Plan de chapitre
ITEM 299 – Tumeurs intracrâniennes
ITEM 100 – Céphalée inhabituelle aiguë et chronique chez l’adulte et l’enfant
ITEM 297 – Cancer de l’enfant : particularités épidémiologiques, diagnostiques et thérapeutiques
I. Généralités
II. Stratégie d’exploration en imagerie
III. Sémiologie
Situations de départ
- 13 Vomissements.
- 21 Asthénie.
- 26 Anomalies de la croissance staturo-pondérale.
- 113 Puberté précoce ou retardée.
- 118 Céphalée.
- 138 Anomalie de la vision.
- 226 Découverte d’une anomalie du cerveau à l’examen d’imagerie médicale.
- 327 Annonce d’un diagnostic de maladie grave au patient et/ou à sa famille.
Items, hiérarchisation des connaissances
ITEM 299 – Tumeurs intracrâniennes
| Rang | Rubrique | Intitulé | Descriptif |
| Définition | Principaux types et localisations des tumeurs intracrâniennes* | Savoir distinguer : tumeur primitive/secondaire, de l’encéphale/des annexes, bénigne/maligne, fraquente/rare, sus- ou sous tentorielle | |
| Définition | Tumeurs primitives intracrâniennes : SNC et annexes* | Connaître la distinction entre tumeur provenant du SNC et tumeur provenant de ses annexes | |
| Définition | Connaître les principaux types histologiques des tumeurs cérébrales* | Méningiome et adénome hypophysaire, tumeurs gliales de bas grade et de haut grade (glioblastome), métastases | |
| Prévalence, épidémiologie | Tumeurs primitives intracrâniennes : différents types* | Connaître les principaux types de tumeurs primitives intracrâniennes et leur origine | |
| Diagnostic positif | Fomes et symptômes cliniques* | Connaître les principaux tableaux cliniques devant faire évoquer une tumeur intracrânienne | |
| Examens complémentaires | Connaître la stratégie d’exploration en imagerie devant une tumeur intracrânienne de l’adulte | Le scanner et l’IRM sans et avec injection permettent d’évoquer le diagnostic de tumeur mais l’IRM est plus performante pour le diagnostic et le bilan préopératoire | |
| Diagnostic positif | Tumeurs secondaires intracrâniennes : recherche du cancer primitif | Décrire la recherche systématique de cancer primitif à effectuer devant une métastase cérébrale | |
| Identifier une urgence | Savoir évoquer une HTIC, une épilepsie chez un patient porteur d’une tumeur intracérébrale | Connaître les deux principales urgences (HTIC, épilepsie) révélant ou compliquant l’évolution d’une tumeur cérébrale | |
| Suivi et/ou pronostic | Connaître les principes de la prise en charge de l’HTIC et de l’épilepsie chez un patient porteur d’une tumeur intracérébrale* | ||
ITEM 100 – Céphalée inhabituelle aiguë et chronique chez l’adulte et l’enfant
| Rang | Rubrique | Intitulé | Descriptif |
| Diagnostic positif | Savoir diagnostiquer une céphalée aiguë et une céphalée chronique* | ||
| Identifier une urgence | Connaître les principales causes de céphalées nécessitant une prise en charge en urgence et leur présentation clinique* | À début brutal, à début progressif | |
| Étiologie | Énoncer les principales causes de céphalée aiguë et les caractéristiques cliniques propres à chacune* | ||
| Étiologie | Énoncer les principales causes de céphalée chronique (épisodique ou quotidienne) et les caractéristiques cliniques propres à chacune* | Chez l’adulte et l’enfant | |
| Étiologie | Énoncer les principales causes des céphalées récentes d’aggravation progressive et les caractéristiques cliniques propres à chacune* | ||
| Identifier une urgence | Discuter l’indication d’une hospitalisation et d’une ponction lombaire devant une céphalée aiguë en connaissant la pertinence de cet examen* | ||
| Prise en charge | Savoir mettre en route un traitement des céphalées aux urgences* | ||
| Examens complémentaires | Indication et pertinence de l’imagerie devant une céphalée aiguë et chronique chez l’adulte et l’enfant | ||
| Prise en charge | Connaître les principes de traitement et de prise en charge des céphalées primaires en dehors du contexte de l’urgence* | ||
ITEM 297 – Cancer de l’enfant : particularités épidémiologiques, diagnostiques et thérapeutiques
| Rang | Rubrique | Intitulé | Descriptif |
| Prévalence, épidémiologie | Particularités épidémiologiques des tumeurs malignes de l’enfant* | Prévalence des cancers, principaux cancers selon l’âge | |
| Prévalence, épidémiologie | Connaître les principales prédispositions génétiques et autres facteurs de risque aux tumeurs malignes de l’enfant* | ||
| Diagnostic positif | Connaître les circonstances et signes cliniques devant faire évoquer une tumeur cérébrale chez l’enfant | ||
| Diagnostic positif | Connaître les circonstances et signes cliniques devant faire évoquer une tumeur abdominale chez l’enfant* | ||
| Diagnostic positif | Connaître les circonstances et signes cliniques devant faire évoquer une tumeur thoracique chez l’enfant* | ||
| Diagnostic positif | Connaître les circonstances et signes cliniques devant faire évoquer une tumeur osseuse chez l’enfant* | ||
| Examens complémentaires | Indication et objectifs des examens d’imagerie devant une situation évocatrice de cancer de l’enfant (tumeurs cérébrale, abdominale, thoracique et osseuse) | ||
I. Généralités

