Plan de chapitre
ITEM 161 – Infections urinaires de l’enfant et de l’adulte
I. Généralités
II. Stratégie d’exploration en imagerie
III. Sémiologie
Situations de départ
- 23 Anomalie de la miction.
- 44 Hyperthermie/fièvre.
- 96 Brûlure mictionnelle.
- 97 Rétention aiguë d’urines.
- 182 Analyse de la bandelette urinaire.
Item, hiérarchisation des connaissances
ITEM 161 – Infections urinaires de l’enfant et de l’adulte
| Rang | Rubrique | Intitulé | Descriptif |
| Définition | Savoir définir les différents types d’infections des voies urinaires simples ou à risque de complication et leur fréquence respective* | Distinguer cystite, pyélonéphrite, infections urinaires simples (femme jeune sans facteur de risque), graves et infections urinaires à risque de complications, infections urinaires masculines, cystites récidivantes et recherche de facteurs de risque de complication | |
| Étiologie | Connaître les principaux agents pathogènes à l’origine des infections urinaires et les principaux mécanismes de résistance aux antibiotiques* | Connaître les résistances aux antibiotiques de E. coli communautaire, connaître les facteurs de risque de résistance aux fluoroquinolones et aux bêtalactamines | |
| Examens complémentaires | Indications des examens complémentaires de première intention en fonction du type d’infection urinaire | BU, ECBU, échographie | |
| Examens complémentaires | Indications des examens complémentaires de deuxième intention en fonction du type d’infection urinaire | Scanner, IRM, cystographie, cystoscopie, scintigraphie | |
| Examens complémentaires | Connaître les principes de réalisation de la bandelette urinaire et son interprétation* | ||
| Examens complémentaires | Connaître les principes de réalisation et l’interprétation de l’ECBU* | Interprétation des résultats, dont les seuils significatifs des bactériuries, les indications et quand ne pas faire d’ECBU systématique Connaître les causes de leucocyturie aseptique | |
| Définition | Connaître la définition d’une colonisation urinaire* | Connaître les mécanismes des colonisations urinaires, dont colonisation de sonde urinaire | |
| Diagnostic positif | Connaître les critères diagnostiques des cystites aiguës (simple, à risque de complication)* | Connaître le potentiel évolutif des cystites aiguës simples ; savoir éliminer les diagnostics différentiels | |
| Diagnostic positif | Connaître les critères diagnostiques des pyélonéphrites aiguës (clinique, biologique, radiologique) avec ou sans signe de gravité (algorithme) | Connaître la différence entre une pyélonéphrite simple et à risque de complication, savoir reconnaître les risques de complications d’une pyélonéphrite, connaître les examens complémentaires à réaliser au cours d’une pyélonéphrite, en urgence, en différé, savoir poser l’indication d’un recours ; savoir éliminer les diagnostics différentiels | |
| Prise en charge | Connaître le traitement des cystites aiguës simple dont suivi et prévention des récidives* | ||
| Prise en charge | Connaître le traitement des pyélonéphrites aiguës simples* | ||
| Prise en charge | Connaître le principe de la prise en charge des pyélonéphrites aiguës compliquées* | ||
| Diagnostic positif | Connaître les critères diagnostiques des infections urinaires masculines (clinique, biologiques, radiologique)* | Savoir poser les indications des examens complémentaires des infections urinaires masculines, connaître les complications des infections urinaires masculines, savoir éliminer les diagnostics différentiels | |
| Prise en charge | Connaître le traitement des infections urinaires masculines et connaître les modalités de leur prévention* | Connaître les conditions de prise en charge urologique des infections urinaires masculines | |
| Prise en charge | Connaître le traitement des infections urinaires au cours de la grossesse et son suivi* | Connaître les modalités de suivi des infections urinaires au cours de la grossesse, savoir éliminer les diagnostics différentiels | |
| Prise en charge | Connaître les spécificités de l’infection urinaire de la personne âgée* | Indications de l’ECBU, observance | |
| Diagnostic positif | Savoir évoquer une infection urinaire de l’enfant : enquête clinique* | Situations et symptômes devant faire évoquer le diagnostic, critères diagnostiques d’une infection urinaire de l’enfant (haute, basse), savoir éliminer les diagnostics différentiels | |
| Examens complémentaires | Savoir prescrire le ou les examens complémentaires chez l’enfant | Particularités du recueil des urines, indications de la bandelette urinaire, de l’ECBU, de l’échographie rénale, critères diagnostiques d’une infection urinaire de l’enfant (haute, basse) | |
| Prise en charge | Prise en charge thérapeutique d’une infection urinaire de l’enfant* | ||
| Examens complémentaires | Connaître les examens complémentaires à réaliser dans les infections urinaires récidivantes | Connaître les étiologies, les facteurs favorisants et les examens complémentaires, (cystographie, cystoscopie, scanner) à réaliser | |
| Prise en charge | Connaître les principes du traitement des cystites récidivantes (curatif médical, préventif)* | Dont cystites post-coïtales, mesures hygièno-diététique, indication et surveillance des traitements prolongés | |
| Prévalence, épidémiologie | Infections urinaires de l’enfant : épidémiologie* | ||
I. Généralités

