Plan de chapitre
ITEM 49 – Puberté normale et pathologique
I. Généralités
II. Stratégie d’exploration en imagerie
III. Sémiologie
Situations de départ
- 94 Troubles du cycle menstruel.
- 105 Découverte d’une malformation de l’appareil génital.
- 113 Puberté précoce ou retardée.
Item, hiérarchisation des connaissances
ITEM 49 – Puberté normale et pathologique
| Rang | Rubrique | Intitulé |
| Évaluation | Développement pubertaire normal* | |
| Définition | Définir les termes suivants pubarche, thélarche et ménarche* | |
| Éléments physiopathologiques | Connaître la valeur moyenne de la croissance pubertaire* | |
| Définition | Connaître les différents stades de Tanner* | |
| Éléments physiopathologiques | Connaître l’âge moyen de survenue de pic de croissance osseuse* | |
| Éléments physiopathologiques | Connaître les mécanismes physiologiques de la puberté masculine et féminine* | |
| Éléments physiopathologiques | Citer les deux facteurs susceptibles d’influencer la puberté (génétique et environnement)* | |
| Éléments physiopathologiques | Citer des exemples qui illustrent l’influence des facteurs génétiques et environnementaux sur la puberté* | |
| Définition | Définir la puberté précoce et la puberté avancée* | |
| Diagnostic positif | Connaître les données de l’interrogatoire et de l’examen clinique orientant vers une puberté précoce* | |
| Diagnostic positif | Savoir interpréter une courbe de croissance* | |
| Prévalence, épidémiologie | Connaître l’épidémiologie de la puberté précoce* | |
| Étiologie | Connaître les grands cadres étiologiques des pubertés précoces : origines hypothalamo-hypophysaire, ovariennes, surrénaliennes ou exogènes/environnementales* | |
| Étiologie | Connaître les étiologies précises des pubertés précoces* | |
| Étiologie | Connaître le bilan biologique à prescrire en cas de puberté précoce avérée* | |
| Diagnostic positif | Définir le retard pubertaire du garçon et de la fille* | |
| Diagnostic positif | Connaître les données de l’interrogatoire et de l’examen clinique en faveur d’un retard pubertaire* | |
| Étiologie | Connaître le bilan biologique à prescrire en cas de retard pubertaire* | |
| Étiologie | Connaître les deux grands cadres étiologiques des retards pubertaires : origines hypothalamo-hypophysaire ou gonadique* | |
| Contenu multimédia | Courbe de croissance, précocité pubertaire* | |
| Contenu multimédia | Prémature thélarche* | |
| Contenu multimédia | Adrénarche* | |
| Contenu multimédia | Puberté précoce de la fille* | |
| Examens complémentaires | Indication des examens d’imagerie devant une puberté anormale | |
| Examens complémentaires | Connaître l’objectif de l’échographie pelvienne et de la radiographie de la main et du poignet dans une puberté pathologique | |
| Examens complémentaires | Connaître les éléments d’interprétation d’un âge osseux sur une radiographie de poignet |
I. Généralités