Le médulloblastomeest une tumeur maligne de la fosse cérébrale postérieure, appartenant au groupe des PNET (tumeurs primitives neuroectodermiques). C’est la tumeur maligne cérébrale la plus fréquente chez l’enfant. Les autres tumeurs de la fosse cérébrale postérieure à connaître sont l’astrocytome du cervelet, l’épendymome et le gliome du tronc cérébral. Soixante-quinze pour cent des médulloblastomes surviennent avant l’âge de 10 ans avec un pic de fréquence entre 5 et 8 ans. Le mode de révélation le plus fréquent est un tableau d’hypertension intracrânienne (70 à 90 % des cas), associée parfois à un syndrome cérébelleux (ataxie), plus rarement un tableau de torticolis mais dont le caractère non traumatique doit faire rechercher une tumeur de fosse postérieure. Le bilan d’extension doit rechercher des métastases leptoméningées.
Le traitement associe la chirurgie, la chimiothérapie et la radiothérapie.
II. Stratégie d’exploration en imagerie
Toute hypertension intracrânienne (HTIC) justifie une imagerie cérébrale en urgence.

En cas d’indisponibilité de l’IRM, le scanner cérébral garde sa place pour le diagnostic étiologique de l’HTIC.
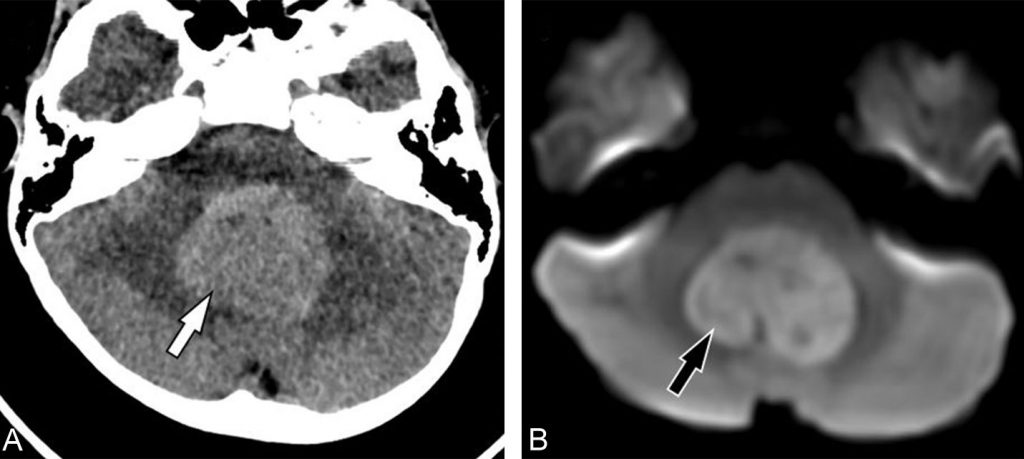
La mise en évidence d’une tumeur médiane de fosse postérieure spontanément hyperdense est caractéristique du médulloblastome (figure 113.1) et doit faire réaliser en urgence une IRM craniospinale avec injection de produit de contraste. L’injection d’un produit de contraste au scanner n’est de fait pas utile au diagnostic.



Fig. 113.1 TDM et IRM cérébrales. TDM cérébrale sans injection (A) montrant une tumeur de fosse postérieure médiane (flèche blanche). Le caractère spontanément hyperdense est en rapport avec l’hypercellularité des médulloblastomes. IRM cérébrale (B) en séquence de diffusion montrant également le caractère hautement cellulaire de ces tumeurs malignes sous forme d’un hypersignal B1000 (flèche noire).
Source : CERF, CNEBMN, 2022.
III. Sémiologie

L’IRM cérébrale est réalisée sans et après injection de produit de contraste.
La lésion est de siège médian dans 80 % des cas (développée au niveau du vermis) et latérale dans 20 % des cas (développée dans un hémisphère du cervelet). La lésion est tissulaire, hautement cellulaire en séquence de diffusion (figure 113.1), et se rehausse après injection de produit de contraste (figure 113.2). L’injection de gadolinium est indispensable pour rechercher des métastases leptoméningées cérébrales (figure 113.2) et médullaires.


Fig. 113.2 IRM cérébrale et médullaire avec injection.
Coupes axiales FLAIR (A) montrant la dilatation triventriculaire avec des signes de résorption transépendymaire (flèches blanches). Coupes sagittale T2 (B) montrant l’abaissement du plancher du troisième ventricule (flèche noire) qui signe l’importance de la dilatation triventriculaire. Coupes axiale T1 (C) après injection de gadolinium montrant le rehaussement franc de la lésion. Coupe sagittale médullaire T1 (D) après injection montrant les métastases leptoméningées.
Source : CERF, CNEBMN, 2022.
L’hydrocéphalie associée (90 %) est due au blocage du liquide cérébrospinal par la tumeur dans la fosse postérieure. Elle est sous forme d’une dilatation triventriculaire avec des signes d’augmentation de la résorption transépendymaire et un abaissement du plancher du troisième ventricule.
Points clés
- Toute hypertension intracrânienne justifie une imagerie cérébrale en urgence.
- En cas d’indisponibilité de l’IRM, le scanner cérébral garde sa place pour le diagnostic étiologique de l’hypertension intracrânienne.
