Plan de chapitre
ITEM 311 – Tumeurs du rein
I. Généralités
II. Stratégie d’exploration en imagerie
– A. Diagnostic de tumeur rénale
– B. Bilan d’extension
– C. Suivi post-thérapeutique
III. Sémiologie
– A. Masses rénales kystiques
– B. Tumeurs rénales tissulaires
Situations de départ
- 8 Masse abdominale
- 17 Amaigrissement
- 21 Asthénie
- 36 Douleur de la région lombaire
- 102 Hématurie
- 224 Découverte d’une anomalie abdominale à l’examen d’imagerie médicale
Item, hiérarchisation des connaissances
ITEM 311 – Tumeurs du rein
| Rang | Rubrique | Intitulé | Descriptif |
| Prévalence, épidémiologie | Connaître l’épidémiologie des tumeurs du rein* | Y compris le pronostic | |
| Prévalence, épidémiologie | Connaîtres les facteurs de risque* | Connaître les facteurs de risque, y compris formes génétiques | |
| Définition | Connaître les principaux types histologiques des tumeurs* | ||
| Diagnostic positif | Connaître les présentations cliniques des tumeurs du rein* | Savoir que ces tumeurs sont asymptomatiques dans un grand pourcentage des cas, évoquer les indications de consultation d’oncogénétique en cas de pathologies associées, connaître l’existence de syndromes paranéoplasiques | |
| Examens complémentaires | Connaître les indications des examens complémentaires nécessaires en cas de suspicion clinique de tumeur du rein | Savoir proposer un algorithme décisionnel des examens complémentaires utiles au diagnostic, connaître les principaux critères diagnostiques radiologiques d’une tumeur maligne du rein – y compris les biopsies | |
| Contenu multimédia | Exemple d’échographie d’un kyste rénal simple | ||
I. Généralités

On distingue classiquement les tumeurs kystiques des tumeurs tissulaires, chaque catégorie comprenant des tumeurs bénignes et malignes :
- les tumeurs kystiques sont majoritairement bénignes et représentées principalement par le kyste rénal simple ;
- les tumeurs tissulaires sont majoritairement malignes et représentées principalement par le carcinome à cellules claires.
Les tumeurs malignes du rein sont fréquentes : 3 % de l’ensemble des tumeurs malignes de l’adulte. Elles sont au troisième rang des tumeurs malignes urologiques, après le cancer de la prostate et de la vessie. Le sex-ratio H:F est de 2:1. L’âge moyen au diagnostic est de 60–70 ans. La plupart des tumeurs malignes sont sporadiques, mais certaines s’intègrent à des phacomatoses comme la maladie de von Hippel-Lindau.
Le stade et le grade sont des critères pronostiques fondamentaux. La croissance d’une tumeur rénale est considérée comme lente (en moyenne 1 cm par an). Au moment du diagnostic, seules 10 % des tumeurs malignes sont métastatiques. Les sites principaux de localisation métastatique sont les poumons, les os et le foie.
Les symptômes liés aux tumeurs rénales malignes sont peu fréquents et représentés principalement par l’hématurie macroscopique, l’altération de l’état général ou par certains syndromes paranéoplasiques (anémie, HTA, hypercalcémie, polyglobulie). Les manifestations liées à une taille volumineuse sont rares : douleurs lombaires, masse palpable, varicocèle liée à l’envahissement de la veine rénale et de la veine spermatique.
II. Stratégie d’exploration en imagerie
A. Diagnostic de tumeur rénale
Compte tenu de la généralisation des examens d’imagerie, notamment l’échographie et le scanner abdominal, les tumeurs rénales sont le plus souvent découvertes fortuitement chez un patient asymptomatique :
- lorsque la tumeur est détectée en échographie, le scanner sera toujours indispensable pour confirmer le diagnostic ;
- lorsqu’elle est détectée en scanner, l’échographie n’est pas indispensable (indications ciblées) ;
- l’IRM est utilisée en complément du scanner dans certains cas (avis spécialisé) ou en cas de contre-indication au scanner ou chez les patients chez lesquels on veut éviter l’irradiation (grossesse, patients jeunes à haut risque de tumeur régulièrement explorés).
Les indications de biopsie percutanée varient d’une équipe à l’autre. La biopsie n’est pas systématique, la plupart des tumeurs solides étant opérées sans biopsie préalable, en raison de leur forte probabilité de malignité. La biopsie peut, en revanche, se discuter en cas de tumeur atypique, de contexte infectieux ou de patient fragile ou insuffisant rénal, ou dans tous les cas où la prise en charge pourrait être modifiée par le résultat histologique (décision de réunion de concertation pluridisciplinaire).
B. Bilan d’extension
Le bilan d’extension repose sur le scanner thoraco-abdomino-pelvien, à la recherche :
- de localisations rénales controlatérales, qui sont fréquentes ;
- d’une extension endoveineuse à la veine rénale et à la veine cave inférieure ;
- de métastases lymphatiques ;
- d’une extension à la loge rénale ou aux organes de voisinage ;
- de métastases viscérales (en particulier pulmonaires, hépatiques, pancréatiques, osseuses).
La TEP-TDM au 18FDG n’est pas indiquée car la fixation par le cancer du rein primitif est inconstante et variable. La scintigraphie osseuse est indiquée dans les cancers du rein évolués avec signes d’appel osseux.
C. Suivi post-thérapeutique

