Plan de chapitre
ITEM 305 – Tumeurs de l’oesophage
I. Généralités
II. Stratégie d’exploration en imagerie
III. Sémiologie d’un cancer de l’oesophage au scanner et à la TEP-TDM
– A. Tumeur
– B. Envahissement local
– C. Envahissement lymphatique
– D. Extension métastatique
Situations de départ
- 17 Amaigrissement.
- 21 Asthénie.
- 30 Dénutrition/malnutrition.
- 52 Odynophagie / dysphagie.
Item, hiérarchisation des connaissances
ITEM 305 – Tumeurs de l’œsophage
| Rang | Rubrique | Intitulé | Descriptif |
| Définition | Connaître les deux principaux types histologiques de cancer de l’œsophage* | Carcinome épidermoïde, adénocarcinome | |
| Étiologie | Connaître les principales lésions augmentant le risque de survenue ultérieure d’un cancer de l’œsophage* | Dysplasie malpighienne, endobrachyœsophage (œsophage de Barrett) et lésions précancéreuses | |
| Prévalence, épidémiologie | Connaître l’incidence et la prévalence des cancers de l’œsophage en France* | ||
| Diagnostic positif | Connaître les principales circonstances de découverte et les manifestations cliniques du cancer de l’œsophage* | ||
| Examens complémentaires | Connaître la stratégie d’exploration par imagerie d’une tumeur de l’œsophage | Écho-endoscopie, scanner, TEP-TDM au 18FDG | |
| Examens complémentaires | Connaître les indications de la fibroscopie œsogastrique* | ||
I. Généralités

La dysphagie est le symptôme de découverte le plus fréquent. Cette dysphagie lorsqu’elle est négligée conduit fréquemment à un amaigrissement important et à des signes de dénutrition.

Le diagnostic est fait par une endoscopie œsophagienne, qui doit être demandée en première intention devant toute dysphagie, associée à des biopsies tumorales.
II. Stratégie d’exploration en imagerie
L’imagerie n’intervient donc pas dans le diagnostic mais dans le bilan d’extension de la maladie. En cas de tumeur maligne (carcinome épidermoïde ou adénocarcinome), le bilan d’extension a pour but d’évaluer la résécabilité de la tumeur et de définir la stratégie thérapeutique (traitement curatif ou palliatif).
Les examens d’imagerie conventionnelle utilisés sont le scanner ainsi que l’échoendoscopie lorsque la tumeur est de petite taille. Lorsque l’endoscopie œsophagienne montre la présence d’une tumeur, un scanner thoraco-abdomino-pelvien avec injection de produit de contraste iodé est systématiquement réalisé (en l’absence de contre indication) (figure 17.1) à la recherche de métastases ou d’une extension de la tumeur aux organes de voisinage. S’il n’y a pas de métastases ni d’extension de la tumeur à la trachée, à l’aorte ou au corps vertébraux, la tumeur est potentiellement curable et fera l’objet d’une radiochimiothérapie néoadjuvante suivie d’une chirurgie d’exérèse de l’œsophage et de la tumeur avec reconstruction d’un néo-œsophage. S’il y a des métastases ou une extension de la tumeur aux organes de voisinage, le traitement sera palliatif à base de radiochimiothérapie ou de chimiothérapie seule.


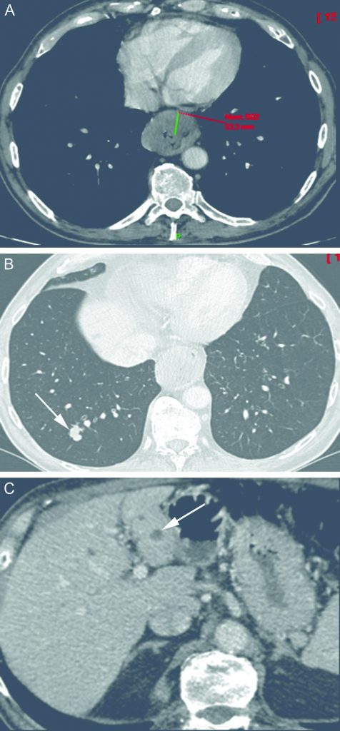
Fig. 17.1. Carcinome épidermoïde de l’œsophage. Scanner au temps portal après injection intraveineuse de produit de contraste iodé. Coupes axiale (A) : le cancer apparaît comme un épaississement circonférentiel de la paroi œsophagienne d’environ 2 cm d’épaisseur responsable d’une sténose. Les coupes passant par le poumon (B) et par le foie (C) montrent des métastases (flèches) qui rendent le patient inopérable.
Source : CERF, CNEBMN, 2022.
La TEP-TDM au 18FDG est recommandée dans le cadre du bilan d’extension préthérapeutique avant radiochimiothérapie ou avant chirurgie (figure 17.2) ; l’examen peut être proposé :
- pour la planification de la radiothérapie ;
ou pour l’évaluation de la réponse à la radiochimiothérapie ou à la chimiothérapie néoadjuvante, et peut être proposé pour la planification de la radiothérapie ou en cas de suspicion de récidive du cancer.



Fig. 17.2. Images TEP au 18FDG (A) et TEP au 18FDG fusionnée à la TDM (B) en coupes axiales réalisées dans le cadre du bilan d’extension d’une tumeur du tiers inférieur de l’œsophage (flèche) montrant une hyperfixation (tête de flèche) en regard d’un nœud lymphatique cœliaque.
Source : CERF, CNEBMN, 2022.
III. Sémiologie d’un cancer de l’œsophage au scanner et à la TEP-TDM
A. Tumeur

La tumeur apparaît au scanner comme une sténose œsophagienne. La paroi de l’œsophage est épaissie, souvent de façon asymétrique, circonférentielle ou non (cf. figure 17.1). En TEP-TDM au 18FDG, elle est fortement hypermétabolique. On apprécie la hauteur de la tumeur et sa localisation précise surtout grace à la TEP (cf. figure 17.2), et son extension aux organes de voisinage surtout grâce au scanner dont la résolution spatiale est plus élevée que la TEP. L’importance de la dilatation d’amont est le reflet de la sévérité de la sténose.
B. Envahissement local
La graisse péritumorale (vue sur le scanner) peut être infiltrée (tumeur T3) mais la pauvreté de la graisse médiastinale fait que ce signe est peu performant. L’envahissement à la plèvre, à la trachée, à l’aorte, au péricarde et aux corps vertébraux est suspecté devant une disparition du liseré graisseux entre la tumeur et ces structures.
C. Envahissement lymphatique
Des nœuds lymphatiques péritumoraux, le long des différentes chaînes lymphatiques médiastinales et supraclaviculaires, doivent être recherchés — principalement avec la TEP-TDM au 18FDG, où les adénopathies seront hypermétaboliques.
D. Extension métastatique
Les sites métastatiques les plus fréquents sont le poumon, le foie et l’os.
Points clés
- L’imagerie n’intervient pas dans le diagnostic mais dans le bilan d’extension de la maladie.
- La TEP-TDM au 18FDG et le scanner définissent la classification TNM et permettent de définir le type de traitement (curatif ou palliatif).
- L’échoendoscopie peut aider à définir l’extension locale de la tumeur (en cas de petite tumeur).
- La TEP-TDM au 18FDG est recommandée pour évaluer l’efficacité des traitements néoadjuvants et pour rechercher une récidive.
