Plan de chapitre
ITEM 50 – Pathologie génitoscrotale chez le garçon et chez l’homme
Diagnostic en imagerie d’une torsion du cordon spermatique
I. Généralités
II. Stratégie d’exploration en imagerie
III. Sémiologie
– A. Dans sa forme typique serrée
– B. En cas d’épisode de torsion-détorsion
– C. En cas de forme vue tardivement, au stade d’ischémie
- D. Diagnostic différentiel
Diagnostic en imagerie d’une hydrocèle
I. Généralités
II. Stratégie d’exploration en imagerie
III. Sémiologie
Diagnostic en imagerie d’une cryptorchidie
I. Généralités
II. Stratégie d’exploration en imagerie
– A. Échographie abdominopelvienne
– B. Tomodensitométrie et IRM
– C. Phlébographie spermatique
III. Sémiologie
– A. Échographie abdominopelvienne
– B. Tomodensitométrie et IRM
Situations de départ
- 100 Douleur testiculaire
- 105 Découverte d’une malformation de l’appareil génital
- 108 Anomalie des bourses
Item, hiérarchisation des connaissances
ITEM 50 – Pathologie génitoscrotale chez le garçon et chez l’homme
| Rang | Rubrique | Intitulé |
| Diagnostic positif | Savoir faire le diagnostic à partir de l’interrogatoire et de l’examen clinique des principales pathologies génito-scrotales* | |
| Identifier une urgence | Connaître l’urgence de la prise en charge d’une torsion du testicule, d’une fasciiite nécrosante des organes génitaux externes, d’un paraphimosis.* | |
| Contenu multimédia | Bourse transilluminable, bourse non transilluminable* | |
| Diagnostic positif | Savoir faire le diagnostic de l’orchi-épididymite* | |
| Examens complémentaires | Connaître les examens complémentaires à réaliser en cas d’orchi-épididymite | |
| Prise en charge | Connaître la prise en charge de l’orchi-épididymite* | |
| Prise en charge | Connaître les principes généraux de la prise en charge d’une torsion du testicule, d’une fasciite nécrosante des organes génitaux externes, d’un phimosis, d’un paraphimosis* | |
| Diagnostic positif | Hydrocèle, kyste du cordon : diagnostic* | |
| Examens complémentaires | Connaître les indications et non-indications de l’imagerie devant une hydrocèle | |
| Diagnostic positif | Testicule non descendu : diagnostic* | |
| Examens complémentaires | Connaître les indications d’imagerie devant un testicule non descendu* | |
| Prise en charge | Prise en charge de la cryptorchidie* | |
| Diagnostic positif | Infections prépuciales, phimosis et paraphimosis : diagnostic* | |
| Prise en charge | Infections prépuciales, phimosis et paraphimosis : principes de la prise en charge* | |
| Diagnostic positif | Torsion du cordon spermatique* | |
| Examens complémentaires | Indication et diagnostics différentiels de l’imagerie de torsion du cordon spermatique | |
| Contenu multimédia | Photographies d’un phimosis et d’un paraphimosis* |
Diagnostic en imagerie d’une torsion du cordon spermatique
I. Généralités

La torsion du cordon spermatique est l’une des urgences chirurgicales de l’adolescent et de l’adulte jeune présentant une bourse aiguë. Le délai de prise en charge conditionne le pronostic fonctionnel du testicule. Sa conservation dépend de la durée de l’évolution de l’ischémie aiguë et du degré de torsion.
II. Stratégie d’exploration en imagerie
Le diagnostic est clinique.
L’imagerie ne doit pas retarder la prise en charge chirurgicale si le diagnostic de torsion du cordon spermatique est cliniquement évoqué.
Ce dogme doit être pondéré en raison de la performance actuelle de l’échographie, qui plaide pour une large utilisation en urgence de cet examen avant l’exploration chirurgicale.

