Plan de chapitre
ITEM 269 – Douleurs abdominales aiguës chez l’enfant et chez l’adulte
I. Généralités
II. Stratégie d’exploration en imagerie
III. Sémiologie
Situations de départ
- 4 Douleur abdominale.
- 10 Méléna/rectorragie.
- 46 Hypotonie/malaise du nourrisson.
- 55 Pâleur de l’enfant.
- 224 Découverte d’une anomalie abdominale à l’examen d’imagerie médicale.
- 261 Évaluation et prise en charge de la douleur de l’enfant et du nourrisson.
Item, hiérarchisation des connaissances
ITEM 269 – Douleurs abdominales aiguës chez l’enfant et chez l’adulte
| Rang | Rubrique | Intitulé | Descriptif |
| Diagnostic positif | Identifier une douleur abdominale chez l’enfant | Particularités de l’examen du nourrisson | |
| Diagnostic positif | Connaître les étiologies des douleurs abdominales chez le nourrisson et l’enfant | Connaître des différents diagnostics selon l’âge et par arguments de fréquence | |
| Diagnostic positif | Connaître les examens nécessaires chez l’enfant | Savoir qu’aucun examen complémentaire n’est systématique | |
| Identifier une urgence | Identifier une urgence chirurgicale ou médicale chez l’enfant* | Connaître les signes de gravité, connaître les gestes d’urgence de base | |
| Identifier une urgence | Signes cliniques et examens complémentaires en faveur d’une invagination intestinale aiguë* | Connaître les signes cliniques | |
| Diagnostic positif | Connaître les caractéristiques de l’interrogatoire et de l’examen clinique face à une douleur abdominale aiguë* | Inspection, palpation, percussion, auscultation ; particularité de l’enfant | |
| Examens complémentaires | Connaître le bilan biologique à prescrire en cas de douleur abdominale aiguë* | ||
| Examens complémentaires | Connaître l’indication des examens d’imagerie devant une douleur abdominale aiguë de l’adulte | En fonction du siège de la douleur, de la biologie, échographie en urgence | |
| Étiologie | Connaître les caractéristiques de la douleur biliaire, gastrique (duodénale), colique, pancréatique, ischémie intestinale* | ||
I. Généralités

L’invagination intestinale aiguë correspond à la pénétration d’un segment intestinal dans le segment d’aval, par retournement en doigt de gant (boudin d’invagination). La localisation la plus classique est iléocolique, habituellement idiopathique (en rapport avec des nœuds lymphatiques mésentériques ou une hypertrophie des plaques de Peyer) chez l’enfant de 3 mois à 3 ans.
II. Stratégie d’exploration en imagerie
L’invagination intestinale aiguë est une urgence chirurgicale.
L’échographie est le seul examen du diagnostic. Elle permet de confirmer le diagnostic, d’évaluer la présence éventuelle de signes de gravité et de rechercher une étiologie notamment chez l’enfant de plus de 3 ans.
Le lavement (pneumatique ou aux hydrosolubles) est indiqué dans les formes iléocoliques pour réduire l’invagination. La récidive d’invagination est très fréquente dans les 24 premières heures, l’enfant est donc systématiquement hospitalisé dans les suites de la réduction.
Le lavement est idéalement réalisé sous sédation. Il est contre-indiqué en cas de choc, de tableau occlusif grave, de perforation digestive et d’épanchement intrapéritonéal abondant. Le traitement chirurgical est réservé aux contre-indications et échecs du lavement.
Les invaginations iléo-iléales se réduisent spontanément et ne nécessitent pas de lavement.
III. Sémiologie

L’ASP n’a pas sa place dans l’exploration d’une suspicion d’invagination.
L’échographie permet en coupe transversale (perpendiculaire à l’axe du tube digestif exploré) la visualisation d’une image en « cocarde » composée de l’anse recevant l’invagination et de l’anse invaginée (figure 103.1A) et en coupe longitudinale (dans l’axe du segment de tube digestif exploré) la visualisation d’une image en « sandwich » (figure 103.1B).


Fig. 103.1. Échographie abdominale : visualisation de l’anse recevant l’invagination (1) et de l’anse invaginée (2).
Coupe transversale (A), image en « cocarde ». Coupe longitudinale (B), image en « sandwich ».
Source : CERF, CNEBMN, 2022.
Le lavement permet :
- de confirmer le diagnostic échographique en visualisant la tête du boudin d’invagination moulée par l’air ou le produit de contraste (figure 103.2A) ;
- de réduire l’invagination.
Les critères de désinvagination sont : une large opacification, « inondation », des dernières anses iléales ; la visualisation d’un cæcum en place de morphologie normale (figure 103.2B).


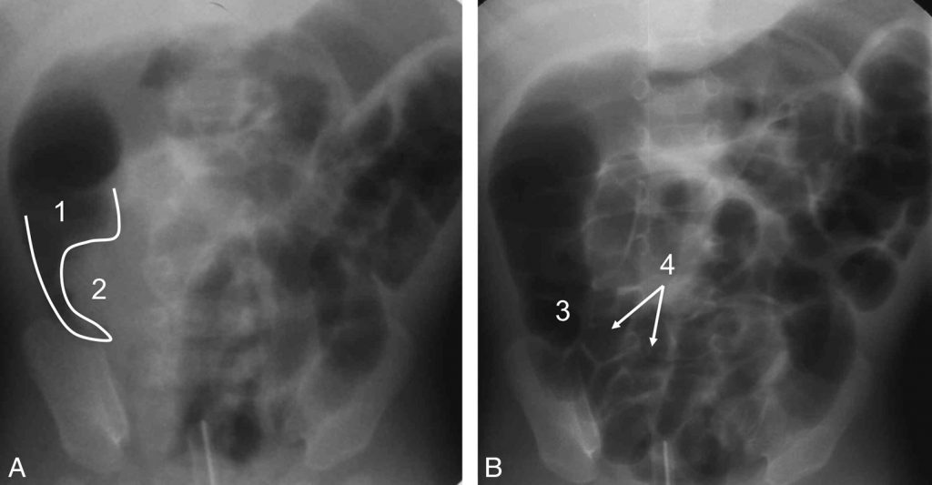
Fig. 103.2. Lavement pneumatique.
(A) L’aspect en « pince de homard » est dû à l’air (1) qui moule la tête du boudin d’invagination (2). (B) L’invagination est réduite. Le cæcum est en place et de morphologie normale (3). Les dernières anses sont largement remplies d’air (4).
Source : CERF, CNEBMN, 2022.
Points clés
- L’échographie est l’examen clé du diagnostic : elle confirme le diagnostic, recherche des signes de gravité et une étiologie.
- Le lavement est indiqué dans les formes iléocoliques pour réduire l’invagination.
- Le traitement chirurgical est réservé aux contre-indications et échecs du lavement.
- Les invaginations iléo-iléales se réduisent spontanément et ne nécessitent pas de lavement.