Les infections urinaires de l’adulte sont dominées par les infections du bas appareil chez la femme et par les tableaux de pyélonéphrite. Ces dernières peuvent être uni- ou multifocales, uni- ou bilatérales d’emblée et se compliquer d’abcès rénal, voire périrénal. Chez l’homme, tout tableau infectieux urinaire doit faire rechercher une prostatite aiguë.
Chez les patients diabétiques, il faut faire attention aux formes diffuses peu expressives sur le plan clinique. En urgence, il faut toujours connaître les résultats de la bandelette urinaire (sang et nitrites) et la fonction rénale.
II. Stratégie d’exploration en imagerie
Les indications concernent essentiellement les infections du haut appareil urinaire.
En cas d’infection du bas appareil, il n’y a pas chez l’adulte d’indication d’imagerie en dehors de cystites récidivantes qui nécessitent la réalisation d’une échographie de l’appareil urinaire.
Le diagnostic de pyélonéphrite est fondé sur l’association (triade) : douleurs lombaires, fièvre et ECBU positif. Seule une échographie est nécessaire à la recherche d’un obstacle (malformations, calcul, etc.) ou d’une complication à type d’abcès. Elle doit être réalisée dans les 48 premières heures, à moduler en fonction de l’urgence clinique.

L’imagerie en coupe (scanner injecté avec du produit de contraste iodé) est indiquée dans quatre circonstances principales :
- en cas d’obstruction des voies urinaires détectée en échographie ;
- en cas de suspicion d’abcès à l’échographie ;
- en cas d’infection résistant à un traitement antibiotique bien conduit ;
- en cas d’infection survenant sur un terrain particulier (diabète, cathéter, postopératoire, immunodépression, etc.).
Enfin, l’imagerie sert le guidage de gestes interventionnels (drainage des cavités excrétrices ou d’un abcès).
La cystographie rétrograde est indiquée à distance pour la recherche d’un reflux vésico-urétéral en cas de pyélonéphrites récidivantes.
III. Sémiologie
Il faut distinguer les signes liés à l’infection de la paroi de la voie excrétrice et à l’infection du parenchyme rénal et à ses complications, des signes liés à l’obstacle (retentissement en amont et étiologie de l’obstruction).
Les signes d’une infection au scanner après injection sont :
- sur la voie excrétrice : un épaississement de la paroi de la voie excrétrice supérieure (pelvis rénal, uretère) et/ou de la vessie ;
- sur le parenchyme rénal : une plage segmentaire hypodense de la néphrographie au temps tubulaire, le plus souvent triangulaire à base externe et à sommet caliciel, associée à des striations linéaires adjacentes ou sur d’autres secteurs du rein (pyélonéphrite multifocale) (figure 26.1) ;
- une infiltration des fascias autour du rein et de la graisse périrénale.


Fig. 26.1. Pyélonéphrite aiguë multifocale. Scanner après injection de produit de contraste iodé au temps tubulaire.
Pyélonéphrite aiguë multifocale du rein droit se présentant sous la forme de zones d’hypodensité segmentaires triangulaires de la néphrographie (flèches).
Source : CERF, CNEBMN, 2022.

