Plan de chapitre
ITEM 313 – Tumeurs du testicule
I. Généralités
II. Stratégie d’exploration en imagerie
– A. Bilan diagnostique et d’extension
– B. Suivi post-thérapeutique
III. Sémiologie
Situations de départ
- 17 Amaigrissement
- 21 Asthénie
- 100 Douleur testiculaire
- 108 Anomalie des bourses
Item, hiérarchisation des connaissances
ITEM 313 – Tumeurs du testicule
| Rang | Rubrique | Intitulé | Descriptif |
| Définition | Connaître les trois principaux types histologiques des tumeurs du testicule Tumeurs germinales du testicule* | Positionner les tumeurs germinales au sein de la classification des tumeurs testiculaires et avoir intégré la différence entre tumeur germinale seminomateuse et non-séminomateuse, ainsi que leur différentes composantes | |
| Prévalence, épidémiologie | Données épidemiologiques* | Connaître le rang de frequence au sein des tumeurs urologiques, l’âge de survenu moyen des séminomes et TGNS | |
| Étiologie | Histoire naturelle des tumeurs germinales du tesicule* | Croissance volumique locale, tropisme particulièrement lymphophile de l’extension et localisations métastatiques hématogènes preferentielles aux poumons | |
| Étiologie | Facteurs de risque des tumeurs germinales du testicule* | Connaître les facteurs de risque classiquement reconnus | |
| Diagnostic positif | Connaître les présentations cliniques des tumeurs du testicule* | Connaître les circonstances de découverte les plus frequentes d’une tumeur testiculaire | |
| Diagnostic positif | Examen clinique du testicule tumoral* | Savoir rechercher les signes cliniques locaux faisant évoquer une lésion tumorale maligne et mener l’examen général à la recherche d’une extension métastatique | |
| Diagnostic positif | Démarche diagnostique* | Décrire les principales étapes de démarche diagnostique du cancer testiculaire | |
| Examens complémentaires | Connaître l’examen de première intention : échographie scrotale | Échographie scrotale | |
| Examens complémentaires | Bilan d’extension : scanner TAP et les trois marqueurs sériques: AFP, HCG totales et LDH | ||
| Diagnostic positif | Tumeurs testiculaires benigne, tumeurs extratesticulaires | Diagnostic différentiel : savoir identifier une tuméfaction scrotale extratesticulaire, une tumeur kystique, une tumeur potentiellement bénigne, afin d’eviter une orchidectomie totale indue | |
| Suivi et/ou pronostic | PEC andrologique* | Appréhender l’importance d’une PEC andrologique concomittente, en particulier par l’orientation vers un CECOS (volet médico-légal) | |
I. Généralités

Les tumeurs du testicule sont majoritairement malignes. Parmi les types histologiques, les tumeurs germinales sont les plus fréquentes (95 %), réparties en séminomes purs (TGS) et tumeurs non séminomateuses (TGNS) dans 55 % et 45 % des cas respectivement. Les tumeurs germinales (TG) sont rares mais semble en augmentation. Le pic d’incidence se situe entre 30 et 34 ans, mais certaines tumeurs en particulier les TGS peuvent se déclarer plus tardivement. Les principaux facteurs de risque sont un antécédent personnel ou familial (premier degré) de tumeur testiculaire germinale, de cryptorchidie ou de tumeur testiculaire controlatérale, le syndrome de « dysgénésie » testiculaire (cryptorchidie, hypospadioas, hypofertilité).
Les dosages des marqueurs biologiques (AFP, hCG, LDH) sont recommandés systématiquement avant et après l’orchidectomie. Ils peuvent être normaux ou augmentés en fonction des formes histologiques et des associations tumorales (fréquentes) au sein d’une même lésion.
Le diagnostic, le plus souvent suspecté cliniquement devant la palpation d’une masse intratesticulaire, est authentifié en échographie et confirmé par l’examen anatomopathologique de la pièce d’orchidectomie qui est le traitement initial. Les différentes options de traitement complémentaire seront fonction du type histologique et du stade. Certaines lésions intratesticulaires non cliniquement palpables, de petite taille, sont diagnostiquées à l’échographie réalisée pour une autre raison (infertilité, douleur, traumatisme). La probabilité de bénignité est alors plus importante : il n’y a plus d’attitude dogmatique faisant indiquer une orchidectomie systématique en cas de découverte d’une petite lésion intratesticulaire. La biopsie diagnostique percutanée est toujours contre-indiquée.
II. Stratégie d’exploration en imagerie
A. Bilan diagnostique et d’extension
L’échographie scrotale bilatérale est l’examen clé du diagnostic.
L’échographie est réalisée en première intention devant une anomalie clinique suspecte. Sa sensibilité est très élevée, voisine de 100 %, et elle détecte aussi les lésions infracliniques de très petite taille, comme les petites tumeurs stromales à cellules de Leydig, qui ne sont plus une indication d’orchidectomie totale systématique (chirurgie partielle voire surveillance).