L’échographie testiculaire couplée au doppler est l’examen clé de la bourse aiguë. Cet examen est impératif d’une part devant un tableau clinique atypique pour un diagnostic différentiel (torsion de l’hydatide, orchi-épididymite, tumeur à révélation inflammatoire, hernie inguinale étranglée) et, d’autre part, lorsque le patient est vu tardivement.
III. Sémiologie
Avec l’échographie testiculaire couplée au doppler, l’étude est comparative avec le testicule controlatéral.
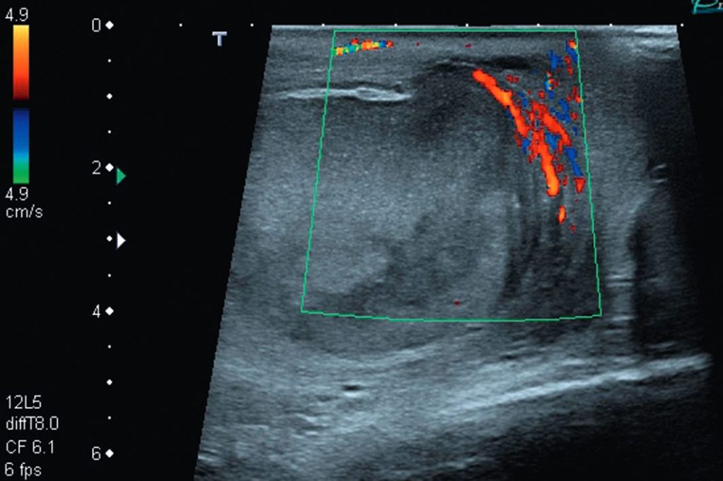
A. Dans sa forme typique serrée (figure 28.1)
- Visualisation de la spire de torsion en région inguinale (« whirlpool sign » ou signe du tourbillon ou spirale vasculaire, qui correspond à l’enroulement des vaisseaux spermatiques). La spécificité et la sensibilité de ce signe sont très élevées. L’hypervascularisation du cordon est variable.
- Testicule ascensionné avec modification de l’orientation de son grand axe ; échostructure hétérogène, hypoéchogène.
- Absence de flux intratesticulaire et épididymaire en cas de forme très serrée.
- Diminution de la vascularisation intratesticulaire en doppler couleur avec chute de la vitesse en doppler pulsé par rapport au côté controlatéral en cas de torsion serrée ou peu serrée.


Fig. 28.1. Échographie, plan sagittal.
Orifice profond du canal inguinal, spire de torsion (whirlpool sign). Ces clichés proviennent de deux patients différents.
Source : CERF, CNEBMN, 2022.
B. En cas d’épisode de torsion-détorsion
Un examen doppler normal n’élimine pas un épisode de torsion.
- Une hypervascularisation réactionnelle est possible.

L’exploration chirurgicale reste nécessaire (rapidement mais en dehors du cadre de la grande urgence) si le diagnostic clinique de torsion du cordon spermatique est évoqué par le chirurgien.
C. En cas de forme vue tardivement, au stade d’ischémie (figure 28.2)
- Testicule et épididyme avasculaires, hétérogènes.
- Hypervascularisation des enveloppes.


Fig. 28.2. Échographie doppler couleur.
Ischémie testiculaire ancienne (une semaine d’évolution) : testicule avasculaire avec hypervascularisation des enveloppes et début de fonte testiculaire.
Source : CERF, CNEBMN, 2022.
D. Diagnostic différentiel
Ischémie post-infectieuse (hypervascularisation de l’épididyme avec testicule avasculaire).
Points clés
- L’échographie doppler testiculaire est l’examen clé de la bourse aiguë.
- L’étude est comparative avec le testicule controlatéral.
- Un examen doppler normal n’élimine pas un épisode de torsion (torsion-détorsion).
- L’imagerie ne doit pas retarder la prise en charge chirurgicale si le diagnostic de torsion du cordon spermatique est cliniquement évoqué.
Diagnostic en imagerie d’une hydrocèle
I. Généralités

L’hydrocèle est une pathologie bénigne, fréquente et le plus souvent idiopathique. C’est un épanchement séreux développé entre les deux feuillets de la vaginale testiculaire.
Chez l’adulte, elle traduit un défaut de réabsorption des sérosités et une réaction inflammatoire de la vaginale (hydrocèle non communicante). Fréquente chez l’homme âgé, elle est bilatérale dans 20 % des cas et asymétrique.
Chez le jeune enfant, elle est due soit à la persistance d’un canal péritonéovaginal (hydrocèle congénitale communicante) soit réactionnelle, comme chez l’adulte, à un phénomène inflammatoire, tumoral, traumatique ou de torsion.
II. Stratégie d’exploration en imagerie

L’échographie confirme le diagnostic s’il en est besoin — examen clinique douteux en cas d’hydrocèle volumineuse et sous tension ou d’enveloppes épaissies par réaction inflammatoire chronique (pachyvaginalite). En pratique, elle est très souvent réalisée. Chez l’adulte, elle apprécie l’état du testicule sous-jacent (hydrocèle réactionnelle à une orchi-épididymite ou un cancer du testicule) et permet de nombreux diagnostics différentiels (kystes de l’épididyme, kyste du cordon, hernie inguinoscrotale, œdème de la paroi scrotale observé en cas de décompensation cardiaque droite ou d’hypoprotéinémie).
III. Sémiologie
L’échographie montre :
- un épanchement trans-sonique de la vaginale entourant le testicule :
- en cas d’hydrocèle volumineuse sous tension, le testicule et l’épididyme sont refoulés dans la partie postéro-inférieure de la bourse et comprimés contre la vaginale (figure 28.3) ;
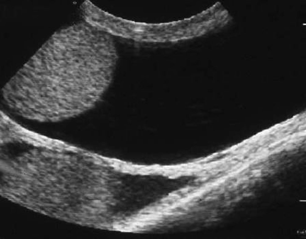
- en cas d’hydrocèle chronique, l’épanchement est échogène (cristaux de cholestérol en suspension) avec ou sans cloisons ;
- parfois, la présence de concrétions cholestéroliques, intravaginales mobiles ou d’épaississements nodulaires de la vaginale (figure 28.4).


