Plan de chapitre
ITEM 156 – Infections ostéoarticulaires de l’enfant et de l’adulte
I. Généralités
II. Stratégie d’exploration en imagerie
Situations de départ
- 36 Douleur de la région lombaire.
- 44 Hyperthermie/fièvre.
- 54 Œdème localisé ou diffus.
- 56 Raideur articulaire.
- 66 Apparition d’une difficulté à la marche.
- 67 Douleurs articulaires.
- 68 Boiterie.
- 70 Déformation articulaire.
- 71 Douleur d’un membre (supérieur ou inférieur).
- 72 Douleur du rachis (cervical, dorsal ou lombaire).
- 87 Grosse jambe rouge aiguë.
- 203 Élévation de la protéine C-réactive (CRP).
- 228 Découverte d’une anomalie osseuse et articulaire à l’examen d’imagerie médicale.
Item, hiérarchisation des connaissances
ITEM 156 – Infections ostéoarticulaires de l’enfant et de l’adulte
| Rang | Rubrique | Intitulé | |
| Définition | Savoir définir les différentes entités cliniques d’infections ostéoarticulaires* | ||
| Prévalence, épidémiologie | Connaître l’épidémiologie des infections ostéoarticulaires* | Prévalence, terrain, facteurs favorisants, morbidité | |
| Éléments physiopathologiques | Connaître les mécanismes des infections ostéoarticulaires* | Voies d’inoculation, portes d’entrée infectieuses: arthrite, spondylodiscite, ostéite, osteomyélite | |
| Étiologie | Connaître les agents infectieux responsables des infections ostéoarticulaires selon le terrain et le mode de contamination* | ||
| Diagnostic positif | Identifier les signes cliniques d’infections ostéoarticulaires (selon leur localisation la plus fréquente chez l’enfant et chez l’adulte) | ||
| Examens complémentaires | Connaître les examens d’imagerie à visée diagnostique et leurs limites | à faire avec les spécialistes de l’imagerie | |
| Examens complémentaires | Connaître les indications de la ponction articulaire | ||
| Prise en charge | Connaître les mesures thérapeutiques autres que les antibiotiques* | Immobilisation/rééducation/discussion autres mesures | |
| Identifier une urgence | L’arthrite septique est une urgence thérapeutique* | ||
| Diagnostic positif | Connaître les signes cliniques d’arthrite septique aiguë | ||
| Suivi et/ou pronostic | Connaître les complications d’une arthrite septique aiguë* | ||
| Prise en charge | Connaître les principes du traitement des arthrites septiques dont l’antibiothérapie de première intention* | ||
| Identifier une urgence | La spondylodiscite est une urgence diagnostique* | Prise en charge urgente et hospitalière | |
| Diagnostic positif | Connaître les signes cliniques d’une spondylodiscite* | ||
| Suivi et/ou pronostic | Connaître les complications d’une spondylodiscite* | ||
| Examens complémentaires | Connaître les examens complémentaires à réaliser pour une spondylodiscite | ||
| Diagnostic positif | Connaître les signes cliniques d’une ostéite et d’une ostéomyélite aiguë* | ||
| Contenu multimédia | Photographie d’une infection de l’orteil* | ||
| Prise en charge | Connaître les principes de la prise en charge d’une ostéite et d’une ostéomyélite aiguë* | ||
I. Généralités

L’ostéomyélite correspond à une localisation septique intraosseuse. Chez l’enfant, elle se localise principalement au niveau des métaphyses. Chez le nourrisson, il s’agit toujours d’ostéoarthrites.
C’est une urgence thérapeutique car l’infection peut mettre en jeu les pronostics vital et fonctionnel.
Elle se traduit par une impotence fonctionnelle le plus souvent fébrile dont l’installation peut être brutale ou progressive, et s’accompagne d’un œdème local. L’absence de fièvre n’élimine pas l’infection, en particulier chez le petit enfant.
II. Stratégie d’exploration en imagerie

La radiographie toujours effectuée est le plus souvent normale au stade précoce de l’infection (figure 118.1A).



Fig. 118.1 Ostéomyélite aiguë.
Radiographie de profil de la cheville (A) : aspect normal des différents segments osseux. IRM fortement pondérée T2 dans la même incidence (B), faite le même jour que le cliché radiographique : important œdème diffus en hypersignal cernant une zone abcédée d’hypersignal plus intense (flèche).
Source : CERF, CNEBMN, 2022.
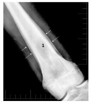
À un stade plus tardif apparaissent des signes d’ostéolyse métaphysaire et des appositions périostées (figure 118.2).


Fig. 118.2 Ostéomyélite chronique.
Radiographie de l’extrémité inférieure du fémur gauche de face avec une lacune centromédullaire bien limitée (1) et des appositions périostées continues épaisses en regard (flèches).
Source : CERF, CNEBMN, 2022.

L’échographie peut mettre en évidence un abcès sous-périosté. Une échographie normale n’élimine pas l’infection osseuse.

La scintigraphie osseuse (figure 118.3) et l’IRM (figure 118.1B) sont précocement perturbées et sont donc très sensibles pour le diagnostic d’ostéomyélite.


Fig. 118.3 Aspect scintigraphique d’ostéomyélite de la métaphyse interne fémorale gauche.
L’infection se fait le plus souvent par voie hématogène et débute au niveau de la métaphyse qui ici fixe le traceur isotopique (tache noire).
Source : CERF, CNEBMN, 2022.
La scintigraphie présente l’intérêt de ne pas nécessiter de sédation et permet une analyse « corps entier » pour une même irradiation. L’IRM, à la différence de la scintigraphie, est non irradiante mais nécessite une sédation entre 6 mois et 4 à 5 ans. La résolution spatiale de l’IRM et sa capacité à également obtenir une information « corps entier » en font l’examen de choix en dehors de ces tranches d’âge.
Points clés
- En cas d’infection ostéoarticulaire, une radiographie est toujours effectuée en première intention.
- L’échographie, en seconde intention, peut mettre en évidence un abcès sous-périosté.
- La scintigraphie osseuse et l’IRM sont précocement perturbées et sont donc très sensibles pour le diagnostic d’ostéomyélite.