Il repose également sur le scanner thoraco-abdomino-pelvien annuel.
III. Sémiologie
A. Masses rénales kystiques
1. Kyste rénal simple

C’est la plus fréquente des masses rénales. Il s’agit d’une masse :
- liquidienne :
- anéchogène homogène avec renforcement postérieur des échos à l’échographie (figure 31.1) ;
- de densité entre 0 et + 20 UH, sans aucun rehaussement après injection en scanner ;
- sans paroi visible ;
- sans nodule ou épaississement tissulaire.


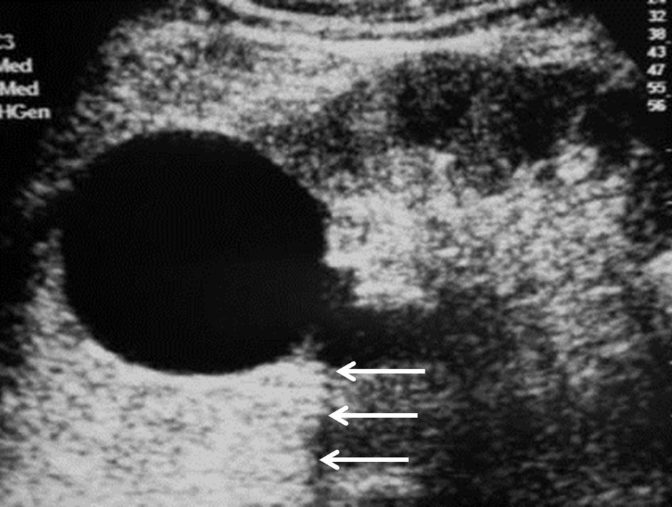
Fig. 31.1 Échographie d’un kyste rénal simple.
Kyste rénal polaire supérieur du rein gauche : masse liquidienne anéchogène sans paroi visible, avec renforcement postérieur (flèches).
Source : CERF, CNEBMN, 2022.
2. Masse kystique rénale atypique
Il faut savoir qu’il existe de nombreuses masses kystiques atypiques (paroi, cloisons, bourgeon charnu) qui nécessitent des examens complémentaires ciblés (figure 31.2) et des avis spécialisés de manière à classer ces lésions selon le risque potentiel de cancer (classification de Bosniak) et ainsi à orienter la décision de prise en charge (simple surveillance ou exérèse chirurgicale).


Fig. 31.2 Scanner après injection de produit de contraste iodé au temps artériel d’une masse kystique rénale droite suspecte caractérisée par la présence de nombreuses cloisons internes.
Source : CERF, CNEBMN, 2022.
B. Tumeurs rénales tissulaires
Toute tumeur rénale solide (de nature tissulaire) sera suspecte de carcinome, sauf en cas d’angiomyolipome.
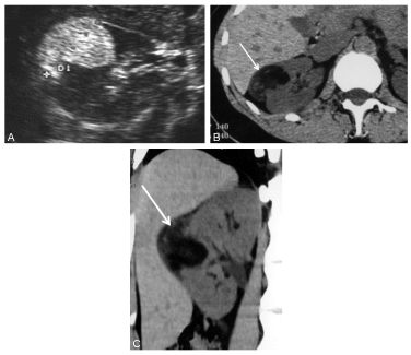
L’angiomyolipome est la tumeur bénigne la plus fréquente (figure 31.3) : son diagnostic repose sur la mise en évidence de graisse au sein de la tumeur :
- hyperéchogène par rapport au rein en échographie (non spécifique) ;
- avec une densité négative en scanner (entre – 100 et – 20 UH), signe spécifique qui permet d’affirmer le diagnostic.


