM et fondé uniquement sur la taille (8 mm de plus petit axe dans le plan axial). Il s’agit d’une masse supplémentaire autour des pédicules vasculaires pelviens. La sensibilité globale de ces deux examens est médiocre. La TEP-TDM au 18FDG recherchera un foyer d’hypermétabolisme (figure 33.4).


Fig. 33.4 Images TEP au 18FDG réalisées pour bilan d’extension initial d’un cancer urothélial de vessie infiltrant le muscle.
Les images en coupe axiale TDM (A) et TEP-TDM (B) mettent en évidence un hypermétabolisme suspect d’une extension lymphatique iliaque externe droite (flèche), confirmée par le curage lymphatique
Source : CERF, CNEBMN, 2022.
Points clés
- Une échographie négative ne permet pas d’éviter la cystoscopie.
- La TDM (éventuellement l’IRM) peut détecter un envahissement massif de la graisse périvésicale et une atteinte des organes de voisinage, mais ne permet pas d’apprécier l’infiltration pariétale des tumeurs urothéliales. Le critère diagnostique d’adénopathie métastatique pelvienne est fondé uniquement sur la taille.
- La TEP au 18FDG peut être proposée pour le bilan de l’extension extravésicale des tumeurs vésicales infiltrant le muscle avant cystectomie.
