Plan de chapitre
ITEM 161 – Infections urinaires de l’enfant et de l’adulte
I. Généralités
II. Stratégie d’exploration en imagerie
III. Sémiologie
Situations de départ
- 4 Douleur abdominale.
- 23 Anomalie de la miction.
- 36 Douleur de la région lombaire.
- 44 Hyperthermie/fièvre.
- 96 Brûlure mictionnelle.
- 182 Analyse de la bandelette urinaire.
- 203 Élévation de la protéine C-réactive (CRP).
- 224 Découverte d’une anomalie abdominale à l’examen d’imagerie médicale.
- 308 Dépistage néonatal systématique.
Item, hiérarchisation des connaissances
ITEM 161 – Infections urinaires de l’enfant et de l’adulte
| Rang | Rubrique | Intitulé | Descriptif |
| Définition | Savoir définir les différents types d’infections des voies urinaires simples ou à risque de complication et leur fréquence respective* | Distinguer cystite, pyélonéphrite, infections urinaires simples (femme jeune sans facteur de risque), graves et infections urinaires à risque de complications, infections urinaires masculines, cystites récidivantes et recherche de facteurs de risque de complication | |
| Étiologie | Connaître les principaux agents pathogènes à l’origine des infections urinaires et les principaux mécanismes de résistance aux antibiotiques* | Connaître les résistances aux antibiotiques de E. coli communautaire, connaître les facteurs de risque de résistance aux fluoroquinolones et aux bêtalactamines | |
| Examens complémentaires | Indications des examens complémentaires de première intention en fonction du type d’infection urinaire | BU, ECBU, échographie | |
| Examens complémentaires | Indications des examens complémentaires de deuxième intention en fonction du type d’infection urinaire | Scanner, IRM, cystographie, cystoscopie, scintigraphie | |
| Examens complémentaires | Connaître les principes de réalisation de la bandelette urinaire et son interprétation* | ||
| Examens complémentaires | Connaître les principes de réalisation et l’interprétation de l’ECBU* | Interprétation des résultats, dont les seuils significatifs des bactériuries, les indications et quand ne pas faire d’ECBU systématique Connaître les causes de leucocyturie aseptique | |
| Définition | Connaître la définition d’une colonisation urinaire* | Connaître les mécanismes des colonisations urinaires, dont colonisation de sonde urinaire | |
| Diagnostic positif | Connaître les critères diagnostiques des cystites aiguës (simple, à risque de complication) | Connaître le potentiel évolutif des cystites aiguës simples ; savoir éliminer les diagnostics différentiels | |
| Diagnostic positif | Connaître les critères diagnostiques des pyélonéphrites aiguës (clinique, biologique, radiologique) avec ou sans signe de gravité (algorithme) | Connaître la différence entre une pyélonéphrite simple et à risque de complication, savoir reconnaître les risques de complications d’une pyélonéphrite, connaître les examens complémentaires à réaliser au cours d’une pyélonéphrite, en urgence, en différé, savoir poser l’indication d’un recours ; savoir éliminer les diagnostics différentiels | |
| Prise en charge | Connaître le traitement des cystites aiguës simple dont suivi et prévention des récidives* | ||
| Prise en charge | Connaître le traitement des pyélonéphrites aiguës simples* | ||
| Prise en charge | Connaître le principe de la prise en charge des pyélonéphrites aiguës compliquées* | ||
| Diagnostic positif | Connaître les critères diagnostiques des infections urinaires masculines (clinique, biologiques, radiologique)* | Savoir poser les indications des examens complémentaires des infections urinaires masculines, connaître les complications des infections urinaires masculines, savoir éliminer les diagnostics différentiels | |
| Prise en charge | Connaître le traitement des infections urinaires masculines et connaître les modalités de leur prévention* | Connaître les conditions de prise en charge urologique des infections urinaires masculines | |
| Prise en charge | Connaître le traitement des infections urinaires au cours de la grossesse et son suivi* | Connaître les modalités de suivi des infections urinaires au cours de la grossesse, savoir éliminer les diagnostics différentiels | |
| Prise en charge | Connaître les spécificités de l’infection urinaire de la personne âgée* | Indications de l’ECBU, observance | |
| Diagnostic positif | Savoir évoquer une infection urinaire de l’enfant : enquête clinique* | Situations et symptômes devant faire évoquer le diagnostic, critères diagnostiques d’une infection urinaire de l’enfant (haute, basse), savoir éliminer les diagnostics différentiels | |
| Examens complémentaires | Savoir prescrire le ou les examens complémentaires chez l’enfant | Particularités du recueil des urines, indications de la bandelette urinaire, de l’ECBU, de l’échographie rénale, critères diagnostiques d’une infection urinaire de l’enfant (haute, basse) | |
| Prise en charge | Prise en charge thérapeutique d’une infection urinaire de l’enfant* | ||
| Examens complémentaires | Connaître les examens complémentaires à réaliser dans les infections urinaires récidivantes | Connaître les étiologies, les facteurs favorisants et les examens complémentaires, (cystographie, cystoscopie, scanner) à réaliser | |
| Prise en charge | Connaître les principes du traitement des cystites récidivantes (curatif médical, préventif)* | Dont cystites post-coïtales, mesures hygièno-diététique, indication et surveillance des traitements prolongés | |
| Prévalence, épidémiologie | Infections urinaires de l’enfant : épidémiologie* | ||
I. Généralités