Le syndrome de Turner correspond à une anomalie du caryotype féminin avec une formule 45,X0, responsable d’une dysgénésie gonadique. Le syndrome de Turner concerne une naissance sur 5 000. Le diagnostic de certitude repose sur le caryotype. Les autres explorations sont réalisées en fonction du contexte clinique.
Ce syndrome associe un retard de croissance, un impubérisme, un syndrome dysmorphique (pterygium colli, implantation basse des cheveux, cou court, ulna valga, thorax en entonnoir, écartement mamelonnaire, etc.), des anomalies viscérales cardiaques, rénales, osseuses, etc.
II. Stratégie d’exploration en imagerie
En présence d’un impubérisme chez une fille, il est important de demander une échographie pelvienne pour apprécier la morphologie des organes génitaux internes.
La radiographie de la main et du poignet demandée pour déterminer l’âge osseux peut évoquer le diagnostic grâce à la présence d’anomalies morphologiques osseuses.
L’IRM aortique trouve sa place au cours de la croissance quand l’échographie cardiaque devient sous-optimale pour suivre une éventuelle bicuspidie aortique.
III. Sémiologie
À l’échographie, il existe un vagin et un utérus impubères en l’absence de traitement (figure 109.1). Les ovaires peuvent être présents mais régressent très précocement. Ils peuvent ne pas être visualisés lors de l’examen.
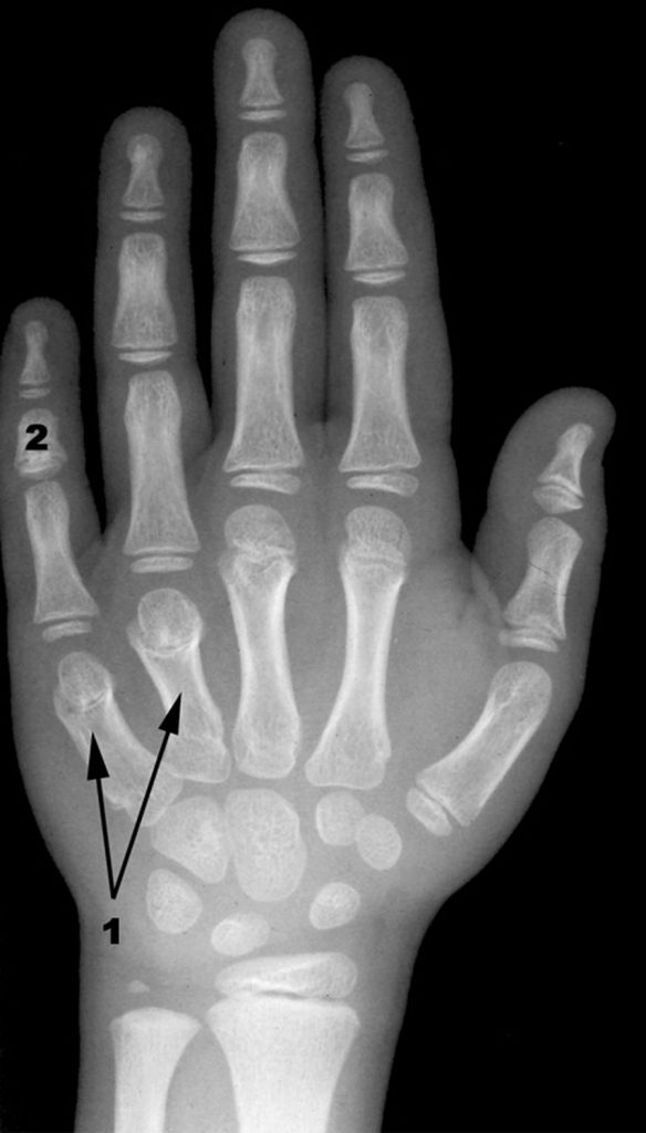
Sur la radiographie de la main, il peut exister un raccourcissement des métacarpiens (en particulier du 4e) (figure 109.2), une ascension du processus styloïde radial, une fermeture de l’angle carpien et une ostéoporose.

Fig. 109.1. Échographies du pelvis en coupe longitudinale chez deux jeunes filles de 13 ans.
Aspect normal d’un utérus (A, flèches) à cet âge. L’échographie (B) montre, en arrière de la vessie, un utérus impubère (flèches) de petite taille chez une patiente présentant un syndrome de Turner.
Source : CERF, CNEBMN, 2022.

Fig. 109.2. Radiographie de la main.
1. Brachymétacarpie des 4e et 5e rayons. 2. Clinodactylie de la 2e phalange du 5e doigt.
Source : CERF, CNEBMN, 2022.
Points clés
- En présence d’un impubérisme chez une fille, une échographie pelvienne doit être réalisée pour apprécier la morphologie des organes génitaux internes.
- La radiographie de la main et du poignet demandée pour déterminer l’âge osseux peut évoquer le diagnostic de syndrome de Turner grâce à la présence d’anomalies morphologiques osseuses.
- L’IRM aortique trouve sa place au cours de la croissance quand l’échographie cardiaque devient sous-optimale pour suivre une éventuelle bicuspidie aortique dans le cadre d’un syndrome de Turner.