Les complications sont l’évolution d’une pyélonéphrite non traitée ou résistant au traitement ou survenant sur un terrain particulier (facteurs de risque : diabète, infection nosocomiale, immunodépression). Il peut s’agir d’un phlegmon périnéphrétique, d’un abcès du rein, d’une pyélonéphrite emphysémateuse :
phlegmon périnéphrétique : infiltration non collectée de l’espace périrénal pouvant s’étendre aux espaces adjacents ;
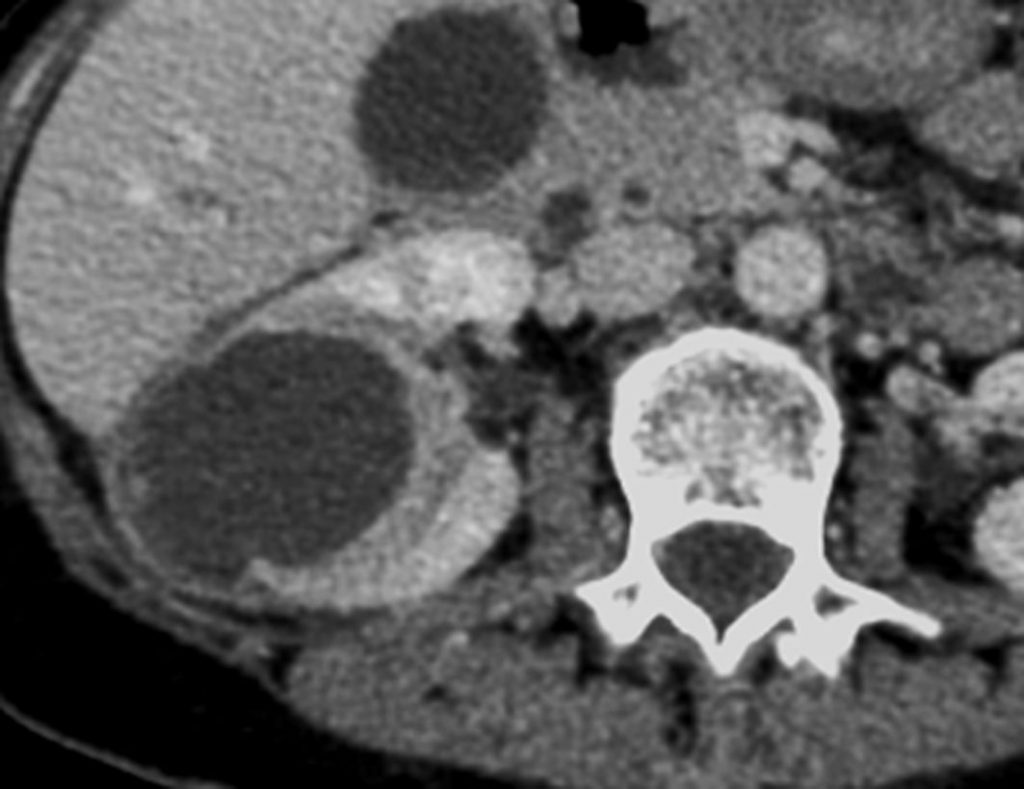
- abcès du rein : collection intrarénale arrondie organisée, avec une coque qui se rehausse après injection et avec une composante centrale purulente de densité liquidienne (figure 26.2), parfois associée à une extension périrénale (figure 26.3) ;


Fig. 26.2. Abcès rénal. Scanner après injection de produit de contraste iodé au temps tubulaire.
Abcès rénal collecté avec une coque et un contenu de densité liquidienne.
Source : CERF, CNEBMN, 2022.


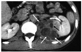
Fig. 26.3. Abcès rénal. Scanner après injection au temps excrétoire.
Abcès par voie hématogène avec petit foyer cortical (flèche noire) associé à une collection liquidienne cloisonnée périrénale (flèches blanches).
Source : CERF, CNEBMN, 2022.
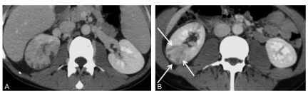
- pyélonéphrite emphysémateuse, évolution d’une infection nécrosante du parenchyme rénal, produisant du gaz dans les cavités, le parenchyme et parfois l’espace extrarénal, et survenant principalement chez le diabétique (ischémie et infection à germes aérobies classiques de type Escherichia coli) (figure 26.4).


Fig. 26.4. Pyélonéphrite emphysémateuse du rein gauche chez un patient diabétique avec insuffisance rénale. Scanner sans injection de produit de contraste iodé.
Diffusion de gaz dans le parenchyme rénal (coupe axiale, A). Gaz visible dans les cavités excrétrices (flèche sur la coupe coronale, B).
Source : CERF, CNEBMN, 2022.
La restitution peut être complète mais, selon la sévérité de l’infection, les séquelles sont possibles avec des cicatrices parenchymateuses rénales sur les sites des foyers, se traduisant par une rétraction du contour du rein et une attraction « en massue » du fond de calices en regard.
Points clés
- Il n’y a pas d’indication d’imagerie devant une infection du bas appareil urinaire, en dehors de cystites récidivantes qui nécessitent la réalisation d’une échographie.
- En cas d’infection du haut appareil urinaire, seule une échographie est nécessaire, à la recherche d’un obstacle (malformations, calcul, etc.) ou d’une complication à type d’abcès.
- L’exploration scannographique est indiquée uniquement en cas d’anomalie (obstruction, abcès) décelée à l’échographie, de résistance à l’antibiothérapie ou en présence d’un terrain à risque.
