Plan de chapitre
ITEM 297 – Cancer de l’enfant : particularités épidémiologiques, diagnostiques et thérapeutiques
ITEM 307 – Tumeurs des os primitives et secondaires
I. Généralités
II. Stratégie d’exploration en imagerie
III. Sémiologie
Situations de départ
- 17 Amaigrissement.
- 21 Asthénie.
- 26 Anomalies de la croissance staturo-pondérale.
- 67 Douleurs articulaires.
- 68 Boiterie.
- 69 Claudication intermittente d’un membre.
- 71 Douleur d’un membre (supérieur ou inférieur).
- 72 Douleur du rachis (cervical, dorsal ou lombaire).
- 228 Découverte d’une anomalie osseuse et articulaire à l’examen d’imagerie médicale.
Items, hiérarchisation des connaissances
ITEM 297 – Cancer de l’enfant : particularités épidémiologiques, diagnostiques et thérapeutiques
| Rang | Rubrique | Intitulé | Descriptif |
| Prévalence, épidémiologie | Particularités épidémiologiques des tumeurs malignes de l’enfant* | Prévalence des cancers, principaux cancers selon l’âge | |
| Prévalence, épidémiologie | Connaître les principales prédispositions génétiques et autres facteurs de risque aux tumeurs malignes de l’enfant* | ||
| Diagnostic positif | Connaître les circonstances et signes cliniques devant faire évoquer une tumeur cérébrale chez l’enfant* | ||
| Diagnostic positif | Connaître les circonstances et signes cliniques devant faire évoquer une tumeur abdominale chez l’enfant* | ||
| Diagnostic positif | Connaître les circonstances et signes cliniques devant faire évoquer une tumeur thoracique chez l’enfant* | ||
| Diagnostic positif | Connaître les circonstances et signes cliniques devant faire évoquer une tumeur osseuse chez l’enfant* | ||
| Examens complémentaires | Indication et objectifs des examens d’imagerie devant une situation évocatrice de cancer de l’enfant (tumeurs cérébrale, abdominale, thoracique et osseuse) | ||
ITEM 307 – Tumeurs des os primitives et secondaires
| Rang | Rubrique | Intitulé |
| Définition | Connaître les différentes familles de tumeurs osseuses (primitive, secondaire)* | |
| Diagnostic positif | Connaître les circonstances de découverte, les manifestations cliniques et radiologiques des tumeurs osseuses* | |
| Examens complémentaires | Connaître le bilan biologique à pratiquer devant une suspicion de tumeur osseuse | |
| Examens complémentaires | Connaître les principaux examens d’imagerie à pratiquer devant une suspicion de tumeur osseuse | |
| Prise en charge | Savoir orienter un patient vers une prise en charge spécialisée* | |
| Prévalence, épidémiologie | Connaître les cancers qui sont le plus fréquemment responsable des métastases osseuses et les circonstances de découverte* | |
| Diagnostic positif | Connaître les principaux éléments de l’enquête étiologique devant une métastase osseuse inaugurale* |
I. Généralités

Les tumeurs osseuses de l’enfant sont rares ; on distingue les tumeurs bénignes et les tumeurs malignes primitives ou secondaires. Des pathologies infectieuse, inflammatoire ou traumatique peuvent avoir une présentation pseudo-tumorale.
Les principales tumeurs osseuses bénignes de l’enfant sont : l’ostéome ostéoïde, l’ostéoblastome, l’ostéochondrome, le fibrome non ossifiant, les kystes osseux (essentiels ou anévrismaux primitifs) et la dysplasie fibreuse.
Les principales tumeurs malignes primitives de l’enfant et l’adolescent sont l’ostéosarcome et le sarcome d’Ewing. Les localisations secondaires sont plus rares que chez l’adulte (liées principalement aux hémopathies malignes ou, parmi les tumeurs solides, aux neuroblastomes ou à d’autres sarcomes, principalement rhabdomyosarcomes et sarcome d’Ewing).
L’histiocytose langerhansienne constitue une entité à part ; elle peut avoir une localisation osseuse unique (granulome éosinophile) ou être plus diffuse, voire systémique chez le petit enfant.
II. Stratégie d’exploration en imagerie