Le reflux vésico-urétéral est l’uropathie malformative la plus fréquente chez l’enfant. Il s’agit d’une anomalie de la jonction urétérovésicale, conduisant à un reflux d’urine de la vessie vers l’uretère.
Un reflux vésico-urétéral sera recherché :
- en cas de pyélonéphrite récidivante ;
- en cas de pyélonéphrite avec échographie anormale laissant supposer un reflux de haut grade (urétéro-hydronéphrose, hypo/dysplasie rénale).
L’évolution du reflux est variable :
- soit vers la disparition du reflux dans la petite enfance du fait d’une maturation de la jonction urétérovésicale ;
- soit vers la persistance du reflux avec risque de néphropathie de reflux et d’insuffisance rénale secondaire.
II. Stratégie d’exploration en imagerie

La cystographie est l’examen de référence.
Elle permet d’affirmer le diagnostic, de grader (figure 107.1) et de surveiller le reflux.


Fig. 107.1 Cystographie rétrograde.
Il existe un reflux vésico-urétéral bilatéral, l’urine remontant de la vessie (1) dans les deux uretères (2) et dans les cavités excrétrices. À gauche, les calices restent concaves : reflux de grade 2 (3) ; à droite, ils ont perdu leur concavité : reflux de grade 3 (4).
Source : CERF, CNEBMN, 2022.
La cystographie rétrograde est réalisée après mise en place d’une sonde vésicale. Certains centres préfèrent avoir recours à la ponction sus-pubienne. C’est un examen invasif, à risque infectieux et traumatique. L’indication et la réalisation sont posées en milieu spécialisé.
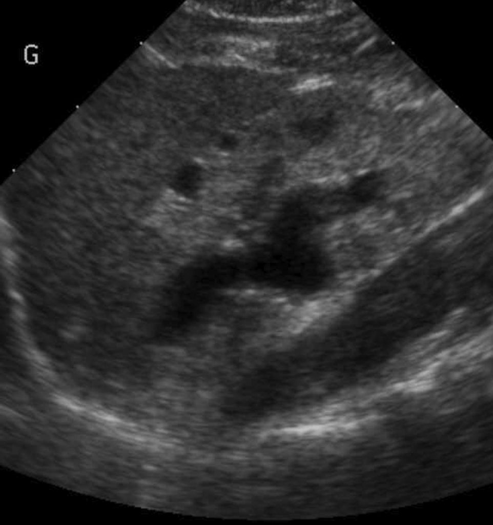
L’échographie de l’appareil urinaire n’est pas sensible pour le diagnostic de reflux ; elle est utile pour apprécier le retentissement éventuel sur la croissance du rein et vérifier l’épaisseur et la normalité du parenchyme rénal (figure 107.2).


Fig. 107.2 Exemple de néphropathie de reflux.
Coupe échographique longitudinale. Le rein est plus échogène que la rate ; disparition de la différenciation corticomédullaire normale, kystes périphériques et dilatation pyélocalicielle.
Source : CERF, CNEBMN, 2022.
La scintigraphie au 99mTc-DMSA permet de rechercher une atteinte parenchymateuse rénale dans le cadre d’une néphropathie de reflux (figure 107.3). L’uro-IRM est amenée à constituer une alternative à la scintigraphie.


Fig. 107.3 Scintigraphie au 99mTc-DMSA, vue postérieure : exemple de cicatrice corticale.
Le rein droit présente une encoche corticale à la partie supérieure de la convexité.
Source : CERF, CNEBMN, 2022.
III. Sémiologie
La cystographie apprécie la morphologie et la capacité vésicale, la gravité du reflux qui comporte cinq grades, le caractère passif (lors du remplissage) ou actif (lors de la miction), la morphologie de l’urètre et l’existence d’un résidu post-mictionnel.
Points clés
- La cystographie est l’examen de référence du reflux vésico-urinaire.
- C’est un examen invasif, à risque infectieux et traumatique, dont l’indication et la réalisation sont posées en milieu spécialisé.
- L’échographie urinaire est utile pour apprécier le retentissement sur le parenchyme et la taille du rein.
- La scintigraphie au 99mTc-DMSA permet de rechercher une cicatrice corticale secondaire au reflux.
- L’uro-IRM est amenée à constituer une alternative à la scintigraphie.