Fig. 28.4. Hydrocèle vaginale ancienne : épanchement échogène et nodule de pachyvaginalite.
Source : CERF, CNEBMN, 2022.
Points clés
- L’échographie scrotale confirme le diagnostic d’hydrocèle.
- Elle apprécie l’état du testicule sous-jacent et permet de reconnaître les diagnostics différentiels.
Diagnostic en imagerie d’une cryptorchidie
I. Généralités

La cryptorchidie est la conséquence d’un arrêt de la migration du testicule en un point quelconque de son trajet normal entre la région lombaire où il se forme et le scrotum où il doit se trouver à la naissance. Elle se définit comme un testicule spontanément et en permanence situé en dehors du scrotum et présent sur son trajet de migration.
Elle a un impact d’une part sur la fertilité et d’autre part sur le risque de néoplasie testiculaire, même en cas de testicule abaissé chirurgicalement.
II. Stratégie d’exploration en imagerie
Si les examens d’imagerie n’ont pas mis en évidence le testicule non palpable, cela n’élimine pas le diagnostic. L’exploration chirurgicale laparoscopique à visée diagnostique et thérapeutique est toujours nécessaire.
A. Échographie abdominopelvienne

Lorsque le testicule n’est pas palpable, l’échographie peut permettre de le repérer. Elle est fiable pour localiser une forme basse avec le testicule dans le canal inguinal ou au voisinage de l’orifice profond. Dans les formes hautes, elle est moins performante pour montrer un testicule ectopique en position inguinale interne ou en situation paravésicale et insuffisante pour rechercher un testicule resté en intra-abdominal.
B. Tomodensitométrie et IRM
Ces examens permettront de retrouver le testicule s’il a un volume suffisant. Leur sensibilité est bonne au niveau pelvien mais plus faible en intra-abdominal.
C. Phlébographie spermatique
Elle a pour but de rechercher la veine spermatique dont la présence indique l’existence d’un testicule. Cet examen radiologique est invasif, reste délicat et est tombé en désuétude.
III. Sémiologie
A. Échographie abdominopelvienne
Lorsque le testicule n’est pas palpable, l’échographie peut permettre de le repérer.
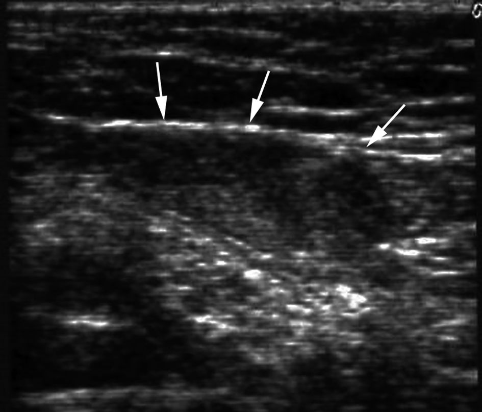
Le testicule cryptorchide est de petite taille, hypoéchogène, hétérogène, surmonté d’un épididyme d’aspect habituel ou diminué de taille (figure 28.5).

Fig. 28.5. Échographie, plan sagittal.
Petit testicule dans le canal inguinal hypoéchogène et hétérogène (flèches).
Source : CERF, CNEBMN, 2022.
Après correction chirurgicale de la cryptorchidie, le testicule reste hypoéchogène hétérogène. Le signal doppler intratesticulaire est absent ou très faible. L’échographie recherche une masse tumorale testiculaire.
B. Tomodensitométrie et IRM
Le testicule est une petite masse ovalaire, à contours nets, de densité inférieure à celle des tissus non graisseux qui l’entourent en scanner, hypo-intense en séquence T1 et intense en séquence T2 en IRM. En dehors de son caractère non irradiant, l’efficacité supérieure de l’IRM n’a pas encore été clairement démontrée (figure 28.6).


Fig. 28.6. IRM séquence T1, plan frontal.
Testicule cryptorchide (flèche) à l’orifice profond du canal inguinal droit.
Source : CERF, CNEBMN, 2022.
Points clés
- Lorsque le testicule n’est pas palpable, l’échographie peut faciliter son repérage.
- Le scanner ou l’IRM permettent de retrouver le testicule s’il a un volume suffisant.
- Après correction chirurgicale de la cryptorchidie, l’échographie permet de rechercher une masse tumorale testiculaire.