Les radiographies de la région anatomique suspecte constituent toujours la première étape et peuvent suffire pour porter un diagnostic. Si les radiographies sont normales chez un enfant symptomatique, une TDM, une IRM ou une scintigraphie osseuse sont discutées. La TDM permet une analyse plus fine de la structure osseuse dans les régions où les radiographies simples sont moins performantes (crâne, rachis, bassin, paroi thoracique). L’imagerie évalue en premier lieu le caractère « agressif » ou « lentement évolutif » de la lésion, le diagnostic définitif des lésions agressives reposant sur l’histologie obtenue par biopsie chirurgicale ou à l’aiguille guidée par l’imagerie.
L’IRM est systématique avant biopsie en cas de lésion agressive pour le bilan d’extension locorégional (envahissement de la médullaire osseuse et des tissus mous) et à réaliser au mieux avant la biopsie.
Le bilan d’extension des lésions primitives malignes repose sur le scanner thoracique (métastases pulmonaires) et la médecine nucléaire (métastases osseuses et médullaires) avec le TEP au 18FDG ou la scintigraphie osseuse.
III. Sémiologie
Les radiographies simples analysent pour chaque lésion :
- la localisation de la lésion (épiphysaire, métaphysaire ou diaphysaire) et sa taille ;
- la matrice tumorale : ostéolytique (son type : géographique, mitée ou perméative) et/ou ostéocondensante ;
- les contours de la lésion : nets et condensés (lésion peu agressive, lentement évolutive) (figure 120.1), nets non condensés (lésion moyennement évolutive) ou mal limités (lésion agressive ou rapidement évolutive) (figure 120.2) ;


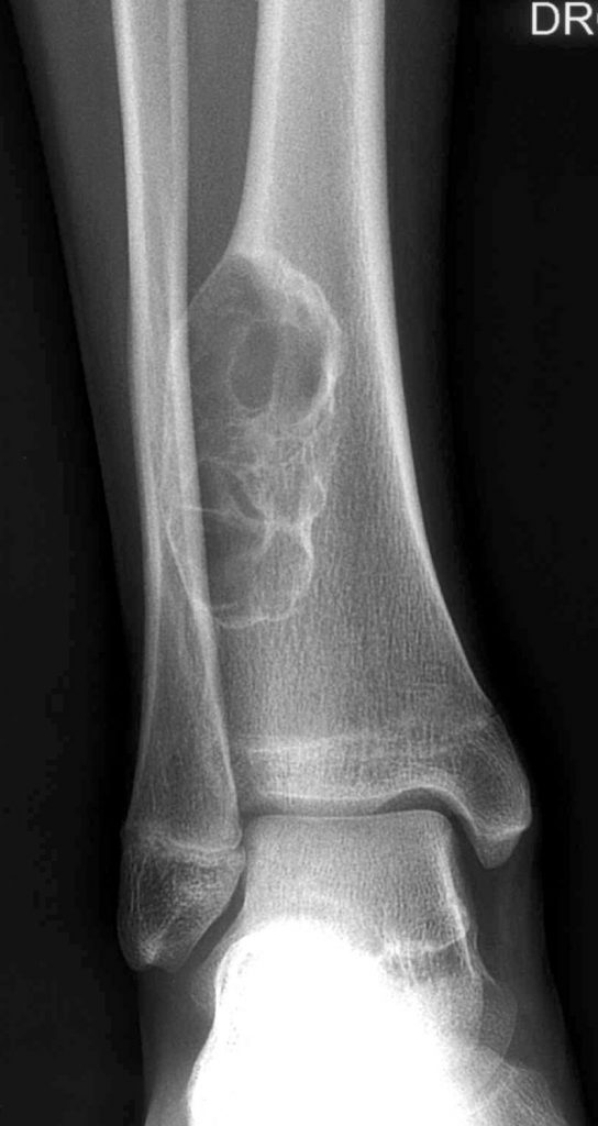
Fig. 120.1 Radiographie de face du tiers inférieur du tibia.
Lésion lentement évolutive, condensée en périphérie, à bords nets, intracorticale, témoignant d’une lésion bénigne et correspondant à un fibrome non ossifiant tibial inférieur.
Source : CERF, CNEBMN, 2022.


