Plan de chapitre
Reflux gastro-oesophagien du nourrisson et de l’enfant
I. Généralités
II. Stratégie d’exploration en imagerie
III. Sémiologie
Reflux gastro-oesophagien et hernie hiatale chez l’adulte
I. Généralités
II. Stratégie d’exploration en imagerie
III. Sémiologie
Situation de départ
11 Régurgitation du nourrisson.
Item, hiérarchisation des connaissances
ITEM 271 – Reflux gastro-œsophagien chez le nourrisson, chez l’enfant et chez l’adulte. Hernie hiatale
| Rang | Rubrique | Intitulé | Descriptif |
| Prévalence, épidémiologie | Connaître la prévalence et les facteurs de risque du RGO* | ||
| Éléments physiopathologiques | Défaillance du sphincter inférieur de l’œsophage* | ||
| Diagnostic positif | Connaître les plaintes évoquant un RGO et les signes évoquant une pathologie néoplasique* | ||
| Suivi et/ou pronostic | Connaître les principales complications : œsophagite, hémorragie, sténose, œsophage de Barett (endobrachyœsophage)* | Symptômes | |
| Examens complémentaires | Connaître l’indication de l’endoscopie œsogastroduodénale si symptôme atypique ou début après 50 ans* | ||
| Prise en charge | Connaître les différentes interventions non médicamenteuses possibles, en particulier celles ayant prouvé leur efficacité* | ||
| Prise en charge | Connaître les principes de la prise en charge médicamenteuse en cas de manque d’efficacité des INM* | ||
Reflux gastro-œsophagien du nourrisson et de l’enfant
I. Généralités

Le reflux gastro-œsophagien est une pathologie très fréquente, le plus souvent physiologique, diagnostiqué par l’examen clinique et ne nécessitant aucun examen complémentaire.
Ce n’est qu’en cas de reflux pathologique, identifié par des répercussions staturo-pondérales ou des malaises cardiovasculaires (secondaires à des fausses routes), que des examens seront nécessaires.
Les deux examens clés pour le diagnostic positif sont alors l’endoscopie œsophagienne et surtout la pH-métrie. L’apport de l’imagerie est très limité.
II. Stratégie d’exploration en imagerie
Le transit œsogastrique n’est discuté qu’en cas de reflux pathologique, à la recherche d’une cause organique (hernie hiatale, malrotation intestinale, présence d’arcs vasculaires anormaux) ou quand une intervention chirurgicale correctrice est envisagée (bilan pré- et postopératoire). Il peut aussi permettre de diagnostiquer les fausses routes suspectées cliniquement.
L’échographie, réalisée uniquement dans des centres spécialisés, n’a qu’un apport accessoire, permettant l’étude anatomique de la jonction cardio-fundique.
III. Sémiologie
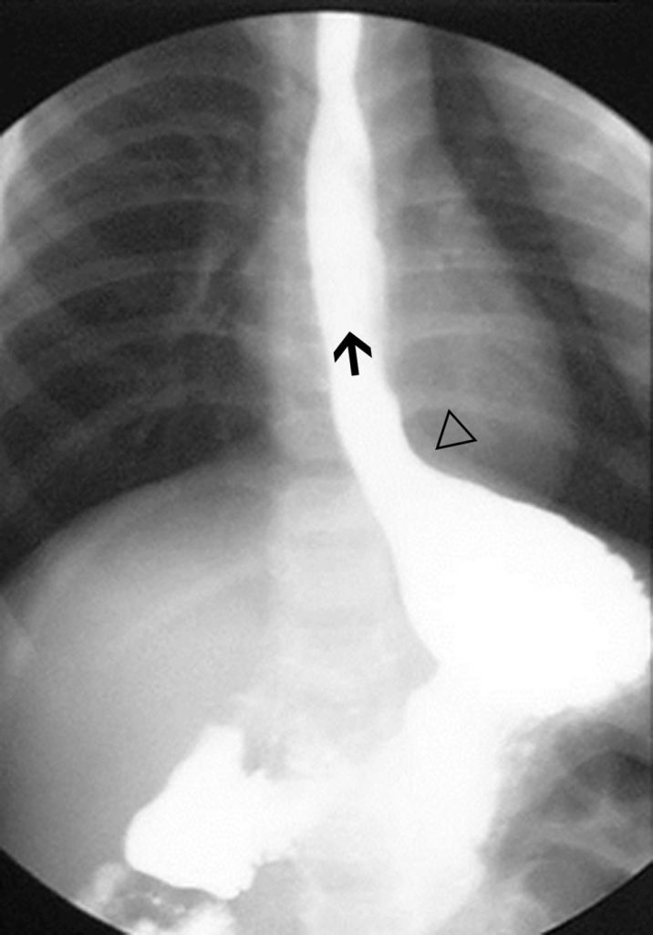
Le transit œsogastroduodénal va montrer en scopie une remontée de l’estomac vers l’œsophage du produit de contraste baryté préalablement ingéré par l’enfant (par sonde œsophagienne, biberon ou verre suivant l’âge de l’enfant) (figure 13.1). La visualisation du reflux n’est pas constante et le fait de ne pas en voir n’élimine pas le diagnostic.


Fig. 13.1 Reflux gastro-œsophagien chez un nourrisson avec une malrotation intestinale.
Reflux massif du produit de contraste baryté mis en place dans l’estomac par une sonde nasogastrique retirée après le remplissage. Le cardia (flèche) est béant. L’incisure du cardia (angle de His) (tête de flèche) est très ouverte.
Source : CERF, CNEBMN, 2022.
L’importance du reflux (en volume et en hauteur dans l’œsophage) est notée.
Des anomalies anatomiques peuvent être associées : ouverture de l’angle entre l’œsophage et la grosse tubérosité gastrique (incisure du cardia ou angle de His), béance du cardia.
La vitesse de la vidange gastrique peut être ralentie.
Reflux gastro-œsophagien et hernie hiatale chez l’adulte
I. Généralités

Le diagnostic est clinique et la confirmation est faite par la pH-métrie. L’endoscopie va rechercher une complication (œsophagite peptique, voire sténose peptique). L’imagerie par le transit œsogastroduodénal n’a qu’un intérêt limité.
II. Stratégie d’exploration en imagerie
Il n’y a pas de place pour l’imagerie dans le diagnostic positif du reflux. L’imagerie permettra de confirmer ou d’infirmer l’existence d’une hernie hiatale, de préciser son type et de donner les éléments morphologiques utiles à la prise de décision thérapeutique.
III. Sémiologie
1. Transit œsogastrique
Ses indications chez l’adulte restent limitées à certaines évaluations morphologiques principalement périopératoires, avec une sémiologie identique à celle de l’enfant.
2. Scanner thoracoabdominal
Le hiatus œsophagien du diaphragme sera le plus souvent élargi et contiendra de l’estomac, qui passera en position sus-diaphragmatique (figure 13.2). La position de la jonction œsogastrique sera bien identifiée.

Points clés
- L’imagerie n’a pas de place dans le diagnostic positif de reflux gastro-œsophagien.
- Le transit œsogastroduodénal peut être demandé chez l’enfant en cas de reflux gastro-œsophagien pathologique, à la recherche d’une cause organique ou dans un contexte périopératoire.
