Plan de chapitre
ITEM 16 – Infections urinaires de l’enfant et de l’adulte
I. Généralités
II. Stratégie d’exploration en imagerie
III. Sémiologie
Situations de départ
- 4 Douleur abdominale.
- 36 Douleur de la région lombaire.
- 44 Hyperthermie/fièvre.
- 96 Brulûre mictionnelle.
- 182 Analyse de la bandelette urinaire.
- 189 Analyse d’un examen cytobactériologique des urines (ECBU).
- 203 Élévation de la protéine C-réactive (CRP).
- 224 Découverte d’une anomalie abdominale à l’examen d’imagerie médicale.
Item, hiérarchisation des connaissances
ITEM 16 – Infections urinaires de l’enfant et de l’adulte
| Rang | Rubrique | Intitulé | Descriptif |
| Définition | Savoir définir les différents types d’infections des voies urinaires simples ou à risque de complication et leur fréquence respective* | Distinguer cystite, pyélonéphrite, infections urinaires simples (femme jeune sans facteur de risque), graves et infections urinaires à risque de complications, infections urinaires masculines, cystites récidivantes et recherche de facteurs de risque de complication | |
| Étiologie | Connaître les principaux agents pathogènes à l’origine des infections urinaires et les principaux mécanismes de résistance aux antibiotiques* | Connaître les résistances aux antibiotiques de E. coli communautaire, connaître les facteurs de risque de résistance aux fluoroquinolones et aux bêtalactamines | |
| Examens complémentaires | Indications des examens complémentaires de première intention en fonction du type d’infection urinaire | BU, ECBU, échographie | |
| Examens complémentaires | Indications des examens complémentaires de deuxième intention en fonction du type d’infection urinaire | Scanner, IRM, cystographie, cystoscopie, scintigraphie | |
| Examens complémentaires | Connaître les principes de réalisation de la bandelette urinaire et son interprétation* | ||
| Examens complémentaires | Connaître les principes de réalisation et l’interprétation de l’ECBU* | Interprétation des résultats, dont les seuils significatifs des bactériuries, les indications et quand ne pas faire d’ECBU systématique Connaître les causes de leucocyturie aseptique | |
| Définition | Connaître la définition d’une colonisation urinaire* | Connaître les mécanismes des colonisations urinaires, dont colonisation de sonde urinaire | |
| Diagnostic positif | Connaître les critères diagnostiques des cystites aiguës (simple, à risque de complication)* | Connaître le potentiel évolutif des cystites aiguës simples ; savoir éliminer les diagnostics différentiels | |
| Diagnostic positif | Connaître les critères diagnostiques des pyélonéphrites aiguës (clinique, biologique, radiologique) avec ou sans signe de gravité (algorithme)* | Connaître la différence entre une pyélonéphrite simple et à risque de complication, savoir reconnaître les risques de complications d’une pyélonéphrite, connaître les examens complémentaires à réaliser au cours d’une pyélonéphrite, en urgence, en différé, savoir poser l’indication d’un recours ; savoir éliminer les diagnostics différentiels | |
| Prise en charge | Connaître le traitement des cystites aiguës simple dont suivi et prévention des récidives* | ||
| Prise en charge | Connaître le traitement des pyélonéphrites aiguës simples* | ||
| Prise en charge | Connaître le principe de la prise en charge des pyélonéphrites aiguës compliquées* | ||
| Diagnostic positif | Connaître les critères diagnostiques des infections urinaires masculines (clinique, biologiques, radiologique) | Savoir poser les indications des examens complémentaires des infections urinaires masculines, connaître les complications des infections urinaires masculines, savoir éliminer les diagnostics différentiels | |
| Prise en charge | Connaître le traitement des infections urinaires masculines et connaître les modalités de leur prévention* | Connaître les conditions de prise en charge urologique des infections urinaires masculines | |
| Prise en charge | Connaître le traitement des infections urinaires au cours de la grossesse et son suivi* | Connaître les modalités de suivi des infections urinaires au cours de la grossesse, savoir éliminer les diagnostics différentiels | |
| Prise en charge | Connaître les spécificités de l’infection urinaire de la personne âgée* | Indications de l’ECBU, observance | |
| Diagnostic positif | Savoir évoquer une infection urinaire de l’enfant : enquête clinique* | Situations et symptômes devant faire évoquer le diagnostic, critères diagnostiques d’une infection urinaire de l’enfant (haute, basse), savoir éliminer les diagnostics différentiels | |
| Examens complémentaires | Savoir prescrire le ou les examens complémentaires chez l’enfant | Particularités du recueil des urines, indications de la bandelette urinaire, de l’ECBU, de l’échographie rénale, critères diagnostiques d’une infection urinaire de l’enfant (haute, basse) | |
| Prise en charge | Prise en charge thérapeutique d’une infection urinaire de l’enfant | ||
| Examens complémentaires | Connaître les examens complémentaires à réaliser dans les infections urinaires récidivantes | Connaître les étiologies, les facteurs favorisants et les examens complémentaires, (cystographie, cystoscopie, scanner) à réaliser | |
| Prise en charge | Connaître les principes du traitement des cystites récidivantes (curatif médical, préventif)* | Dont cystites post-coïtales, mesures hygièno-diététique, indication et surveillance des traitements prolongés | |
| Prévalence, épidémiologie | Infections urinaires de l’enfant : épidémiologie* | ||
I. Généralités