Le scanner thoraco-abdomino-pelvien intervient dans le bilan d’extension. Il sera réalisé au mieux avant l’orchidectomie.
La TEP-TDM au 18FDG n’apporte pas d’élément supplémentaire par rapport au scanner dans le bilan d’extension initial.
B. Suivi post-thérapeutique

Le scanner thoraco-abdomino-pelvien est indispensable dans le suivi, associé aux marqueurs tumoraux, à un rythme variable selon le type histologique et le stade, à la recherche de masses ganglionnaires (rétropéritoine, médiastin) de métastases viscérales (thorax, foie).
En cas de TGS avec métastases, en particulier masses ganglionnaires rétropéritonéales, une réévaluation à 6 semaines par une TEP-TDM au 18FDG en cas de masses ganglionnaires résiduelles de 3 cm et plus permet de préciser la situation carcinologique avant un éventuel curage qui sera décidé en RCP.
III. Sémiologie

Typiquement, les TGS se présentent en échographie sous la forme de masses nodulaires uniques ou multiples intratesticulaires, le plus souvent hypoechogènes, vascularisées en doppler couleur (figure 32.1), plus hétérogènes pour les tumeurs non séminomateuses. Elles ont parfois des contours polycycliques, peuvent occuper la quasi-totalité du volume testiculaire et augmenter son volume. Elle est rarement bilatérale d’emblée. Des formes nécrosées et involuées (fibrose) sont décrites, réduisant voire annulant la vascularisation en doppler couleur. Des calcifications de taille variable (microlithes ou macrocalcifications) peuvent être associées.


Fig. 32.1 Échographie d’une tumeur germinale testiculaire.
En mode B (A), masse nodulaire hypoéchogène intratesticulaire (flèche), quelques calcifications (microlithes) dans le parenchyme. Mode doppler couleur (B) montrant la vascularisation du nodule.
Source : CERF, CNEBMN, 2022.
Les TGNS ont un aspect souvent plus hétérogène, avec volontiers des portions kystiques (tératomes), des portions hyperechogènes (hémorragies), des portions nécrotiques.
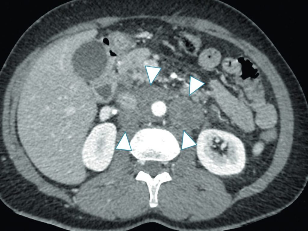
Le scanner thoraco-abdomino-pelvien recherche en particulier des métastases pulmonaires et des adénopathies. Ces dernières se traduisent par une ou plusieurs masses ganglionnaires le plus souvent homogènes (de plus de 1 cm de petit axe) autour des gros vaisseaux rétropéritonéaux, premiers relais ganglionnaires (figure 32.2).


Fig. 32.2 TDM après injection de produit de contraste iodé : multiples adénopathies rétropéritonéales (têtes de flèches).
Source : CERF, CNEBMN, 2022.
Points clés
- L’échographie scrotale bilatérale est l’examen clé du diagnostic radiologique avec une sensibilité voisine de 100 %.
- Le scanner thoraco-abdomino-pelvien intervient dans le bilan d’extension, notamment à la recherche d’adénopathies secondaires et de métastases pulmonaires ainsi qu’au cours du suivi.
- La TEP-TDM au 18FDG permet d’apprécier la fixation post-chimiothérapie des masses résiduelles, en cas de tumeur germinale séminomateuse métastatique.