Fig. 31.3 Angiomyolipome rénal droit.
Échographie (A) montrant une masse hyperéchogène compatible avec un contenu graisseux (non spécifique). Scanner sans injection en coupe axiale (B) et en reconstruction coronale (C) montrant que la masse (flèches) présente une densité graisseuse (– 75 UH) voisine de celle de la graisse périrénale.
Source : CERF, CNEBMN, 2022.
Les autres tumeurs solides, dont les carcinomes, se caractérisent par :
- une échogénicité variable, souvent voisine de celle du rein ;
- une densité tissulaire qui se rehausse après injection.
Les différents types de carcinomes (figures 31.4 et 31.5) et l’oncocytome (deuxième tumeur bénigne rénale la plus fréquente) (figure 31.6) se différencient entre eux par des critères d’imagerie scanner et surtout IRM qui relèvent d’avis spécialisés.


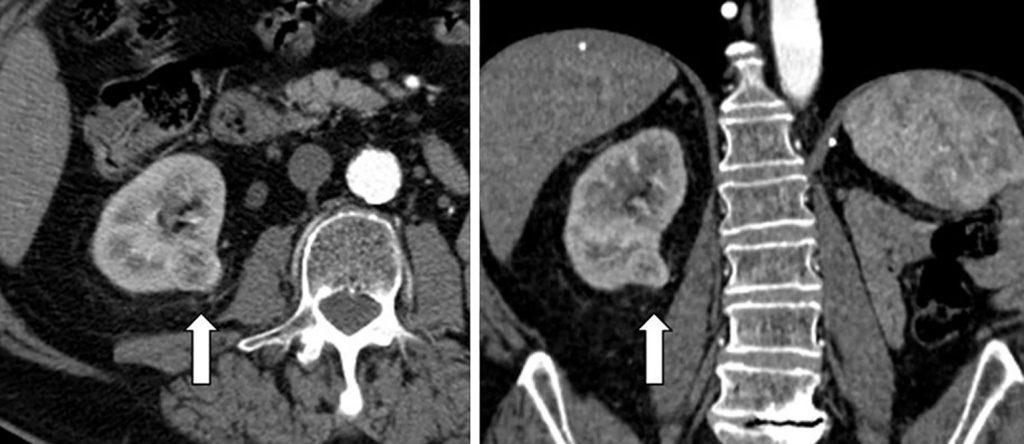
Fig. 31.4 Scanner en vue axiale et coronale d’un carcinome rénal à cellules claires.
Masse tissulaire du rein droit (flèches), hétérogène, rehaussée par le produit de contraste et déformant les contours du rein.
Source : CERF, CNEBMN, 2022.


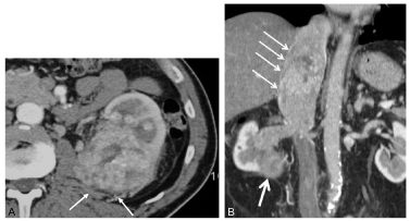
Fig. 31.5 Exemples de carcinome rénal évolué localement.
Scanner après injection de produit de contraste iodé au temps artériel (A, flèches) d’un volumineux carcinome rénal à cellules claires du rein gauche infiltrant la graisse périrénale. Scanner en reconstruction coronale après injection de produit de contraste iodé au temps tubulaire d’un carcinome rénal droit (B, flèche épaisse) avec envahissement veineux de la veine cave inférieure (flèches fines) jusqu’à l’atrium droit.
Source : CERF, CNEBMN, 2022.


Fig. 31.6 Oncocytome rénal gauche.
Scanner avant (A) et après injection de produit de contraste iodé au temps artériel (B). Masse rénale tissulaire de la lèvre antérieure du sinus du rein gauche, présentant un rehaussement périphérique et une cicatrice centrale.
Source : CERF, CNEBMN, 2022.
Points clés
- Le kyste simple est la plus fréquente des masses rénales, dont le diagnostic est généralement fait facilement en échographie.
- Le scanner est l’examen de référence pour le diagnostic des tumeurs du rein.
- Le cancer à cellules claires est la tumeur maligne la plus fréquente.
- Les volumineux carcinomes sont généralement facilement caractérisés en scanner.
- Les petites tumeurs ont un aspect le plus souvent non spécifique et peuvent nécessiter une biopsie avant de décider de la prise en charge.
- L’angiomyolipome caractérisé en scanner par la présence de graisse intratumorale (densité négative < – 20 UH) est la tumeur bénigne la plus fréquente.