Le syndrome de la jonction pyélo-urétérale correspond à un défaut de progression de l’urine entre le pelvis rénal et l’uretère. L’obstacle est le plus souvent fonctionnel, parfois organique. L’obstacle au niveau de la jonction pyélo-urétérale est responsable d’une hydronéphrose, avec dilatation des cavités excrétrices.
En fonction du degré de stase, il existe un retentissement sur la fonction rénale qui peut, au maximum, induire des lésions de dysplasie lorsque l’obstacle est anténatal et sévère.
II. Stratégie d’exploration en imagerie
Les examens à demander sont :
- l’échographie de l’appareil urinaire (figure 108.1) ;

Fig. 108.1. Échographie du rein gauche : coupes transversale (A) et longitudinale (B).
L’échographie montre une dilatation du pelvis rénal (1) associée à une dilatation des calices (2) communiquant avec le bassinet. Il existe une réduction de l’index parenchymateux en regard (3). La coupe réalisée au niveau pelvien ne montrait pas de dilatation du bas uretère.
Source : CERF, CNEBMN, 2022.
et la scintigraphie rénale dynamique au 99mTc-MAG3 pour quantifier la fonction rénale relative et apprécier la qualité du drainage pour quantifier l’importance de l’obstacle.
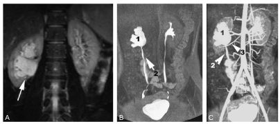
L’uro-IRM permet de réaliser une étude anatomique et fonctionnelle des reins (figure 108.2). La découverte d’un syndrome de jonction chez le grand enfant doit faire rechercher l’existence d’une artère polaire inférieure responsable de l’obstacle.

Fig. 108.2 Syndrome de la jonction pyélo-urétérale en uro-IRM : coupe coronale pondérée T2, puis images réalisées après injection de gadolinium.
En T2 (A), il existe une dilatation du pelvis rénal droit (flèche). Sur l’image « urographique » (B), le pelvis rénal (1) est dilaté, contrastant avec l’uretère de calibre normal (2). L’image (C) correspond à la superposition du temps angiographique et du temps urographique ; le pelvis rénal dilaté (1) et l’uretère normal (2) sont retrouvés ; il existe une artère polaire inférieure (3) qui croise la jonction pyélo-urétérale et qui est responsable de l’obstacle.
Source : CERF, CNEBMN, 2022.
III. Sémiologie
L’échographie de l’appareil urinaire permet de retrouver la dilatation des cavités excrétrices et de situer le niveau de l’obstacle (absence de dilatation de l’uretère). Elle apprécie également l’épaisseur du parenchyme rénal et recherche chez le grand enfant une artère polaire inférieure.

La scintigraphie rénale dynamique au 99mTc-MAG3 permet de mesurer les fonctions rénales relatives et donc de détecter une altération de fonction secondaire à la présence d’un obstacle.
Points clés
- Les examens à demander devant une suspicion de syndrome de la jonction pyélo-urétérale sont l’échographie de l’appareil urinaire et la scintigraphie rénale dynamique au 99mTc-MAG3.
- L’uro-IRM permet de réaliser une étude anatomique et fonctionnelle des reins.
- La découverte d’un syndrome de jonction chez le grand enfant doit faire rechercher l’existence d’une artère polaire inférieure responsable de l’obstacle.