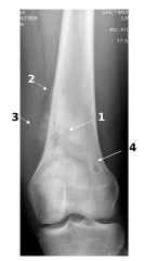
Fig. 120.2 Radiographie de face du tiers inférieur du fémur chez un patient de 12 ans.
Il existe une ostéolyse géographique irrégulière, mal limitée, avec des zones d’ostéocondensation (1). La lésion envahit les tissus mous adjacents (2), avec une réaction périostée plurilamellaire interrompue (un éperon ou triangle de Codman) (3). L’âge, la localisation métaphysaire, le caractère très agressif et l’existence d’une matrice tumorale calcifiée suggèrent un ostéosarcome. Une telle lésion impose une prise en charge oncologique spécialisée, un bilan d’extension locorégional et une biopsie. Pour mémoire, présence d’une lésion bénigne : fibrome non ossifiant condylien interne (4).
Source : CERF, CNEBMN, 2022.
- la réaction corticopériostée : spiculée (agressive), multilamellaire interrompue (éperon de Codman, agressif), lamellaire épaisse, continue (moins agressive) ;
- l’existence d’une rupture de la corticale (lésion agressive), d’une expansion corticale (lésion peu agressive) ;
- l’existence d’un envahissement des tissus mous adjacents.
L’analyse est identique dans les cas où la tomodensitométrie s’avère indispensable.
Une lésion rapidement évolutive et/ou radiologiquement agressive n’est pas systématiquement maligne mais elle justifie généralement une biopsie.
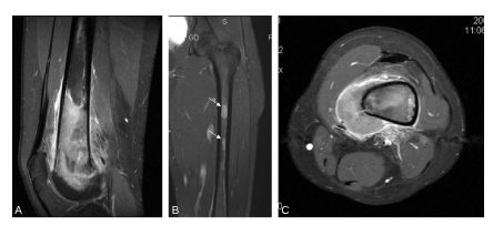
L’IRM précise l’extension intramédullaire de la lésion, l’atteinte éventuelle du cartilage de croissance, l’extension épiphysaire (figure 120.3A), l’existence d’une métastase sur le même os (skip-métastase) (figure 120.3B), l’extension dans les tissus mous adjacents (loges musculaires, articulations, structures vasculo-nerveuses) (figure 120.3C).


Fig. 120.3 Bilan d’extension locorégional par IRM.
L’IRM confirme la lésion évolutive du tiers inférieur du fémur s’étendant dans la diaphyse et dans l’épiphyse (coupes sagittale A et coronale B en T1 gadolinium saturation de graisse), avec la présence de « skip-métastases » dans la médullaire (B, flèches), et une atteinte des tissus mous (C, coupe axiale T1 gadolinium saturation de graisse).
Source : CERF, CNEBMN, 2022.
Points clés
- Les radiographies de la région anatomique suspecte constituent toujours la première étape et peuvent suffire pour porter un diagnostic.
- Si les radiographies sont normales chez un enfant symptomatique, une TDM, une IRM ou une scintigraphie osseuse seront discutées.
- L’IRM est systématique avant biopsie en cas de lésion agressive pour le bilan d’extension locorégional.
- Le bilan d’extension des lésions primitives malignes repose sur le scanner thoracique (métastases pulmonaires) et la médecine nucléaire (métastases osseuses et médullaires) avec le TEP au 18FDG ou la scintigraphie osseuse.
